• 技术与方法 • 下一篇
杨东升1(
), 牛誉驰1, 卢倩倩1, 樊敬镛1, 刘雨雷1, 刘权1, 郭利平2, 郝水源1(
)
收稿日期:2025-09-01
出版日期:2026-03-09
通讯作者:
郝水源,男,博士,教授,研究方向 :饲用作物遗传育种;E-mail: haoshuiyuan@126.com作者简介:杨东升,男,博士,副教授,研究方向 :饲用作物遗传育种;E-mail: yangdongsheng007@163.com
基金资助:
YANG Dong-sheng1(
), NIU Yu-chi1, LU Qian-qian1, FAN Jing-yong1, LIU Yu-lei1, LIU Quan1, GUO Li-ping2, HAO Shui-yuan1(
)
Received:2025-09-01
Published:2026-03-09
摘要:
目的 为高效利用苏丹草的种质资源,明确苏丹草种质间的亲缘关系。 方法 从56对SSR引物中筛选出21对多态性引物,采用聚丙烯酰胺凝胶电泳技术对29份苏丹草种质材料进行多态性检测,基于分子标记位点进行遗传多样性分析和聚类分析,利用数字赋值法构建指纹图谱。 结果 共检测到258条多态性条带,每对引物组合可检测条带6‒29条,多态性比率为85.15%。Shannon’s信息指数为0.509 8‒0.692 6,平均为0.659 7。多态性信息量为0.712 2‒0.836 4,平均为0.775 4。Nei’s遗传多样性指数为0.328 2‒0.499 4,平均为0.467 5。欧式聚类分析显示,在遗传距离为22.5时,可将29份苏丹草种质聚为4大类群,多数以颜色和穗型聚类。构建了一张包含20个标记位点的苏丹草指纹图谱,可用于种质材料的鉴定。 结论 29份苏丹草种质材料的遗传多样性相对较高。利用SSR分子标记构建苏丹草指纹图谱操作简便可行。
杨东升, 牛誉驰, 卢倩倩, 樊敬镛, 刘雨雷, 刘权, 郭利平, 郝水源. 29份苏丹草种质材料的SSR指纹图谱构建及分析[J]. 生物技术通报, doi: 10.13560/j.cnki.biotech.bull.1985.2025-0933.
YANG Dong-sheng, NIU Yu-chi, LU Qian-qian, FAN Jing-yong, LIU Yu-lei, LIU Quan, GUO Li-ping, HAO Shui-yuan. Construction and Analysis of SSR Fingerprint Construction for 29Sorghum sudanense Germplasm Materials[J]. Biotechnology Bulletin, doi: 10.13560/j.cnki.biotech.bull.1985.2025-0933.
序号 No. | 种质资源 Germplasmresources | 来源 Source | 籽粒颜色 Grain color | 穗型 Spike type | 单穗重 Single spike weight (g) | 种子量描述 Description of seed yield |
|---|---|---|---|---|---|---|
| 1 | SZ-1 | 内蒙古 | 白红杂粒 | 散穗 | 14.98 | 少 |
| 2 | SZ-2 | 内蒙古 | 白粒 | 散穗 | 20.46 | 中等 |
| 3 | SZ-3 | 内蒙古 | 白粒(绿尖) | 散穗 | 27.00 | 中等 |
| 4 | SZ-4 | 内蒙古 | 白粒(灰尖) | 团穗 | 14.70 | 少 |
| 5 | SZ-5 | 内蒙古 | 橙红 | 团穗 | 39.72 | 较多 |
| 6 | SZ-6 | 内蒙古 | 橙黄 | 团穗 | 24.89 | 中等 |
| 7 | SZ-7 | 内蒙古 | 褐色 | 团穗 | 27.44 | 中等 |
| 8 | SZ-8 | 内蒙古 | 黑白杂色 | 团穗 | 87.72 | 极多 |
| 9 | SZ-9 | 内蒙古 | 黑红 | 散穗 | 25.25 | 中等 |
| 10 | SZ-10 | 内蒙古 | 黑粒 | 团穗 | 53.26 | 极多 |
| 11 | SZ-11 | 内蒙古 | 黑粒 | 散穗 | 25.94 | 中等 |
| 12 | SZ-12 | 内蒙古 | 黑粒(白尖) | 散穗 | 16.18 | 少 |
| 13 | SZ-13 | 内蒙古 | 黑棕 | 散穗 | 20.72 | 中等 |
| 14 | SZ-14 | 内蒙古 | 黑棕(白尖) | 散穗 | 36.08 | 较多 |
| 15 | SZ-15 | 内蒙古 | 红棕 | 散穗 | 12.00 | 少 |
| 16 | SZ-16 | 内蒙古 | 浅红棕 | 团穗 | 42.97 | 多 |
| 17 | SZ-17 | 内蒙古 | 红棕黑杂色 | 团穗 | 28.50 | 中等 |
| 18 | SZ-18 | 内蒙古 | 黄红杂色 | 散穗 | 29.17 | 中等 |
| 19 | SZ-19 | 内蒙古 | 黄粒 | 散穗 | 9.23 | 极少 |
| 20 | SZ-20 | 内蒙古 | 黄粒(绿尖) | 散穗 | 2.52 | 极少 |
| 21 | SZ-21 | 内蒙古 | 黄粒(紫尖) | 散穗 | 9.55 | 极少 |
| 22 | SZ-22 | 内蒙古 | 浅棕 | 团穗 | 25.27 | 中等 |
| 23 | SZ-23 | 内蒙古 | 浅棕(白尖) | 散穗 | 15.51 | 少 |
| 24 | SZ-24 | 内蒙古 | 深红 | 散穗 | 17.70 | 少 |
| 25 | SZ-25 | 内蒙古 | 深红(白尖) | 散穗 | 29.91 | 中等 |
| 26 | SZ-26 | 内蒙古 | 深红棕 | 团穗 | 22.64 | 中等 |
| 27 | SZ-27 | 内蒙古 | 深棕 | 散穗 | 15.34 | 少 |
| 28 | SZ-28 | 内蒙古 | 深棕(白尖) | 散穗 | 22.20 | 中等 |
| 29 | SZ-29 | 内蒙古 | 棕色 | 散穗 | 41.61 | 多 |
表1 29份苏丹草种子表型性状的统计
Table 1 Statistics of phenotypic traits of 29 Sorghum sudanense seeds
序号 No. | 种质资源 Germplasmresources | 来源 Source | 籽粒颜色 Grain color | 穗型 Spike type | 单穗重 Single spike weight (g) | 种子量描述 Description of seed yield |
|---|---|---|---|---|---|---|
| 1 | SZ-1 | 内蒙古 | 白红杂粒 | 散穗 | 14.98 | 少 |
| 2 | SZ-2 | 内蒙古 | 白粒 | 散穗 | 20.46 | 中等 |
| 3 | SZ-3 | 内蒙古 | 白粒(绿尖) | 散穗 | 27.00 | 中等 |
| 4 | SZ-4 | 内蒙古 | 白粒(灰尖) | 团穗 | 14.70 | 少 |
| 5 | SZ-5 | 内蒙古 | 橙红 | 团穗 | 39.72 | 较多 |
| 6 | SZ-6 | 内蒙古 | 橙黄 | 团穗 | 24.89 | 中等 |
| 7 | SZ-7 | 内蒙古 | 褐色 | 团穗 | 27.44 | 中等 |
| 8 | SZ-8 | 内蒙古 | 黑白杂色 | 团穗 | 87.72 | 极多 |
| 9 | SZ-9 | 内蒙古 | 黑红 | 散穗 | 25.25 | 中等 |
| 10 | SZ-10 | 内蒙古 | 黑粒 | 团穗 | 53.26 | 极多 |
| 11 | SZ-11 | 内蒙古 | 黑粒 | 散穗 | 25.94 | 中等 |
| 12 | SZ-12 | 内蒙古 | 黑粒(白尖) | 散穗 | 16.18 | 少 |
| 13 | SZ-13 | 内蒙古 | 黑棕 | 散穗 | 20.72 | 中等 |
| 14 | SZ-14 | 内蒙古 | 黑棕(白尖) | 散穗 | 36.08 | 较多 |
| 15 | SZ-15 | 内蒙古 | 红棕 | 散穗 | 12.00 | 少 |
| 16 | SZ-16 | 内蒙古 | 浅红棕 | 团穗 | 42.97 | 多 |
| 17 | SZ-17 | 内蒙古 | 红棕黑杂色 | 团穗 | 28.50 | 中等 |
| 18 | SZ-18 | 内蒙古 | 黄红杂色 | 散穗 | 29.17 | 中等 |
| 19 | SZ-19 | 内蒙古 | 黄粒 | 散穗 | 9.23 | 极少 |
| 20 | SZ-20 | 内蒙古 | 黄粒(绿尖) | 散穗 | 2.52 | 极少 |
| 21 | SZ-21 | 内蒙古 | 黄粒(紫尖) | 散穗 | 9.55 | 极少 |
| 22 | SZ-22 | 内蒙古 | 浅棕 | 团穗 | 25.27 | 中等 |
| 23 | SZ-23 | 内蒙古 | 浅棕(白尖) | 散穗 | 15.51 | 少 |
| 24 | SZ-24 | 内蒙古 | 深红 | 散穗 | 17.70 | 少 |
| 25 | SZ-25 | 内蒙古 | 深红(白尖) | 散穗 | 29.91 | 中等 |
| 26 | SZ-26 | 内蒙古 | 深红棕 | 团穗 | 22.64 | 中等 |
| 27 | SZ-27 | 内蒙古 | 深棕 | 散穗 | 15.34 | 少 |
| 28 | SZ-28 | 内蒙古 | 深棕(白尖) | 散穗 | 22.20 | 中等 |
| 29 | SZ-29 | 内蒙古 | 棕色 | 散穗 | 41.61 | 多 |
引物名称 Primer name | 正向引物 Forward primer (5′‒3′) | 反向引物 Reverse primer (5′‒3′) | Tm (℃) |
|---|---|---|---|
| J27 | TGGAAGCCCTGCCTCTACTA | GGAAGCTGAGGCACTTGCTA | 60 |
| J89 | GCACCTGCTGCTGGTTATTG | AGAAGCATCCCTGGAATGGC | 60 |
| J90 | ACAGAGTTTAAACCTCCAGCCA | ATCTCACCAGAACCACAGCG | 60 |
| J148 | GTGGTCTGCCGCATTTTCAG | CAATTAGAACATGGCGCCCG | 60 |
| J151 | CCGCTCCTGCTACTTTTTGC | TTGTCTAGCTCTAGCCCGGT | 60 |
| J185 | CGTGGAGGAGAAGGAGAGGA | GAGGGATGCATGGACTGGAC | 60 |
| J251 | AGTACTCCTTAGCCTCCCGG | CAACTGGGTGCTGCAGATG | 59 |
| Xtxp15 | CACAAACACTAGTGCCTTATC | CATAGACACCTAGGCCATC | 55 |
| Xtxp183 | AAGTTGTAATGGGGCTATTG | TTAAGAGGTGGGATATTGGT | 57 |
| Xtxp230 | GCTACCGCTGCTGCTCT | AGGGGGCATCCAAGAAAT | 55 |
| Xtxp298 | GCATGTGTCAGATGATCTGGTGA | GCTGTTAGCTTCTTCTAATCGTCGGT | 58 |
| Xtxp31 | TGCGAGGCTGCCCTACTAG | TGGACGTACCTATTGGTGC | 57 |
| Xtxp321 | TAACCCAAGCCTGAGCATAAGA | CCCATTCACACATGAGACGAG | 56 |
| Xtxp340 | AGAACTGTGCATGTATTCGTCA | AGAAACTCCAATTATCATCCATCA | 55 |
| Xtxp354 | TGGGCAGGGTATCTAACTGA | GCCTTTTTCTGAGCCTTGA | 58 |
| Xtxp355 | TGGTTGGAAAGATAATCAAG | GCCCTAATGAGTCCTCAC | 57 |
| Xtxp8 | ATATGGAAGGAAGAAGCCGG | AACACAACATGCACGCATG | 56 |
| Xtxp10 | ATACTATCAAGAGGGGAGC | AGTACTAGCCACACGTCAC | 58 |
| B4494 | ACCAGCCATAAGCACAGAAAT | CAGGTCCGTGAGGAAGAAGA | 55 |
| AH178 | TAGATCTGCCCCCTCTTCTG | TGAGTCTTGTTCAGCATGGC | 57 |
| AH235 | ATGATTGTTCCGCCTACTAGCC | AGCAGAAGTCCAGCTCCCACTC | 56 |
表2 苏丹草SSR引物序列信息
Table 2 Sequence information of SSR primers from S. sudanense
引物名称 Primer name | 正向引物 Forward primer (5′‒3′) | 反向引物 Reverse primer (5′‒3′) | Tm (℃) |
|---|---|---|---|
| J27 | TGGAAGCCCTGCCTCTACTA | GGAAGCTGAGGCACTTGCTA | 60 |
| J89 | GCACCTGCTGCTGGTTATTG | AGAAGCATCCCTGGAATGGC | 60 |
| J90 | ACAGAGTTTAAACCTCCAGCCA | ATCTCACCAGAACCACAGCG | 60 |
| J148 | GTGGTCTGCCGCATTTTCAG | CAATTAGAACATGGCGCCCG | 60 |
| J151 | CCGCTCCTGCTACTTTTTGC | TTGTCTAGCTCTAGCCCGGT | 60 |
| J185 | CGTGGAGGAGAAGGAGAGGA | GAGGGATGCATGGACTGGAC | 60 |
| J251 | AGTACTCCTTAGCCTCCCGG | CAACTGGGTGCTGCAGATG | 59 |
| Xtxp15 | CACAAACACTAGTGCCTTATC | CATAGACACCTAGGCCATC | 55 |
| Xtxp183 | AAGTTGTAATGGGGCTATTG | TTAAGAGGTGGGATATTGGT | 57 |
| Xtxp230 | GCTACCGCTGCTGCTCT | AGGGGGCATCCAAGAAAT | 55 |
| Xtxp298 | GCATGTGTCAGATGATCTGGTGA | GCTGTTAGCTTCTTCTAATCGTCGGT | 58 |
| Xtxp31 | TGCGAGGCTGCCCTACTAG | TGGACGTACCTATTGGTGC | 57 |
| Xtxp321 | TAACCCAAGCCTGAGCATAAGA | CCCATTCACACATGAGACGAG | 56 |
| Xtxp340 | AGAACTGTGCATGTATTCGTCA | AGAAACTCCAATTATCATCCATCA | 55 |
| Xtxp354 | TGGGCAGGGTATCTAACTGA | GCCTTTTTCTGAGCCTTGA | 58 |
| Xtxp355 | TGGTTGGAAAGATAATCAAG | GCCCTAATGAGTCCTCAC | 57 |
| Xtxp8 | ATATGGAAGGAAGAAGCCGG | AACACAACATGCACGCATG | 56 |
| Xtxp10 | ATACTATCAAGAGGGGAGC | AGTACTAGCCACACGTCAC | 58 |
| B4494 | ACCAGCCATAAGCACAGAAAT | CAGGTCCGTGAGGAAGAAGA | 55 |
| AH178 | TAGATCTGCCCCCTCTTCTG | TGAGTCTTGTTCAGCATGGC | 57 |
| AH235 | ATGATTGTTCCGCCTACTAGCC | AGCAGAAGTCCAGCTCCCACTC | 56 |
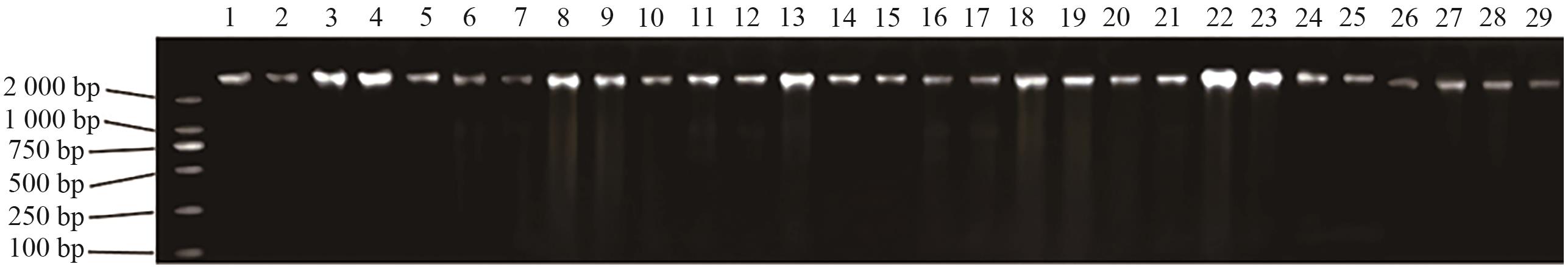
图2 29份种质资源的DNA琼脂糖凝胶电泳图M:Trans2K® DNA marker;1‒29:29份苏丹草种质材料
Fig. 2 DNA agarose gel electrophoresis images of 29 germplasm resourcesM: Trans2K® DNA marker; 1‒29: 29 S. sudanense germplasm materials
图3 部分SSR引物筛选结果M:100 bp DNA marker;1‒4:分别为SZ-3、SZ-8、SZ-16和SZ-25
Fig. 3 Screening results of partial SSR primersM: 100 bp DNA marker; 1‒4: SZ-3, SZ-8, SZ-16 and SZ-25
图4 引物Xtxp340对苏丹草种质材料的扩增结果M:100 bp DNA marker;1‒29:29份种质材料。下同
Fig. 4 Amplified results of S. sudanense germplasm materials by primer Xtxp340M: 100 bp DNA marker; 1‒29: 29 germplasm materials. The same below
序号 No. | 引物名称 Primer name | 扩增总条带数 Total amplified number of bands | 多态性条带数 Number of polymorphic bands | 多态条带点百分比 Percentage of polymorphic bands (%) |
|---|---|---|---|---|
| 1 | J27 | 15 | 12 | 80.00 |
| 2 | J89 | 14 | 11 | 78.57 |
| 3 | J90 | 11 | 9 | 81.82 |
| 4 | J148 | 12 | 12 | 100.00 |
| 5 | J151 | 8 | 6 | 75.00 |
| 6 | J185 | 20 | 17 | 85.00 |
| 7 | J251 | 7 | 6 | 85.71 |
| 8 | Xtxp15 | 7 | 7 | 100.00 |
| 9 | Xtxp183 | 30 | 29 | 96.67 |
| 10 | Xtxp230 | 8 | 6 | 75.00 |
| 11 | Xtxp298 | 15 | 10 | 66.67 |
| 12 | Xtxp31 | 11 | 11 | 100.00 |
| 13 | Xtxp321 | 14 | 8 | 57.14 |
| 14 | Xtxp340 | 26 | 24 | 92.31 |
| 15 | Xtxp354 | 11 | 7 | 63.64 |
| 16 | Xtxp355 | 10 | 9 | 90.00 |
| 17 | Xtxp8 | 8 | 6 | 75.00 |
| 18 | Xtxp10 | 24 | 22 | 91.67 |
| 19 | B4494 | 12 | 10 | 83.33 |
| 20 | AH178 | 19 | 17 | 89.47 |
| 21 | AH235 | 21 | 19 | 90.48 |
| 总计 Total | / | 303 | 258 | / |
| 平均 Mean | / | 14.43 | 12.29 | 85.15 |
表3 SSR多态性引物的扩增结果
Table 3 Amplified results of SSR polymorphism primers
序号 No. | 引物名称 Primer name | 扩增总条带数 Total amplified number of bands | 多态性条带数 Number of polymorphic bands | 多态条带点百分比 Percentage of polymorphic bands (%) |
|---|---|---|---|---|
| 1 | J27 | 15 | 12 | 80.00 |
| 2 | J89 | 14 | 11 | 78.57 |
| 3 | J90 | 11 | 9 | 81.82 |
| 4 | J148 | 12 | 12 | 100.00 |
| 5 | J151 | 8 | 6 | 75.00 |
| 6 | J185 | 20 | 17 | 85.00 |
| 7 | J251 | 7 | 6 | 85.71 |
| 8 | Xtxp15 | 7 | 7 | 100.00 |
| 9 | Xtxp183 | 30 | 29 | 96.67 |
| 10 | Xtxp230 | 8 | 6 | 75.00 |
| 11 | Xtxp298 | 15 | 10 | 66.67 |
| 12 | Xtxp31 | 11 | 11 | 100.00 |
| 13 | Xtxp321 | 14 | 8 | 57.14 |
| 14 | Xtxp340 | 26 | 24 | 92.31 |
| 15 | Xtxp354 | 11 | 7 | 63.64 |
| 16 | Xtxp355 | 10 | 9 | 90.00 |
| 17 | Xtxp8 | 8 | 6 | 75.00 |
| 18 | Xtxp10 | 24 | 22 | 91.67 |
| 19 | B4494 | 12 | 10 | 83.33 |
| 20 | AH178 | 19 | 17 | 89.47 |
| 21 | AH235 | 21 | 19 | 90.48 |
| 总计 Total | / | 303 | 258 | / |
| 平均 Mean | / | 14.43 | 12.29 | 85.15 |
引物名称 Primer name | 观测等位基因数 Observed number of alleles | 有效等位基因数 Effective number of alleles | Nei’s遗传多样性指数 Nei’s genetic diversity | Shannon’s信息指数 Shannon’s information index | 多态性信息量 Polymorphism information content |
|---|---|---|---|---|---|
| J27 | 3.515 2 | 1.954 2 | 0.494 6 | 0.687 8 | 0.802 1 |
| J89 | 2.721 8 | 1.748 4 | 0.428 1 | 0.619 4 | 0.712 2 |
| J90 | 2.881 6 | 1.748 6 | 0.428 1 | 0.619 4 | 0.713 1 |
| J148 | 3.354 3 | 1.846 5 | 0.451 8 | 0.644 2 | 0.744 6 |
| J185 | 3.146 3 | 1.956 8 | 0.494 6 | 0.687 8 | 0.804 4 |
| J151 | 2.996 2 | 1.887 9 | 0.470 9 | 0.663 7 | 0.757 3 |
| J251 | 3.275 0 | 1.960 8 | 0.494 6 | 0.687 8 | 0.811 4 |
| Xtxp321 | 3.473 1 | 1.972 5 | 0.494 6 | 0.687 8 | 0.812 4 |
| Xtxp31 | 4.284 7 | 1.942 3 | 0.485 1 | 0.678 2 | 0.759 7 |
| Xtxp354 | 2.000 0 | 1.488 5 | 0.328 2 | 0.509 8 | 0.706 2 |
| Xtxp183 | 5.362 6 | 1.997 6 | 0.499 4 | 0.692 6 | 0.834 6 |
| Xtxp340 | 3.117 3 | 1.882 1 | 0.470 9 | 0.663 7 | 0.748 3 |
| AH178 | 2.996 4 | 1.824 3 | 0.451 8 | 0.644 2 | 0.734 5 |
| AH235 | 3.117 6 | 1.884 5 | 0.470 9 | 0.663 7 | 0.751 6 |
| Xtxp10 | 3.380 3 | 1.974 2 | 0.494 6 | 0.687 8 | 0.823 1 |
| B4494 | 4.284 7 | 1.942 3 | 0.485 1 | 0.678 2 | 0.758 6 |
| Xtxp298 | 3.921 7 | 1.886 3 | 0.470 9 | 0.663 7 | 0.752 4 |
| Xtxp355 | 4.185 2 | 1.976 1 | 0.494 6 | 0.687 8 | 0.826 8 |
| Xtxp8 | 2.712 5 | 1.758 2 | 0.428 1 | 0.619 4 | 0.714 5 |
| Xtxp15 | 4.773 8 | 1.978 8 | 0.494 6 | 0.687 8 | 0.832 2 |
| Xtxp230 | 3.814 6 | 1.952 3 | 0.485 1 | 0.678 2 | 0.799 2 |
| 平均 Mean | 3.491 2 | 1.884 1 | 0.467 5 | 0.659 7 | 0.772 0 |
表4 SSR标记的遗传多样性分析结果
Table 4 Results of genetic diversity analysis of SSR markers
引物名称 Primer name | 观测等位基因数 Observed number of alleles | 有效等位基因数 Effective number of alleles | Nei’s遗传多样性指数 Nei’s genetic diversity | Shannon’s信息指数 Shannon’s information index | 多态性信息量 Polymorphism information content |
|---|---|---|---|---|---|
| J27 | 3.515 2 | 1.954 2 | 0.494 6 | 0.687 8 | 0.802 1 |
| J89 | 2.721 8 | 1.748 4 | 0.428 1 | 0.619 4 | 0.712 2 |
| J90 | 2.881 6 | 1.748 6 | 0.428 1 | 0.619 4 | 0.713 1 |
| J148 | 3.354 3 | 1.846 5 | 0.451 8 | 0.644 2 | 0.744 6 |
| J185 | 3.146 3 | 1.956 8 | 0.494 6 | 0.687 8 | 0.804 4 |
| J151 | 2.996 2 | 1.887 9 | 0.470 9 | 0.663 7 | 0.757 3 |
| J251 | 3.275 0 | 1.960 8 | 0.494 6 | 0.687 8 | 0.811 4 |
| Xtxp321 | 3.473 1 | 1.972 5 | 0.494 6 | 0.687 8 | 0.812 4 |
| Xtxp31 | 4.284 7 | 1.942 3 | 0.485 1 | 0.678 2 | 0.759 7 |
| Xtxp354 | 2.000 0 | 1.488 5 | 0.328 2 | 0.509 8 | 0.706 2 |
| Xtxp183 | 5.362 6 | 1.997 6 | 0.499 4 | 0.692 6 | 0.834 6 |
| Xtxp340 | 3.117 3 | 1.882 1 | 0.470 9 | 0.663 7 | 0.748 3 |
| AH178 | 2.996 4 | 1.824 3 | 0.451 8 | 0.644 2 | 0.734 5 |
| AH235 | 3.117 6 | 1.884 5 | 0.470 9 | 0.663 7 | 0.751 6 |
| Xtxp10 | 3.380 3 | 1.974 2 | 0.494 6 | 0.687 8 | 0.823 1 |
| B4494 | 4.284 7 | 1.942 3 | 0.485 1 | 0.678 2 | 0.758 6 |
| Xtxp298 | 3.921 7 | 1.886 3 | 0.470 9 | 0.663 7 | 0.752 4 |
| Xtxp355 | 4.185 2 | 1.976 1 | 0.494 6 | 0.687 8 | 0.826 8 |
| Xtxp8 | 2.712 5 | 1.758 2 | 0.428 1 | 0.619 4 | 0.714 5 |
| Xtxp15 | 4.773 8 | 1.978 8 | 0.494 6 | 0.687 8 | 0.832 2 |
| Xtxp230 | 3.814 6 | 1.952 3 | 0.485 1 | 0.678 2 | 0.799 2 |
| 平均 Mean | 3.491 2 | 1.884 1 | 0.467 5 | 0.659 7 | 0.772 0 |
图6 引物Xtxp321(A)、Xtxp354(B)、J185(C)对29份苏丹草种质资源的扩增结果
Fig. 6 Amplified results of 29 S. sudanense germplasm resources by primer Xtxp321 (A), Xtxp354 (B) and J185 (C)
图7 29份苏丹草种质的DNA数字指纹图谱注:蓝色和棕黄色方块分别代表1和0
Fig. 7 Digital DNA fingerprinting of 29 Sorghum sudanense germplasm resourcesNote: The blue and brownish yellow squares indicate 1 and 0, respectively
| [1] | 周文君, 朱新萍, 陈康怡, 等. 改性生物质炭对原油污染土壤中苏丹草萌发的影响 [J]. 农业资源与环境学报, 2022, 39(1): 165-172. |
| Zhou WJ, Zhu XP, Chen KY, et al. Effect of modified biochar on germination of sorghum-sudangrass in crude oil contaminated soil [J]. J Agric Resour Environ, 2022, 39(1): 165-172. | |
| [2] | 朱永群, 彭丹丹, 林超文, 等. 苏丹草转录组SSR分子标记开发及遗传多样性评价 [J]. 草业学报, 2018, 27(5): 178-189. |
| Zhu YQ, Peng DD, Lin CW, et al. Development of SSR markers based on transcriptome sequence and analysis of genetic diversity in Sorghum sudanense [J]. Acta Prataculturae Sin, 2018, 27(5): 178-189. | |
| [3] | 吴国芳, 于卓, 卢倩倩, 等. 高丹草氢氰酸含量性状的QTL定位分析 [J]. 西北植物学报, 2019, 39(12): 2170-2178. |
| Wu GF, Yu Z, Lu QQ, et al. QTL mapping of hydrocyanic acid content in sorghum-sudangrass [J]. Acta Bot Boreali Occidentalia Sin, 2019, 39(12): 2170-2178. | |
| [4] | 王立新, 成慧娟, 张姼, 等. 粒用高粱主要农艺性状的相关和通径分析 [J]. 吉林农业科学, 2015, 40(5): 31-33. |
| Wang LX, Cheng HJ, Zhang S, et al. Particle correlation and path analysis of main agronomic traits of grain sorghum [J]. J Jilin Agric Sci, 2015, 40(5): 31-33. | |
| [5] | 柯梅, 朱昊, 梁维维, 等. 苏丹草农艺性状与产量、品质间的灰色关联度分析 [J]. 草业科学, 2016, 33(5): 949-955. |
| Ke M, Zhu H, Liang WW, et al. Grey correlation analysis of main agronomic characters and its yield and quality traits in Sorghum sudanense [J]. Pratacultural Sci, 2016, 33(5): 949-955. | |
| [6] | 何法慧, 左倩倩, 于景金, 等. 35份狗牙根种质材料指纹图谱构建及染色体倍性鉴定 [J]. 南京农业大学学报, 2023, 46(1): 42-54. |
| He FH, Zuo QQ, Yu JJ, et al. Fingerprint construction and chromosome ploidy identification of 35 germplasms in bermudagrass [J]. J Nanjing Agric Univ, 2023, 46(1): 42-54. | |
| [7] | 邹冰灿, 王霞, 张轩, 等. 22份狼尾草属材料和1份芦竹属材料染色体数目及遗传多样性分析 [J]. 草地学报, 2025, 33(4): 1019-1028. |
| Zou BC, Wang X, Zhang X, et al. Analysis of chromosome number and genetic diversity of 22 Pennisetum materials and 1 Arundo material [J]. Acta Agrestia Sin, 2025, 33(4): 1019-1028. | |
| [8] | 于肖夏, 南志标, 于卓, 等. 基于SSR分子标记的高丹草遗传图谱构建及相关性状QTL定位 [J]. 分子植物育种, 2018, 16(16): 5347-5358. |
| Yu XX, Nan ZB, Yu Z, et al. Construction of genetic linkage map base on SSR markers and identification of QTLs for main traits of sorghum × sudangrass [J]. Mol Plant Breed, 2018, 16(16): 5347-5358. | |
| [9] | Yang GL, Ma T, Wang ZJ. Genetic diversity and population structure of Sphaeropteris brunoniana based on SSR molecular markers [J]. Glob Ecol Conserv, 2025, 62: e03720. |
| [10] | 杨东升, 刘雨雷, 王海伟, 等. 冰草高蛋白含量相关EST-SSR标记开发与验证 [J]. 草业科学, 2025, 42(9): 2244-2251. |
| Yang DS, Liu YL, Wang HW, et al. Development and validation of EST-SSR markers associated with high protein content in wheatgrass [J]. Pratacultural Sci, 2025, 42(9): 2244-2251. | |
| [11] | 王杰, 高秋, 杨国锋, 等. 国审苏丹草和高丹草品种SSR指纹图谱构建及遗传多样性分析 [J]. 草地学报, 2016, 24(1): 156-164. |
| Wang J, Gao Q, Yang GF, et al. Fingerprint constructing and genetic diversity analyzing of sorghum sudanense and Sorghum bicolor × Sorghum sudanense with SSR markers [J]. Acta Agrestia Sin, 2016, 24(1): 156-164. | |
| [12] | 吴国芳, 于肖夏, 于卓, 等. 基于BSA-SSR技术的高丹草低氢氰酸性状目的片段的筛选与鉴定 [J]. 草业学报, 2021, 30(7): 82-92. |
| Wu GF, Yu XX, Yu Z, et al. Screening and identification of target fragments with low cyanide traits of sorghum-sudangrass hybrid using BSA-SSR [J]. Acta Prataculturae Sin, 2021, 30(7): 82-92. | |
| [13] | 贾龙, 罗高玲, 陈燕华, 等. 基于SSR标记初步定位小豆驯化相关性状QTL [J]. 植物遗传资源学报, 2023, 24(5): 1426-1434. |
| Jia L, Luo GL, Chen YH, et al. Mapping of QTL for domestication-related traits using SSR markers in adzuki bean [J]. J Plant Genet Resour, 2023, 24(5): 1426-1434. | |
| [14] | 金兴红, 于卓, 张霞, 等. 马铃薯淀粉含量相关SSR分子标记的开发及候选基因的初步确定 [J]. 分子植物育种, 2023, 21(8): 2671-2676. |
| Jin XH, Yu Z, Zhang X, et al. Development of SSR molecular markers and preliminary identification of candidate gene associated with potato starch content [J]. Mol Plant Breed, 2023, 21(8): 2671-2676. | |
| [15] | 李思琪, 张文臣, 杨柳, 等. 基于SSR标记的文冠果遗传多样性分析及指纹图谱构建 [J]. 生物技术通报, 2024, 40(5): 74-83. |
| Li SQ, Zhang WC, Yang L, et al. Genetic diversity analysis and DNA fingerprint construction based on SSR markers for Xanthoceras sorbifolia [J]. Biotechnol Bull, 2024, 40(5): 74-83. | |
| [16] | 李清华, 颜墩炜, 刘雨杭, 等. 福建菜用大豆审定品种遗传多样性分析和SSR标记指纹图谱构建 [J]. 植物遗传资源学报, 2025, 26(11): 2145-2163. |
| Li QH, Yan DW, Liu YH, et al. Genetic diversity analysis and SSR markers fingerprint construction of vegetable soybean varieties in Fujian province [J]. J Plant Genet Resour, 2025, 26(11): 2145-2163. | |
| [17] | 马钰洋, 陈昌婕, 王明星, 等. 基于EST-SSR分子标记的艾种质资源遗传多样性分析与DNA指纹图谱构建 [J]. 中国中药杂志, 2025, 50(9): 2356-2364. |
| Ma YY, Chen CJ, Wang MX, et al. Genetic diversity analysis and DNA fingerprinting of Artemisia argyi germplasm resources based on EST-SSR molecular markers [J]. China J Chin Mater Med, 2025, 50(9): 2356-2364. | |
| [18] | 王芳, 高秋, 王杰, 等. 利用SSR标记分析高粱属种质资源的遗传多样性 [J]. 草业学报, 2016, 25(5): 125-133. |
| Wang F, Gao Q, Wang J, et al. Analysis of genetic diversity in Sorghum germplasm collections using SSR markers [J]. Acta Prataculturae Sin, 2016, 25(5): 125-133. | |
| [19] | 石悦, 于肖夏, 南志标, 等. 高丹草SRAP和SSR分子遗传连锁图谱的构建 [J]. 中国草地学报, 2018, 40(5): 11-17. |
| Shi Y, Yu XX, Nan ZB, et al. Construction of genetic linkage map of sorghum-sudangrass based on SRAP and SSR molecular markers [J]. Chin J Grassland, 2018, 40(5): 11-17. | |
| [20] | 武小霞, 崔纪超, 钟玉扬, 等. 基于农艺性状和分子标记的甘薯遗传多样性分析及指纹图谱构建 [J]. 南方农业学报, 2023, 54(12): 3488-3501. |
| Wu XX, Cui JC, Zhong YY, et al. Genetic diversity analysis and fingerprint map construction of sweetpotato based on agronomic traits and molecular markers [J]. J South Agric, 2023, 54(12): 3488-3501. | |
| [21] | 李珊珊, 陈美, 陈文俐, 等. 芒属植物野生资源研究及其进展 [J]. 植物科学学报, 2023, 41(6): 705-718. |
| Li SS, Chen M, Chen WL, et al. Advances in the study and utilization of Miscanthus resources [J]. Plant Sci J, 2023, 41(6): 705-718. | |
| [22] | 安明珠, 韩博, 姜华, 等. 鸭茅物种起源与系统发育分析研究进展 [J]. 草地学报, 2021, 29(12): 2637-2644. |
| An MZ, Han B, Jiang H, et al. Research progress of Dactylis species origin and phylogeny analysis [J]. Acta Agrestia Sin, 2021, 29(12): 2637-2644. | |
| [23] | 段永红, 杨欣, 于冠群, 等. 125份马铃薯种质资源遗传多样性及主成分分析 [J]. 生物技术通报, 2025, 41(6): 130-143. |
| Duan YH, Yang X, Yu GQ, et al. Genetic diversity and principal component analysis of 125 potato germplasm resources [J]. Biotechnol Bull, 2025, 41(6): 130-143. | |
| [24] | 傅俊士, 南丽丽, 张泽龙, 等. 21份猫尾草种子形态特征及SSR遗传多样性评价 [J]. 中国草地学报, 2024, 46(9): 23-33. |
| Fu JS, Nan LL, Zhang ZL, et al. Evaluation of morphological characteristics and SSR genetic diversity of 21 accessions of timothy seeds [J]. Chin J Grassland, 2024, 46(9): 23-33. | |
| [25] | 德永军, 姬媛媛, 张佳敏, 等. 内蒙古东部地区文冠果遗传多样性与亲缘关系分析 [J]. 内蒙古农业大学学报: 自然科学版, 2020, 41(1): 25-31. |
| De YJ, Ji YY, Zhang JM, et al. Analysis of genetic diversity and phylogenetic relationship of Xanthoceras in eastern Inner Mongolia [J]. J Inn Mong Agric Univ Nat Sci Ed, 2020, 41(1): 25-31. | |
| [26] | 孙虎, 刘昌燕, 李莉, 等. 80份绿豆象抗感蚕豆种质资源SSR遗传多样性分析 [J]. 西南农业学报, 2023, 36(4): 683-691. |
| Sun H, Liu CY, Li L, et al. Genetic diversity of SSR markers in 80 faba bean germplasm resources susceptible to mung bean weevil [J]. Southwest China J Agric Sci, 2023, 36(4): 683-691. | |
| [27] | 雷刚, 陈学军, 周坤华, 等. 60份辣椒骨干亲本的SSR遗传多样性分析及指纹图谱构建 [J]. 植物遗传资源学报, 2024, 25(8): 1321-1335. |
| Lei G, Chen XJ, Zhou KH, et al. Genetic diversity and fingerprint analysis in 60 founder parents of pepper based on SSR markers [J]. J Plant Genet Resour, 2024, 25(8): 1321-1335. | |
| [28] | 王衍莉, 杨义明, 范书田, 等. 基于SSR分子标记的73份山葡萄及杂交后代的遗传多样性分析 [J]. 生物技术通报, 2021, 37(1): 189-197. |
| Wang YL, Yang YM, Fan ST, et al. Genetic diversity analysis of 73 Vitis amurensis and its hybrids offsprings based on SSR molecular markers [J]. Biotechnol Bull, 2021, 37(1): 189-197. | |
| [29] | 臧真荣, 燕丽萍, 王因花, 等. 利用荧光SSR标记分析元宝枫种质资源遗传多样性 [J]. 分子植物育种, 2023, 21(24): 8163-8171. |
| Zang ZR, Yan LP, Wang YH, et al. Analysis of genetic diversity of Acer truncatum germplasm resources by fluorescent SSR markers [J]. Mol Plant Breed, 2023, 21(24): 8163-8171. | |
| [30] | 杨佳伟, 翟鑫娜, 柴莹, 等. 50份CIP引进马铃薯材料的遗传多样性分析 [J]. 分子植物育种, 2025, 23(8): 2634-2644. |
| Yang JW, Zhai XN, Chai Y, et al. Genetic diversity analysis of 50 CIP introduced potato materials [J]. Mol Plant Breed, 2025, 23(8): 2634-2644. | |
| [31] | 陈越, 陈玲, 李春花, 等. 中国南方地区水稻资源SSR指纹数据库的构建及遗传多样性分析 [J]. 分子植物育种, 2020, 18(19): 6502-6517. |
| Chen Y, Chen L, Li CH, et al. Construction of SSR fingerprint database and genetic diversity analysis of rice resources in Southern China [J]. Mol Plant Breed, 2020, 18(19): 6502-6517. | |
| [32] | Harisha R, Bhadru D, Vanisri S, et al. SSR and morphological traits based fingerprints and DNA barcodes for varietal identification in rice [J]. Biotechnol Biotechnol Equip, 2021, 35(1): 1461-1473. |
| [33] | 冉婵宇, 慕平, 柴继宽, 等. 基于SSR的饲用燕麦品种DNA分子身份证开发 [J]. 中国草地学报, 2024, 46(8): 19-28. |
| Ran CY, Mu P, Chai JK, et al. Development of DNA molecular identification card of forage oat varieties based on SSR [J]. Chin J Grassland, 2024, 46(8): 19-28. | |
| [34] | Wu FC, Cai GJ, Xi PY, et al. Genetic diversity analysis and fingerprint construction for 87 passionfruit (Passiflora spp.) germplasm accessions on the basis of SSR fluorescence markers [J]. Int J Mol Sci, 2024, 25(19): 10815. |
| [1] | 卢瑶, 袁平平, 金鑫, 毛向红, 范向斌, 白小东. 基于SSR标记的马铃薯野生种和地方种遗传多样性分析和指纹图谱构建[J]. 生物技术通报, 2025, 41(9): 94-104. |
| [2] | 段敏杰, 李怡斐, 王春萍, 黄任中, 黄启中, 张世才. 辣椒果实颜色性状与SSR分子标记的关联分析及指纹图谱构建[J]. 生物技术通报, 2025, 41(7): 81-94. |
| [3] | 贺涵, 刘传和, 喻梦凡, 袁梦萍, 魏岳荣, 杨敏, 邝瑞彬, 周陈平, 吴夏明, 徐泽. 基于重测序的菠萝基因组InDel标记的开发[J]. 生物技术通报, 2025, 41(2): 65-76. |
| [4] | 李思琪, 张文臣, 杨柳, 付庆新, 洪新, 张海旺. 基于SSR标记的文冠果遗传多样性分析及指纹图谱构建[J]. 生物技术通报, 2024, 40(5): 74-83. |
| [5] | 李晴, 石雨荷, 朱珏, 李晓玲, 侯超文, 童巧珍. 基于SCoT分子标记分析白术种质资源遗传多样性及DNA指纹图谱构建[J]. 生物技术通报, 2024, 40(11): 142-151. |
| [6] | 安苗, 王彤彤, 付逸婷, 夏俊俊, 彭锁堂, 段永红. 52个马铃薯遗传多样性分析及SSR分子身份证构建[J]. 生物技术通报, 2023, 39(12): 136-147. |
| [7] | 于国红, 刘朋程, 李磊, 李明哲, 崔海英, 郝洪波, 郭安强. 不同基因型马铃薯对干旱胁迫的生理响应[J]. 生物技术通报, 2022, 38(5): 56-63. |
| [8] | 管俊娇, 杨晓洪, 张鹏, 黄清梅, 张建华. 基于荧光检测技术的青稞品种鉴定方法的建立[J]. 生物技术通报, 2021, 37(11): 293-302. |
| [9] | 王衍莉, 杨义明, 范书田, 赵滢, 许培磊, 路文鹏, 李昌禹. 基于SSR分子标记的73份山葡萄及杂交后代的遗传多样性分析[J]. 生物技术通报, 2021, 37(1): 189-197. |
| [10] | 李爱国, 李积铭, 李和平, 刘桂华, 宋聪敏, 武军艳. 适宜河北省旱寒区的冬油菜品种的筛选[J]. 生物技术通报, 2020, 36(1): 95-100. |
| [11] | 郭萌萌, 周延清, 段红英, 杨珂, 邵露营. 基于地黄转录组数据的SNP标记开发与地黄指纹图谱构建[J]. 生物技术通报, 2019, 35(11): 224-230. |
| [12] | 石建斌, 周红, 王宁, 许庆华, 乔文青, 严根土. 棉花SSR标记种质资源纯度鉴定及遗传多样性分析[J]. 生物技术通报, 2018, 34(7): 138-146. |
| [13] | 苏艳, 张亦弛, 胡德活, 郑会全. 杉木无性系耐旱分析及SRAP种质鉴别[J]. 生物技术通报, 2016, 32(10): 212-218. |
| [14] | 李宏博, 庞斌双, 刘丽华, 刘阳娜, 赵昌平, 陈景堂. 河北区试小麦品种(系)DNA指纹图谱构建及遗传差异分析[J]. 生物技术通报, 2015, 31(6): 93-99. |
| [15] | 张国武,刘学锋,周兴华,黄涛. 观叶福禄桐遗传多样性的ISSR分析[J]. 生物技术通报, 2015, 31(1): 109-114. |
| 阅读次数 | ||||||
|
全文 |
|
|||||
|
摘要 |
|
|||||