Biotechnology Bulletin ›› 2025, Vol. 41 ›› Issue (4): 345-354.doi: 10.13560/j.cnki.biotech.bull.1985.2024-0882
LOU Ya-nan1,2(
), XIONG Jing-jing1,2, LOU Ya-ling1,2, WANG Fu-bin1,2, CHENG Wen-jie1,3, CHEN Xiao-jing1,4, LI Jia-yu1, PU Shao-xia1, WEI Hong-jiang1,2,3(
), ZHAO Hong-ye1,2(
)
Received:2024-09-10
Online:2025-04-26
Published:2025-04-25
Contact:
WEI Hong-jiang, ZHAO Hong-ye
E-mail:lyn99179388@163.com;hongjiangwei@126.com;hyzhao2000@126.com
LOU Ya-nan, XIONG Jing-jing, LOU Ya-ling, WANG Fu-bin, CHENG Wen-jie, CHEN Xiao-jing, LI Jia-yu, PU Shao-xia, WEI Hong-jiang, ZHAO Hong-ye. Effects of Long-term High-dose Induction of Doxycycline on Liver and Kidney Functions of Diannan Miniature Pigs[J]. Biotechnology Bulletin, 2025, 41(4): 345-354.
组别 Group | 序号 Serial number | 耳号 label | 体重 Weight/kg | 剂量 Dose/mL |
|---|---|---|---|---|
对照 Control | 1 | 2A016S3 | 17.00 | 17.00 |
| 2 | 3072T1 | 14.80 | 27.80 | |
| 3 | 2793T1 | 29.00 | 29.00 | |
| 30 mg/kg | 1 | 3152PA3 | 12.00 | 7.20 |
| 2 | 3045T1 | 22.80 | 13.68 | |
| 3 | 3057Q1 | 13.00 | 7.80 | |
| 50 mg/kg | 1 | 3149PA3 | 13.00 | 13.00 |
| 2 | 2A051T1 | 27.80 | 27.80 | |
| 3 | 2A073P1 | 18.00 | 18.00 |
Table 1 Grouping situation of experimental pigs
组别 Group | 序号 Serial number | 耳号 label | 体重 Weight/kg | 剂量 Dose/mL |
|---|---|---|---|---|
对照 Control | 1 | 2A016S3 | 17.00 | 17.00 |
| 2 | 3072T1 | 14.80 | 27.80 | |
| 3 | 2793T1 | 29.00 | 29.00 | |
| 30 mg/kg | 1 | 3152PA3 | 12.00 | 7.20 |
| 2 | 3045T1 | 22.80 | 13.68 | |
| 3 | 3057Q1 | 13.00 | 7.80 | |
| 50 mg/kg | 1 | 3149PA3 | 13.00 | 13.00 |
| 2 | 2A051T1 | 27.80 | 27.80 | |
| 3 | 2A073P1 | 18.00 | 18.00 |
| 引物名称 | 引物序列 |
|---|---|
| Primer name | Primer sequence(5'-3') |
| PEDV-F | GCGTAGTTGAGATTGTTG |
| PEDV-R | CCTCTGTTGTTACTTGGA |
| TGEV-F | GATGGAGTTGTCTGGGTTGC |
| TGEV-R | GTGACCTTGAATTGTCCCTT |
| RV-F | TATTTCCGCAAGCRCCRCCATT |
| RV-R | ACCHGGTGGAAATACYGGT-CCT |
| MP-1-F | AGCCTAGCTACCGATTGGCT |
| MP-1-R | CTGGGTAACTGACTTTGCAA |
Table 2 Primer sequences for pathogenic infection detection
| 引物名称 | 引物序列 |
|---|---|
| Primer name | Primer sequence(5'-3') |
| PEDV-F | GCGTAGTTGAGATTGTTG |
| PEDV-R | CCTCTGTTGTTACTTGGA |
| TGEV-F | GATGGAGTTGTCTGGGTTGC |
| TGEV-R | GTGACCTTGAATTGTCCCTT |
| RV-F | TATTTCCGCAAGCRCCRCCATT |
| RV-R | ACCHGGTGGAAATACYGGT-CCT |
| MP-1-F | AGCCTAGCTACCGATTGGCT |
| MP-1-R | CTGGGTAACTGACTTTGCAA |
Fig. 2 Effects of Dox on the blood physiological indicators of experimental pigsA: Experimental pig blood Lym# count. B: Experimental pig blood MPV. C: Experimental pig blood PLT count.D: Experimental pig blood RDW-SD. E: Experimental pig blood EOS # count. *P<0.05, **P<0.01, ##P<0.01
Fig. 3 Effects of Dox on related indicators of experimental pig liver functionA: Prealbumin (PA). B: Cholinesterase (PCHE). C: Ratio of albumin and globulin (A/G). D: Serum alanine aminotransferase (ALT). E: Aspartate aminotransferase (AST). F: Ratio of serum glutamic propyl to glutamic and grass content (L/S). *P<0.05, **P<0.01
Fig. 5 Effects of Dox on the blood electrolyte related indicators of experimental pigsA: Magnesium ion (MG) . B: Inorganic phosphorus (P). C: Bicarbonate (CO2). D: Sodium ion (NA). *P<0.05, #P<0.05
Fig. 6 Effects of Dox on experimental pig liver and kidney organsA: Behind the left ear of experimental pigs in 30 mg/kg group. B: Experimental pig liver in 30 mg/kg group. C: 30 mg/kg experimental pig kidney. D: Cross-section of pig kidney in 30 mg/kg group. E: Behind the left ear of experimental pigs in 50 mg/kg group. F: 50 mg/kg experimental pig liver. G: Pig kidney in 50 mg/kg group. H: Kidney cross-section of experimental pigs in the 50 mg/kg group
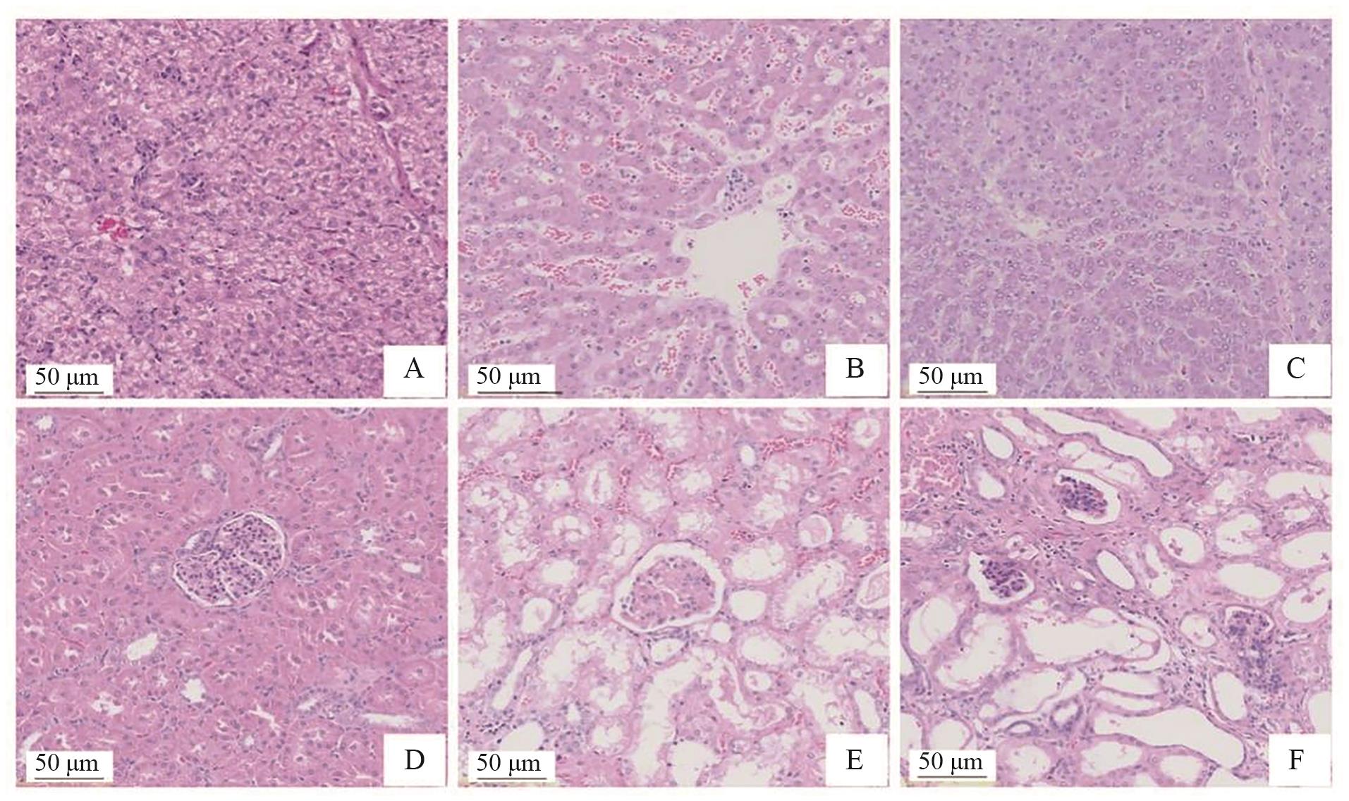
Fig. 7 Histopathological examination of experimental pig's liver and kidneyA: Experimental pig liver in control group. B: Experimental pig liver in 30 mg/kg group. C: 50 mg/kg experimental pig liver. D: Control group experimental pig kidney. E: Pig kidney in 30 mg/kg group. F: Experimental pig kidney in 50 mg/kg group
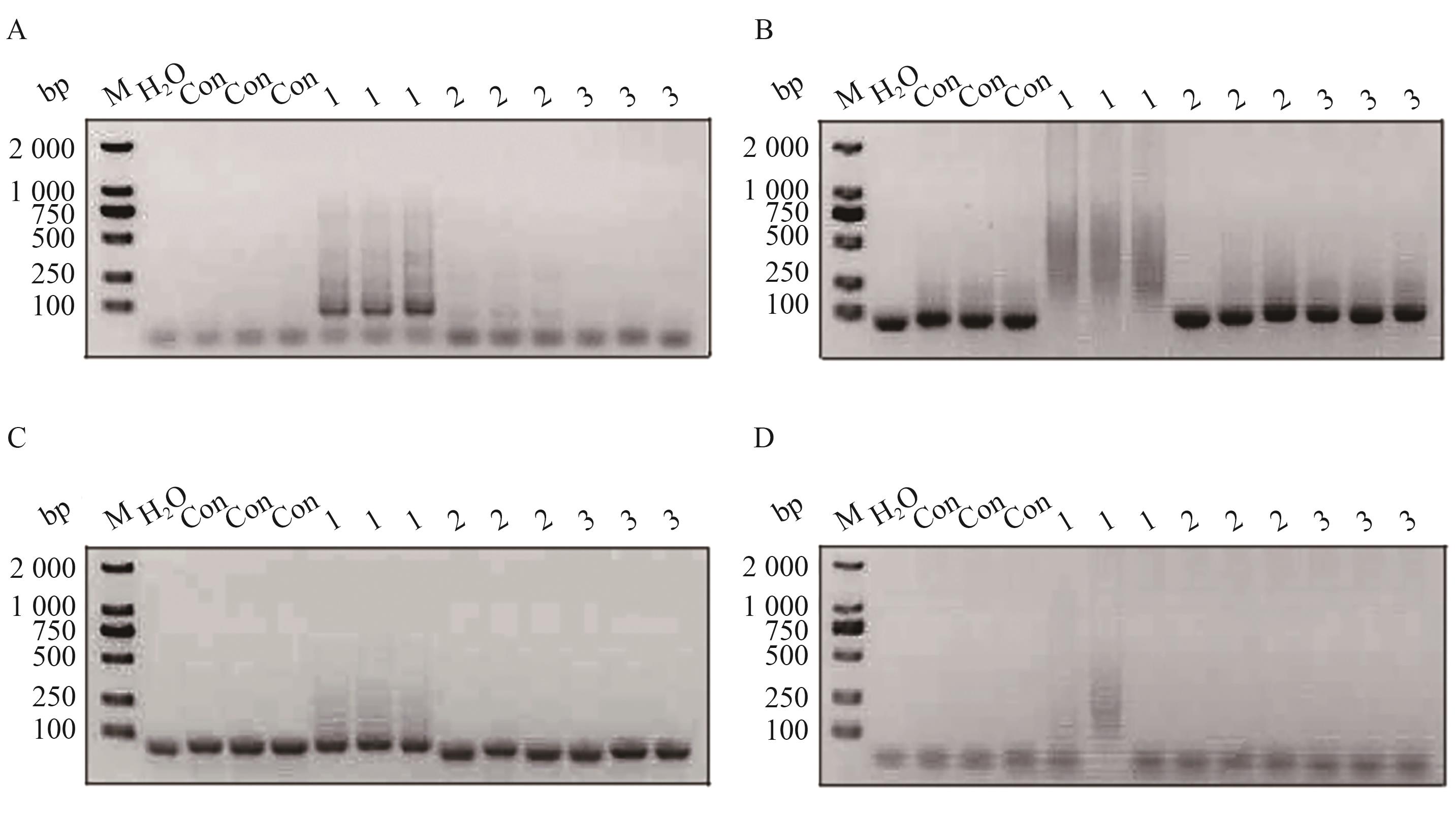
Fig. 8 Detection of related diseases in experimental pigs in the 30 mg/kg group on the 28 th day after administrationA: Epidemic diarrhea (459 bp). B: Transmissible gastroenteritis (517 bp). C: Rotavirus (289 bp). D: Mycoplasma pneumonia (457 bp). The same below
| 1 | Guo CT, Ma XT, Gao F, et al. Off-target effects in CRISPR/Cas9 gene editing [J]. Front Bioeng Biotechnol, 2023, 11: 1143157. |
| 2 | Lewandoski M. Conditional control of gene expression in the mouse [J]. Nat Rev Genet, 2001, 2(10): 743-755. |
| 3 | Das AT, Zhou X, Metz SW, et al. Selecting the optimal Tet-On system for doxycycline-inducible gene expression in transiently transfected and stably transduced mammalian cells [J]. Biotechnol J, 2016, 11(1): 71-79. |
| 4 | Saunderson SC, Hosseini-Rad SMA, McLellan AD. Noise-reduction and sensitivity-enhancement of a sleeping beauty-based Tet-on system [J]. Genes, 2022, 13(10): 1679. |
| 5 | Hsiao PF, Chang SK, Hsu TH, et al. Pharmacokinetics and tissue depletion of doxycycline administered at high dosage to broiler chickens via the drinking water [J]. Acta Vet Hung, 2016, 64(4): 472-481. |
| 6 | Ziółkowski H, Jasiecka-Mikołajczyk A, Madej-Śmiechowska H, et al. Comparative pharmacokinetics of chlortetracycline, tetracycline, minocycline, and tigecycline in broiler chickens [J]. Poult Sci, 2020, 99(10): 4750-4757. |
| 7 | Ma HX, Lu YQ, Lowe K, et al. Regulated hAAT expression from a novel rAAV vector and its application in the prevention of type 1 diabetes [J]. J Clin Med, 2019, 8(9): 1321. |
| 8 | Navarro-Triviño FJ, Pérez-López I, Ruiz-Villaverde R. Doxycycline, an antibiotic or an anti-inflammatory agent? the most common uses in dermatology [J]. Actas Dermosifiliogr, 2020, 111(7): 561-566. |
| 9 | Herrling T, Jung K. The radical status factor (RSF): a novel metric to characterize skin products [J]. Int J Cosmet Sci, 2012, 34(4): 285-290. |
| 10 | Plotzki E, Heinrichs G, Kubícková B, et al. Microbiological characterization of a newly established pig breed, Aachen Minipigs [J]. Xenotransplantation, 2016, 23(2): 159-167. |
| 11 | Wareham-Mathiassen S, Pinto Glenting V, Bay L, et al. Characterization of pig skin microbiome and appraisal as an in vivo subcutaneous injection model [J]. Lab Anim, 2023, 57(3): 304-318. |
| 12 | Zhao YQ, Xiang L, Liu YQ, et al. Atherosclerosis induced by a high-cholesterol and high-fat diet in the inbred strain of the Wuzhishan miniature pig [J]. Anim Biotechnol, 2018, 29(2): 110-118. |
| 13 | Klymiuk N, Böcker W, Schönitzer V, et al. First inducible transgene expression in porcine large animal models [J]. FASEB J, 2012, 26(3): 1086-1099. |
| 14 | Jin YX, Jeon Y, Lee SH, et al. Production of pigs expressing a transgene under the control of a tetracycline-inducible system [J]. PLoS One, 2014, 9(1): e86146. |
| 15 | Jin Q, Yang XY, Gou SX, et al. Double knock-in pig models with elements of binary Tet-On and phiC31 integrase systems for controllable and switchable gene expression [J]. Sci China Life Sci, 2022, 65(11): 2269-2286. |
| 16 | Jin Q, Shi H, Liu XY, et al. Genome editing pig models with elements for controllable gene expression [J]. Anim Res One Health, 2023, 1(2): 242-258. |
| 17 | 萧惠来. VICH兽药靶动物安全性研究指导原则概述 [J]. 中国兽药杂志, 2009, 43(12): 33-37. |
| Xiao HL. Overview of VICH guideline of target animal safety for veterinary pharmaceutical products [J]. Chin J Vet Drug, 2009, 43(12): 33-37. | |
| 18 | 梁霄, 孙萌, 王鹏程, 等. 猪流行性腹泻病毒和猪传染性胃肠炎病毒双重荧光定量PCR检测方法的建立与应用[J]. 畜牧与兽医, 2022, 54(6): 119-125. |
| Liang X, Sun M, Wang PC, et al. Establishment and application of dual fluorescence quantitative PCR method for detection of Porcine epidemic diarrhea virus and transmissible gastroenteritis virus [J]. Animal Husbandry and Veterinary Medicine, 2022, 54(6): 119-125. | |
| 19 | 张羽欣, 王树茂, 段宏勇, 等. 猪传染性胃肠炎病毒TaqMan实时荧光定量PCR检测方法的建立与应用 [J]. 中国兽医科学, 2024, 54(4): 479-484. |
| Zhang YX, Wang SM, Duan HY, et al. Establishment and application of TaqMan real-time quantitative PCR for detection of porcine transmissible gastroenteritis virus [J]. Chin Vet Sci, 2024, 54(4): 479-484. | |
| 20 | 柳佳佳, 梁海英, 曾智勇, 等. 猪轮状病毒TaqMan实时荧光定量RT-PCR检测方法的建立与应用 [J]. 中国兽医科学, 2024, 54(2): 162-168. |
| Liu JJ, Liang HY, Zeng ZY, et al. Establishment and application of TaqMan real-time fluorescence quantitative RT-PCR for detection of porcine rotavirus [J]. Chin Vet Sci, 2024, 54(2): 162-168. | |
| 21 | 汪志恒, 王景成, 佘志成, 等. 猪支原体肺炎RT-PCR诊断方法的建立和应用 [J]. 现代畜牧科技, 2024(1): 6-9. |
| Wang ZH, Wang JC, She ZC, et al. Establishment and application of RT-PCR diagnostic method for Mycoplasma pneumonia of swine [J]. Mod Anim Husb Sci Technol, 2024(1): 6-9. | |
| 22 | 张景锋, 朱宽佑, 徐秋良, 等. 基于Tet-on系统的RFP基因表达载体构建及功能验证 [J]. 西北农林科技大学学报: 自然科学版, 2017, 45(8): 36-41, 55. |
| Zhang JF, Zhu KY, Xu QL, et al. Construction and functional verification of Tet-on system of RFP gene expression vector [J]. J Northwest A F Univ Nat Sci Ed, 2017, 45(8): 36-41, 55. | |
| 23 | Bacanlı M, Başaran N. Importance of antibiotic residues in animal food [J]. Food Chem Toxicol, 2019, 125: 462-466. |
| 24 | Ludhiadch A, Sulena, Singh S, et al. Genomic variation affecting MPV and PLT count in association with development of ischemic stroke and its subtypes [J]. Mol Neurobiol, 2023, 60(11): 6424-6440. |
| 25 | Snarska A, Wysocka D, Rytel L. Effect of simvastatin on thrombopoiesis in porcine bone marrow [J]. J Vet Res, 2019, 63(1): 117-121. |
| 26 | Xu Y, Liu H, Jiang Y, et al. Genome-wide association studies reveal genetic loci associated with plasma cholinesterase activity in ducks [J]. Anim Genet, 2019, 50(3): 287-292. |
| 27 | Huang L, Li J, Yan JJ, et al. Prealbumin is predictive for postoperative liver insufficiency in patients undergoing liver resection [J]. World J Gastroenterol, 2012, 18(47): 7021-7025. |
| 28 | Lopez-Giacoman S, Madero M. Biomarkers in chronic kidney disease, from kidney function to kidney damage [J]. World J Nephrol, 2015, 4(1): 57-73. |
| 29 | Yuan RS, Tao X, Liang S, et al. Protective effect of acidic polysaccharide from Schisandra chinensis on acute ethanol-induced liver injury through reducing CYP2E1-dependent oxidative stress [J]. Biomed Pharmacother, 2018, 99: 537-542. |
| 30 | Varma S, Nathanson J, Dowlatshahi M, et al. Doxycycline-induced cholestatic liver injury [J]. Clin J Gastroenterol, 2021, 14(5): 1503-1510. |
| 31 | Pan JJ, Promrat K. Doxycycline-induced autoimmune hepatitis [J]. ACG Case Rep J, 2020, 7(8): e00440. |
| 32 | 阮国安, 吴凤鸣, 郭凯, 等. 犬强力霉素过量服用诊疗病例分析 [J]. 中国兽医杂志, 2018, 54(9): 52-53. |
| Ruan GA, Wu FM, Guo K, et al. Analysis of diagnosis and treatment cases of doxycycline overdose [J]. Chin J Vet Med, 2018, 54(9): 52-53. | |
| 33 | 俞雷. 警惕四环素族药物引起的肾损害 [J]. 中国临床医生杂志, 2007, 35(7): 59-60. |
| Yu L. Vigilance against kidney damage induced by tetracycline drugs [J]. Chin J Clin, 2007, 35(7): 59-60. | |
| 34 | Corum O, Uney K, Terzi E, et al. Effects of temperature on the pharmacokinetics, tissue residues, and withdrawal times of doxycycline in rainbow trout (Oncorhynchus mykiss) following oral administration [J]. Vet Sci, 2023, 10(6): 401. |
| 35 | Coté GA, Buchman AL. Antibiotic-associated diarrhoea [J]. Expert Opin Drug Saf, 2006, 5(3): 361-372. |
| 36 | Costello A, Lao NT, Gallagher C, et al. Leaky expression of the TET-on system hinders control of endogenous miRNA abundance [J]. Biotechnol J, 2019, 14(3): e1800219. |
| 37 | Szulc J, Wiznerowicz M, Sauvain MO, et al. A versatile tool for conditional gene expression and knockdown [J]. Nat Methods, 2006, 3(2): 109-116. |
| No related articles found! |
| Viewed | ||||||
|
Full text |
|
|||||
|
Abstract |
|
|||||