生物技术通报 ›› 2026, Vol. 42 ›› Issue (1): 114-124.doi: 10.13560/j.cnki.biotech.bull.1985.2025-0525
贺启琛(
), 杨扬, 阿丽亚·外力, 唐新月, 李忠喜, 陈永坤, 陈凌娜(
)
收稿日期:2025-05-22
出版日期:2026-01-26
发布日期:2026-02-04
通讯作者:
陈凌娜,女,博士,副教授,研究方向 :植物发育及代谢调控机制;E-mail: ln.chen@xjnu.edu.cn作者简介:贺启琛,男,硕士研究生,研究方向 :植物逆境生理;E-mail: 3063801384@qq.com
基金资助:
HE Qi-chen(
), YANG Yang, ALIYA Waili, TANG Xin-yue, LI Zhong-xi, CHEN Yong-kun, CHEN Ling-na(
)
Received:2025-05-22
Published:2026-01-26
Online:2026-02-04
摘要:
目的 探究薰衣草中CuAO基因家族分子特征及LaCuAO1降解生物胺的功能,为解析铜胺氧化酶(CuAO)在植物代谢调控与生物胺降解中的作用提供参考。 方法 采用生物信息学方法从薰衣草(Lavandula angustifolia)全基因组数据中鉴定并筛选LaCuAO基因,克隆该基因并通过密码子优化后分别构建重组大肠杆菌菌株,利用高效液相色谱(HPLC)评估其对乙醇胺和组胺的降解效率。 结果 从薰衣草基因组中鉴定到LaCuAO家族19个成员,其编码蛋白分子量为39.8‒87.4 kD,外显子数目4‒12个,可分为3个独立进化分支。基因表达水平分析显示,该家族基因具有显著的组织表达特异性,其中La15G00866和La10G00763在根、茎、叶等多个组织中呈组成型高表达特征,而La05G00442仅在花蕾和花萼中特异性高表达。启动子顺式元件分析显示,启动子区域富含光响应元件及脱落酸、低温等胁迫响应元件。通过密码子优化构建的大肠杆菌工程菌optLaCuAO1(La05G00442),对乙醇胺和组胺的降解效率从野生型50.0%和92.1%分别提升至62.5%和93.2%,证实其在生物胺降解中的高效性。 结论 揭示薰衣草LaCuAO基因家族成员的结构和表达特征,明确重组LaCuAO1菌株对乙醇胺和组胺的高效降解能力,为解析薰衣草发育机制及开发生物胺降解新方法提供依据和参考。
贺启琛, 杨扬, 阿丽亚·外力, 唐新月, 李忠喜, 陈永坤, 陈凌娜. 薰衣草CuAO基因家族特征及LaCuAO1降解生物胺功能研究[J]. 生物技术通报, 2026, 42(1): 114-124.
HE Qi-chen, YANG Yang, ALIYA Waili, TANG Xin-yue, LI Zhong-xi, CHEN Yong-kun, CHEN Ling-na. Investigation into the Family Characteristics of the Lavender Copper Amine Oxidase Gene and the Role of LaCuAO1 in Bioamine Degradation[J]. Biotechnology Bulletin, 2026, 42(1): 114-124.
在线生物学软件 Online biological software | 网站地址 Website address |
|---|---|
| Phytozome v13数据库 | https://phytozome-next.jgi.doe.gov/ |
| CDD | https://www.ncbi.nlm.nih.gov/cdd |
| HMMER | http://www.hmmer.org/ |
| GSDS | http://gsds.gao-lab.org/ |
| ExPASy | https://web.expasy.org/protparam/ |
| SOPMA | https://npsa-prabi.ibcp.fr/cgi-bin/npsa_automat.pl page=npsa sopma |
| WoLFPSORT | http://wolfpsort.seq.cbrc.jp |
| iTOL | https://itol.embl.de/ |
| PlantCARE | http://bioinformatics.psb.ugent.be/wetools/plantcare/html/ |
表1 相关生物信息学软件及网站
Table 1 Relevant bioinformatics software and websites
在线生物学软件 Online biological software | 网站地址 Website address |
|---|---|
| Phytozome v13数据库 | https://phytozome-next.jgi.doe.gov/ |
| CDD | https://www.ncbi.nlm.nih.gov/cdd |
| HMMER | http://www.hmmer.org/ |
| GSDS | http://gsds.gao-lab.org/ |
| ExPASy | https://web.expasy.org/protparam/ |
| SOPMA | https://npsa-prabi.ibcp.fr/cgi-bin/npsa_automat.pl page=npsa sopma |
| WoLFPSORT | http://wolfpsort.seq.cbrc.jp |
| iTOL | https://itol.embl.de/ |
| PlantCARE | http://bioinformatics.psb.ugent.be/wetools/plantcare/html/ |
基因名称 Gene ID | 引物序列 Primer sequence (5′‒3′) | 基因长度 Product length (bp) |
|---|---|---|
| La05G00442 | F: GGAGTGGACAGCTTACAGGC | 187 |
| R: CCTTCACCGACACGTGGATT | ||
| La05G01835 | F: GTGTAGGCGAAGGATTGGCT | 181 |
| R: GCCGGAGAGCAGTTGAAGAA | ||
| La25G00173 | F: GTCGGTCGCCAACTACGATT | 188 |
| R: CGTGGATAACACCGACGACA | ||
| La15G00866 | F: GGATCCTTCCGAGTTCCACG | 171 |
| R: TTGTACGGCGTCACCCAAAT | ||
| La00G03915 | F: CTCTCTGGAGCAACCCGAAG | 194 |
| R: GCACAAACAGCTCGGAAGTG | ||
| La10G00763 | F: AGGGCCTAGCTTTCGGATCA | 180 |
| R: TCTCCATAGGGCACGACCAT | ||
| LaActin | F:GGTCGTACAACTGGTATTGTTC R:TCCAGCAGCTTCCATTCCGATCA | 139 |
表2 RT-qPCR引物序列
Table 2 RT-qPCR primer sequences
基因名称 Gene ID | 引物序列 Primer sequence (5′‒3′) | 基因长度 Product length (bp) |
|---|---|---|
| La05G00442 | F: GGAGTGGACAGCTTACAGGC | 187 |
| R: CCTTCACCGACACGTGGATT | ||
| La05G01835 | F: GTGTAGGCGAAGGATTGGCT | 181 |
| R: GCCGGAGAGCAGTTGAAGAA | ||
| La25G00173 | F: GTCGGTCGCCAACTACGATT | 188 |
| R: CGTGGATAACACCGACGACA | ||
| La15G00866 | F: GGATCCTTCCGAGTTCCACG | 171 |
| R: TTGTACGGCGTCACCCAAAT | ||
| La00G03915 | F: CTCTCTGGAGCAACCCGAAG | 194 |
| R: GCACAAACAGCTCGGAAGTG | ||
| La10G00763 | F: AGGGCCTAGCTTTCGGATCA | 180 |
| R: TCTCCATAGGGCACGACCAT | ||
| LaActin | F:GGTCGTACAACTGGTATTGTTC R:TCCAGCAGCTTCCATTCCGATCA | 139 |
基因ID号 Gene ID | 氨基酸数 Number of amino acids | 分子量 Molecular weight (Da) | 理论等电点 Theoretical isoelectric point | 不稳定系数 Stability coefficient | 脂溶指数 Lipid solubility index | 平均亲水值 Average hydrophilicity | 亚细胞定位 Subcellular localization |
|---|---|---|---|---|---|---|---|
| La03G02650 | 784 | 86 774.78 | 6.35 | 42.95 | 79.69 | -0.311 | 叶绿体 |
| La05G00442 | 785 | 86 936.93 | 6.42 | 43.81 | 78.10 | -0.330 | 叶绿体 |
| La05G01835 | 785 | 87 387.54 | 6.55 | 43.60 | 77.49 | -0.340 | 过氧化物酶体 |
| La10G00763 | 707 | 78 669.53 | 7.64 | 43.69 | 80.82 | -0.346 | 叶绿体 |
| La03G03013 | 785 | 86 486.22 | 6.31 | 41.75 | 86.43 | -0.206 | 叶绿体 |
| La01G00448 | 665 | 75 822.56 | 5.46 | 41.92 | 81.29 | -0.356 | 叶绿体 |
| La22G00998 | 654 | 74 774.69 | 5.22 | 44.80 | 82.81 | -0.315 | 液泡 |
| La25G00172 | 714 | 80 710.59 | 5.73 | 36.17 | 83.94 | -0.350 | 叶绿体基质 |
| La00G03916 | 713 | 80 614.59 | 5.83 | 36.36 | 84.60 | -0.332 | 叶绿体基质 |
| La25G00173 | 726 | 81 549.49 | 5.77 | 42.39 | 80.66 | -0.325 | 液泡 |
| La15G00866 | 716 | 80 817.15 | 5.99 | 35.11 | 82.65 | -0.300 | 液泡 |
| La00G03915 | 726 | 81 556.54 | 5.74 | 42.11 | 80.66 | -0.322 | 液泡 |
| La25G00209 | 407 | 46 128.07 | 5.41 | 36.77 | 74.25 | -0.318 | 线粒体 |
| La00G03795 | 638 | 72 196.13 | 5.84 | 37.99 | 81.10 | -0.343 | 细胞质 |
| La07G01349 | 640 | 72 428.37 | 8.46 | 39.48 | 82.62 | -0.283 | 液泡 |
| La02G00655 | 528 | 59 545.29 | 5.18 | 39.84 | 76.17 | -0.412 | 线粒体 |
| La00G05435 | 638 | 72 288.29 | 8.52 | 40.93 | 83.03 | -0.280 | 液泡 |
| La17G01323 | 638 | 72 288.29 | 8.52 | 40.93 | 83.03 | -0.280 | 液泡 |
| La00G03531 | 352 | 39 783.90 | 5.59 | 32.69 | 75.82 | -0.400 | 细胞质 |
表3 LaCuAO家族成员的理化性质
Table 3 Physicochemical properties of LaCuAO family members
基因ID号 Gene ID | 氨基酸数 Number of amino acids | 分子量 Molecular weight (Da) | 理论等电点 Theoretical isoelectric point | 不稳定系数 Stability coefficient | 脂溶指数 Lipid solubility index | 平均亲水值 Average hydrophilicity | 亚细胞定位 Subcellular localization |
|---|---|---|---|---|---|---|---|
| La03G02650 | 784 | 86 774.78 | 6.35 | 42.95 | 79.69 | -0.311 | 叶绿体 |
| La05G00442 | 785 | 86 936.93 | 6.42 | 43.81 | 78.10 | -0.330 | 叶绿体 |
| La05G01835 | 785 | 87 387.54 | 6.55 | 43.60 | 77.49 | -0.340 | 过氧化物酶体 |
| La10G00763 | 707 | 78 669.53 | 7.64 | 43.69 | 80.82 | -0.346 | 叶绿体 |
| La03G03013 | 785 | 86 486.22 | 6.31 | 41.75 | 86.43 | -0.206 | 叶绿体 |
| La01G00448 | 665 | 75 822.56 | 5.46 | 41.92 | 81.29 | -0.356 | 叶绿体 |
| La22G00998 | 654 | 74 774.69 | 5.22 | 44.80 | 82.81 | -0.315 | 液泡 |
| La25G00172 | 714 | 80 710.59 | 5.73 | 36.17 | 83.94 | -0.350 | 叶绿体基质 |
| La00G03916 | 713 | 80 614.59 | 5.83 | 36.36 | 84.60 | -0.332 | 叶绿体基质 |
| La25G00173 | 726 | 81 549.49 | 5.77 | 42.39 | 80.66 | -0.325 | 液泡 |
| La15G00866 | 716 | 80 817.15 | 5.99 | 35.11 | 82.65 | -0.300 | 液泡 |
| La00G03915 | 726 | 81 556.54 | 5.74 | 42.11 | 80.66 | -0.322 | 液泡 |
| La25G00209 | 407 | 46 128.07 | 5.41 | 36.77 | 74.25 | -0.318 | 线粒体 |
| La00G03795 | 638 | 72 196.13 | 5.84 | 37.99 | 81.10 | -0.343 | 细胞质 |
| La07G01349 | 640 | 72 428.37 | 8.46 | 39.48 | 82.62 | -0.283 | 液泡 |
| La02G00655 | 528 | 59 545.29 | 5.18 | 39.84 | 76.17 | -0.412 | 线粒体 |
| La00G05435 | 638 | 72 288.29 | 8.52 | 40.93 | 83.03 | -0.280 | 液泡 |
| La17G01323 | 638 | 72 288.29 | 8.52 | 40.93 | 83.03 | -0.280 | 液泡 |
| La00G03531 | 352 | 39 783.90 | 5.59 | 32.69 | 75.82 | -0.400 | 细胞质 |
图3 LaCuAO家族基因的共线性和系统进化分析★为薰衣草CuAO;▲为毛果杨CuAO;■为番茄CuAO;●为拟南芥CuAO
Fig. 3 Collinearity and phylogenetic analysis of LaCuAO family genes★ indicates Lavandula angustifolia CuAO. ▲ indicates Populus trichocarpa CuAO. ■ indicates Solanum lycopersicum CuAO. ● indicates Arabidopsis thaliana CuAO
图5 LaCuAO家族基因在薰衣草不同组织的表达TP:花瓣;TL:叶片;TS:茎;TB:花蕾;TC1:新鲜花萼;TC2:成熟花萼
Fig. 5 Expressions of LaCuAO family genes in different tissues of lavenderTP: Petal. TL: Leaf. TS: Stem. TB: Flower Bud. TC1: Fresh calyx. TC2: Mature calyx
图6 LaCuAO基因不同处理下薰衣草花蕾(A)和叶片(B)中的表达模式* P<0.05, ** P<0.01
Fig. 6 Expression patterns of LaCuAO genes in lavender buds (A) and leaves (B) under different treatments
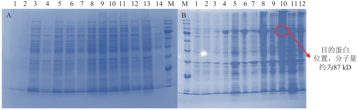
图7 SDS-PAGE凝胶电泳图A:离心后上清液中的蛋白条带;B:沉淀中的蛋白条带;M:Marker;1‒2:优化前,优化后空白对照(未诱导);3‒14为诱导后2‒12 h每隔2 h取样的蛋白表达
Fig. 7 SDS-PAGE gel electrophoresis patternA: Protein bands of the supernatant after centrifugation. B: Protein bands of precipitation. M: Marker. 1‒2: Blank control before and optimization (not induced). 3‒14 indicate the protein expressions sampled every 2 h at 2‒12 h after induction
图8 optLaCuAO1对乙醇胺和组胺的HPLC降解分析A:乙醇胺标准品;B:密码子优化前对乙醇胺的降解;C:密码子优化后对乙醇胺的降解;D:组胺标准品;E:密码子优化前对组胺的降解;F:密码子优化后对组胺的降解
Fig. 8 HPLC degradation analysis of ethanolamine and histamine by optLaCuAO1A: Ethanolamine reference standards. B: Degradation of ethanolamine before codon optimization. C: Degradation of ethanolamine after codon optimization. D: Histamine reference standards. E: Degradation of histamine before codon optimization. F: Degradation of histamine after codon optimization
| [1] | Wang ZH, Wang Y, Yang J, et al. Reliable selection and holistic stability evaluation of reference genes for rice under 22 different experimental conditions [J]. Appl Biochem Biotechnol, 2016, 179(5): 753-775. |
| [2] | 屈海峰, 王登伟. 伊犁河谷油用薰衣草高产栽培技术 [J]. 新疆农垦科技, 2016, 39(8): 16-17. |
| Qu HF, Wang DW. High-yield cultivation techniques of oil lavender in Ili valley [J]. Xinjiang Farm Res Sci Technol, 2016, 39(8): 16-17. | |
| [3] | 陈国通, 左书瑞, 曹雪琴, 等. 吹扫捕集-气相色谱-质谱法测定薰衣草香气成分 [J]. 安徽农业科学, 2019, 47(2): 191-193. |
| Chen GT, Zuo SR, Cao XQ, et al. Determination of aroma components of lavender by purge and trap-gas chromatography-mass spectrometry [J]. J Anhui Agric Sci, 2019, 47(2): 191-193. | |
| [4] | Sharma M, Grewal K, Jandrotia R, et al. Essential oils as anticancer agents: potential role in malignancies, drug delivery mechanisms, and immune system enhancement [J]. Biomed Pharmacother, 2022, 146: 112514. |
| [5] | Crişan I, Ona A, Vârban D, et al. Current trends for lavender (Lavandula angustifolia Mill.) crops and products with emphasis on essential oil quality [J]. Plants, 2023, 12(2): 357. |
| [6] | Gonzalez ME, Jasso-Robles FI, Flores-Hernández E, et al. Current status and perspectives on the role of polyamines in plant immunity [J]. Ann Appl Biol, 2021, 178(2): 244-255. |
| [7] | 王伟, 程鑫, 崔振国, 等. 铜胺氧化酶基因PpCuAO4在桃成熟中的功能鉴定 [J]. 核农学报, 2022, 36(9): 1738-1745. |
| Wang W, Cheng X, Cui ZG, et al. Function identification of copper amine oxidase gene PpCuAO4 during ripening of peach (Prunus persica L.) fruit [J]. J Nucl Agric Sci, 2022, 36(9): 1738-1745. | |
| [8] | Yu TQ, Yin YF, Ge YH, et al. Enzymatic production of 4-hydroxyphenylacetaldehyde by oxidation of the amino group of tyramine with a recombinant primary amine oxidase [J]. Process Biochem, 2020, 92: 105-112. |
| [9] | Li JR, Wang YM, Dong YM, et al. The chromosome-based lavender genome provides new insights into Lamiaceae evolution and terpenoid biosynthesis [J]. Hortic Res, 2021, 8(1): 53. |
| [10] | Liu SP, Yao HL, Sun MF, et al. Heterologous expression and characterization of amine oxidases from Saccharopolyspora to reduce biogenic amines in huangjiu [J]. LWT, 2022, 169: 113963. |
| [11] | 徐圆圆, 赵国春, 郝颖颖, 等. 无患子RT-qPCR内参基因的筛选与验证 [J]. 生物技术通报, 2022, 38(10): 80-89. |
| Xu YY, Zhao GC, Hao YY, et al. Reference genes selection and validation for RT-qPCR in Sapindus mukorossi [J]. Biotechnol Bull, 2022, 38(10): 80-89. | |
| [12] | 岳俊齐, 约日耶提·萨力, 克拉热木·克里木江, 等. 薰衣草LaGGPPS5基因在大肠杆菌中催化萜类物质合成 [J]. 中国农业科技导报, 2023, 25(12): 85-92. |
| Yue JQ, Yueriyeti S, Kelaremu K, et al. Lavender LaGGPPS5 gene catalyzing terpenoids synthesis in Escherichia coli [J]. J Agric Sci Technol, 2023, 25(12): 85-92. | |
| [13] | 陈志军, 张立坚, 池青, 等. 小麦NAC转录因子TaNAC14的原核表达和分离纯化 [J]. 生物工程学报, 2024, 40(11): 4171-4182. |
| Chen ZJ, Zhang LJ, Chi Q, et al. Prokaryotic expression and purification of the transcription factor TaNAC14 in wheat (Triticum aestivum) [J]. Chin J Biotechnol, 2024, 40(11): 4171-4182. | |
| [14] | 姜维. 一株耐盐性高效生物胺降解新菌的筛选、分类鉴定及应用研究 [D]. 青岛: 中国海洋大学, 2014. |
| Jiang W. Study on the screening, taxonomic analysis and application of one novel, salt-tolerant and high efficient biogenic amines degrading bacterium [D]. Qingdao: Ocean University of China, 2014. | |
| [15] | 胡昌勤, 张夏, 常祎卓. HPLC分析的全生命周期管理 [J]. 中国现代应用药学, 2024, 41(20): 2758-2767. |
| Hu CQ, Zhang X, Chang YZ. Life-cycle management of HPLC analysis [J]. Chin J Mod Appl Pharm, 2024, 41(20): 2758-2767. | |
| [16] | 克拉热木·克里木江, 陈永坤, 李翠翠, 等. 薰衣草DXS基因家族的全基因组鉴定和表达分析 [J]. 基因组学与应用生物学, 2023, 42(9): 919-926. |
| Kelaremu·K, Chen YK, Li CC, et al. Genome-wide identification and expression analysis of DXS gene family in Lavandula angustifolia [J]. Genom Appl Biol, 2023, 42(9): 919-926. | |
| [17] | Kelimujiang K, Zhang WY, Zhang XX, et al. Genome-wide investigation of WRKY gene family in Lavandula angustifolia and potential role of LaWRKY57 and LaWRKY75 in the regulation of terpenoid biosynthesis [J]. Front Plant Sci, 2024, 15: 1449299. |
| [18] | Zhang ZB, Xiong T, Li KJ, et al. The tree of life of copper-containing amine oxidases [J]. Front Plant Sci, 2025, 16: 1544527. |
| [19] | Jakobsson E, Nilsson J, Ogg D, et al. Structure of human semicarbazide-sensitive amine oxidase/vascular adhesion protein-1 [J]. Acta Crystallogr D Biol Crystallogr, 2005, 61(Pt 11): 1550-1562. |
| [20] | 王鹏, 罗朝鹏, 盖江涛. 茄科植物甲基腐胺氧化酶基因进化路径分析 [J]. 分子植物育种, 2018, 16(1): 47-53. |
| Wang P, Luo ZP, Gai JT. Evolutionary path analysis of Methylputrescine oxidase gene in Solanaceae [J]. Mol Plant Breed, 2018, 16(1): 47-53. | |
| [21] | Malli RPN, Adal AM, Sarker LS, et al. De novo sequencing of the Lavandula angustifolia genome reveals highly duplicated and optimized features for essential oil production [J]. Planta, 2019, 249(1): 251-256. |
| [22] | Qu YN, Wang Q, Guo JH, et al. Peroxisomal CuAOζ and its product H2O2 regulate the distribution of auxin and IBA-dependent lateral root development in Arabidopsis [J]. J Exp Bot, 2017, 68(17): 4851-4867. |
| [23] | Zhang YN, Wang D, Li H, et al. Formation mechanism of glandular trichomes involved in the synthesis and storage of terpenoids in lavender [J]. BMC Plant Biol, 2023, 23(1): 307. |
| [24] | 张夏夏, 陈凌娜, 杨扬, 等. 薰衣草非特异性脂质转移蛋白基因nsLTP2-1和nsLTP2-2的克隆与功能分析 [J]. 植物遗传资源学报, 2024, 25(5): 834-843. |
| Zhang XX, Chen LN, Yang Y, et al. Cloning and functional analysis of nonspecific lipid transfer protein genes nsLTP2-1 and nsLTP2-2 in lavender [J]. J Plant Genet Resour, 2024, 25(5): 834-843. | |
| [25] | Meng FL, Zhao HN, Zhu B, et al. Genomic editing of intronic enhancers unveils their role in fine-tuning tissue-specific gene expression in Arabidopsis thaliana [J]. Plant Cell, 2021, 33(6): 1997-2014. |
| [26] | Wang J, Jiang WL, Yang ZH, et al. Cold-related genes BcCOR15B and BcCOR15A have environment adapted expression pattern in non-heading Chinese cabbage [J]. Plant Physiol Biochem, 2025, 221: 109567. |
| [27] | 秦善, 石洁, 潘徐盈, 等. 植物乳杆菌源胺氧化酶的异源表达及功能结构分析 [J]. 微生物学报, 2023, 63(12): 4698-4713. |
| Qin S, Shi J, Pan XY, et al. Heterologous expression, function and structure of amine oxidase derived from Lactiplantibacillus plantarum [J]. Acta Microbiol Sin, 2023, 63(12): 4698-4713. | |
| [28] | 倪秀梅, 方芳. 融合表达过氧化氢酶提高多铜氧化酶稳定性及降解生物胺能力 [J]. 生物工程学报, 2021, 37(12): 4382-4394. |
| Ni XM, Fang F. Fusion expression with catalase improves the stability of multicopper oxidase and its efficiency in degrading biogenic amines [J]. Chin J Biotechnol, 2021, 37(12): 4382-4394. | |
| [29] | 张阿娜, 韩雪, 谷天一, 等. 利用新型红酵母苯丙氨酸解氨酶制备低苯丙氨酸酪蛋白 [J]. 生物技术通报, 2024, 40(8): 309-319. |
| Zhang AN, Han X, Gu TY, et al. Preparation of low-phenylalanine casein by novel phenylalanine ammonia-lyases derived from Rhodotorula [J]. Biotechnol Bull, 2024, 40(8): 309-319. | |
| [30] | 张婵, 吴友根, 于靖, 等. 光与茉莉酸信号介导的萜类化合物合成分子机制 [J]. 生物技术通报, 2022, 38(8): 32-40. |
| Zhang C, Wu YG, Yu J, et al. Molecular mechanism of terpenoids synthesis intermediated by light and jasmonates signals [J]. Biotechnol Bull, 2022, 38(8): 32-40. | |
| [31] | Largeron M. Amine oxidases of the quinoproteins family: their implication in the metabolic oxidation of xenobiotics [J]. Ann Pharm Françaises, 2011, 69(1): 53-61. |
| [1] | 吴翠翠, 陈登科, 兰刚, 夏芝, 李朋波. 花生转录因子AhHDZ70的生物信息学分析及耐盐耐旱性研究[J]. 生物技术通报, 2026, 42(1): 198-207. |
| [2] | 郭涛, 艾丽皎, 邹世慧, 周玲, 李学梅. 山茶CjRAV1调控开花延迟的功能研究[J]. 生物技术通报, 2025, 41(6): 208-217. |
| [3] | 周熠, 刘勇波. 基因组进化过程中的基因丢失机制与功能研究进展[J]. 生物技术通报, 2025, 41(6): 38-48. |
| [4] | 刘源, 赵冉, 卢振芳, 李瑞丽. 植物类胡萝卜素生物代谢途径及其功能研究进展[J]. 生物技术通报, 2025, 41(5): 23-31. |
| [5] | 王婷, 王一丹, 任姝锦, 马婷, 金梦军, 杨成德. 球炭疽菌果胶酸裂解酶基因CcPL20552克隆及表达分析[J]. 生物技术通报, 2025, 41(5): 290-299. |
| [6] | 刘红利, 马一丹, 王婉茹, 杨娅茹, 贺丹, 刘艺平, 孔德政. 荷花NnCYP707A1的克隆及功能分析[J]. 生物技术通报, 2025, 41(5): 197-207. |
| [7] | 田琴, 刘奎, 吴翔纬, 纪媛媛, 曹一博, 张凌云. 转录因子VcMYB17调控蓝莓抗旱性的功能研究[J]. 生物技术通报, 2025, 41(4): 198-210. |
| [8] | 向春繁, 李勒松, 王娟, 梁艳丽, 杨生超, 栗孟飞, 赵艳. 当归肉桂醇脱氢酶AsCAD功能鉴定及表达分析[J]. 生物技术通报, 2025, 41(2): 295-308. |
| [9] | 李明, 刘祥宇, 王益娜, 和四梅, 沙本才. 紫金龙异紫堇定生物合成相关6-OMT基因克隆与功能表征[J]. 生物技术通报, 2025, 41(2): 309-320. |
| [10] | 杨晨欣, 李梦秀, 姜唐, 张文娥, 潘学军. 美人蕉R2R3-MYB基因家族的鉴定及与花青素相关成员的表达分析[J]. 生物技术通报, 2025, 41(12): 201-213. |
| [11] | 苗昊翔, 张颖, 郭世鹏, 张健. 一株高产γ-氨基丁酸短乳杆菌TCCC13007全基因组测序及比较基因组分析[J]. 生物技术通报, 2025, 41(11): 166-176. |
| [12] | 刘梓琦, 钟沛, 李琴, 郭成, 张艳梅, 张乃锋, 屠焰, 刁其玉, 毕研亮. CRISPR/Cas9技术在益生菌编辑中的应用与进展[J]. 生物技术通报, 2025, 41(11): 89-99. |
| [13] | 吴丁洁, 陈盈盈, 徐静, 刘源, 张航, 李瑞丽. 植物赤霉素氧化酶及其功能研究进展[J]. 生物技术通报, 2024, 40(7): 43-54. |
| [14] | 孙慧琼, 张春来, 王锡亮, 徐宏申, 窦苗苗, 杨博慧, 柴文婷, 赵珊珊, 姜晓东. 藜麦FLS基因家族的鉴定、表达及DNA变异分析[J]. 生物技术通报, 2024, 40(7): 172-182. |
| [15] | 张娜, 刘梦楠, 屈展帆, 崔祎平, 倪嘉瑶, 王华忠. 小麦烯醇化酶基因ENO2的可变翻译分析和原核表达[J]. 生物技术通报, 2024, 40(5): 112-119. |
| 阅读次数 | ||||||
|
全文 |
|
|||||
|
摘要 |
|
|||||