Biotechnology Bulletin ›› 2025, Vol. 41 ›› Issue (5): 197-207.doi: 10.13560/j.cnki.biotech.bull.1985.2024-1008
LIU Hong-li(
), MA Yi-dan, WANG Wan-ru, YANG Ya-ru, HE Dan, LIU Yi-ping(
), KONG De-zheng
Received:2024-10-15
Online:2025-05-26
Published:2025-06-05
Contact:
LIU Yi-ping
E-mail:liuhongli1221@sina.com;Lyp_163@163.com
LIU Hong-li, MA Yi-dan, WANG Wan-ru, YANG Ya-ru, HE Dan, LIU Yi-ping, KONG De-zheng. Cloning and Functional Analysis of NnCYP707A1 Gene from Lotus[J]. Biotechnology Bulletin, 2025, 41(5): 197-207.
| 引物名称Primer name | 引物序列Primer sequence(5′‒3′) | 引物用途Primer use |
|---|---|---|
| CYP707A1-F | ATGATTTCAAACCCAGAAGCTG | 基因克隆 |
| CYP707A1-R | TTACCTGTACTTTGTGGTCAGATGA | Gene cloning |
| 2300-CYP-F | ACGGGGGACGAGCTCGGTACCATGATTTCAAACCCAGAAGCTG | 载体构建 |
| 2300-CYP-R | CTTGCTCACCATGGTGTCGACCCTGTACTTTGTGGTCAGATGA | Vector construction |
| pYES2-CYP707A1-F | GCCGCCAGTGTGCTGGAATTCATGATTTCAAACCCAGAAGCTG | |
| pYES2-CYP707A1-R | ACATGATGCGGCCCTCTAGACCTGTACTTTGTGGTCAGATGA | |
| p-F | GCATAACCACTTTAACTAATAC | |
| p-R | TCGGTTAGAGCGGATGTG | |
| PIR-CYP-F | GCAGAATCTGAATTCGTCGACATGATTTCAAACCCAGAAGCTG | |
| PIR-CYP-R | GCTCGAGAAGCTTGTCGACCCTGTACTTTGTGGTCAGATGA | |
| RI-CYP-F | GCAGAATCTGAATTCGTCGACAGAGATACCACAGCCAGTGTTTTG | |
| RI-CYP-R | GCTCGAGAAGCTTGTCGACCCTGTACTTTGTGGTCAGATG | |
| qPCYP-F | ATTCACCACAGCCCAGACAACTTC | 基因表达分析 |
| qPCYP-R | CATTCCCAGGGCATGAGTGTATCC | Gene expression analysis |
| qPCYP707A1-F | CATTCACCACAGCCCAGACA | |
| qPCYP707A1-R | CAGGGCATGAGTGTATCCCA |
Table 1 Primers used in this study
| 引物名称Primer name | 引物序列Primer sequence(5′‒3′) | 引物用途Primer use |
|---|---|---|
| CYP707A1-F | ATGATTTCAAACCCAGAAGCTG | 基因克隆 |
| CYP707A1-R | TTACCTGTACTTTGTGGTCAGATGA | Gene cloning |
| 2300-CYP-F | ACGGGGGACGAGCTCGGTACCATGATTTCAAACCCAGAAGCTG | 载体构建 |
| 2300-CYP-R | CTTGCTCACCATGGTGTCGACCCTGTACTTTGTGGTCAGATGA | Vector construction |
| pYES2-CYP707A1-F | GCCGCCAGTGTGCTGGAATTCATGATTTCAAACCCAGAAGCTG | |
| pYES2-CYP707A1-R | ACATGATGCGGCCCTCTAGACCTGTACTTTGTGGTCAGATGA | |
| p-F | GCATAACCACTTTAACTAATAC | |
| p-R | TCGGTTAGAGCGGATGTG | |
| PIR-CYP-F | GCAGAATCTGAATTCGTCGACATGATTTCAAACCCAGAAGCTG | |
| PIR-CYP-R | GCTCGAGAAGCTTGTCGACCCTGTACTTTGTGGTCAGATGA | |
| RI-CYP-F | GCAGAATCTGAATTCGTCGACAGAGATACCACAGCCAGTGTTTTG | |
| RI-CYP-R | GCTCGAGAAGCTTGTCGACCCTGTACTTTGTGGTCAGATG | |
| qPCYP-F | ATTCACCACAGCCCAGACAACTTC | 基因表达分析 |
| qPCYP-R | CATTCCCAGGGCATGAGTGTATCC | Gene expression analysis |
| qPCYP707A1-F | CATTCACCACAGCCCAGACA | |
| qPCYP707A1-R | CAGGGCATGAGTGTATCCCA |
Fig. 2 NnCYP707A1 nucleotide sequence and its translated amino acid sequenceThe green boxes are the start and stop codons, and the blue boxes are the P450 family conserved domains
Fig. 3 Bioinformatics analysis of NnCYP707A1 proteinA: Domain prediction. B: Hydrophilic analysis. C: Protein transmembrane domain analysis. D: Secondary structure prediction. E: Phosphorylation site analysis. F: Tertiary structure prediction
Fig. 6 Subcellular localization of NnCYP707A1 protein35S::GFP: Strains of Agrobacterium carrying empty pC2300-GFP. 35S::NnCYP707A1::GFP: Agrobacterium strain carrying recombinant vector pC2300-NnCYP707A1-GFP. Scale=10 μm
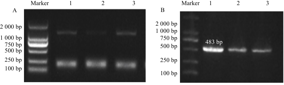
Fig. 8 Transient vector construction of NnCYP707A1A: PCR identification of the overexpressed vector PIR-NnCYP707A1. B: PCR identification of silencing vector IR-NnCYP707A1-RI. M: DL2000 marker. 1-3: Recombinant bacterial solution
Fig. 9 Overexpression efficiency and silencing efficiency of NnCYP707A1 geneYanyangtian: Control plant. OE-CYP707A1: Overexpressed lotus plants. cyp707a1: Silenced lotus plants. Different lowercase letters indicate significant difference (P<0.05). The same below
| 1 | 中华人民共和国国务院. 全国土壤污染情况调查公报[R]. 北京: 环境保护部, 国土资源部, 2014. |
| Council State, People's Republic of China. Bulletin of National Soil Pollution Survey [R]. Beijing: Ministry of Environmental Protection, Ministry of Land and Resources, 2014. | |
| 2 | 马晓华, 张旭乐, 钱仁卷, 等. 镉与铜胁迫下无柄小叶榕的生理响应 [J]. 森林与环境学报, 2019, 39(2): 194-200. |
| Ma XH, Zhang XL, Qian RJ, et al. Physiological response of Ficus concinna var. subsessilis under heavy metal cadmium-copper stress [J]. J For Environ, 2019, 39(2): 194-200. | |
| 3 | 王兴利, 吴晓晨, 王晨野, 等. 水生植物生态修复重金属污染水体研究进展 [J]. 环境污染与防治, 2020, 42(1): 107-112. |
| Wang XL, Wu XC, Wang CY, et al. Research progress on ecological remediation of heavy metal polluted water by aquatic plants [J]. Environ Pollut Contr, 2020, 42(1): 107-112. | |
| 4 | Mishra V, Pathak V, Tripathi B. Accumulation of cadmium and copper from aqueous solutions using Indian Lotus (Nelumbo nucifera) [J]. Ambio, 2009, 38(2): 110-112. |
| 5 | Wang YP, Wang Y, Ji K, et al. The role of abscisic acid in regulating cucumber fruit development and ripening and its transcriptional regulation [J]. Plant Physiol Biochem, 2013, 64: 70-79. |
| 6 | Inomata M, Hirai N, Yoshida R, et al. The biosynthetic pathway to abscisic acid via ionylideneethane in the fungus Botrytis cinerea [J]. Phytochemistry, 2004, 65(19): 2667-2678. |
| 7 | Zeevaart JD, Creelman RA. Metabolism and physiology of abscisic acid [J]. Annu Rev Plant Physiol Plant Mol Biol, 1988, 39: 439-473. |
| 8 | Kondo S, Sugaya S, Sugawa S, et al. Dehydration tolerance in apple seedlings is affected by an inhibitor of ABA 8'-hydroxylase CYP707A [J]. J Plant Physiol, 2012, 169(3): 234-241. |
| 9 | Liu S, Lv Y, Wan XR, et al. Cloning and expression analysis of cDNAs encoding ABA 8'-hydroxylase in peanut plants in response to osmotic stress [J]. PLoS One, 2014, 9(5): e97025. |
| 10 | Okamoto M, Kushiro T, Jikumaru Y, et al. ABA 9'-hydroxylation is catalyzed by CYP707A in Arabidopsis [J]. Phytochemistry, 2011, 72(8): 717-722. |
| 11 | Saito S, Hirai N, Matsumoto C, et al. Arabidopsis CYP707As encode (+)-abscisic acid 8'-hydroxylase, a key enzyme in the oxidative catabolism of abscisic acid [J]. Plant Physiol, 2004, 134(4): 1439-1449. |
| 12 | Zheng Y, Huang YY, Xian WH, et al. Identification and expression analysis of the Glycine max CYP707A gene family in response to drought and salt stresses [J]. Ann Bot, 2012, 110(3): 743-756. |
| 13 | Chono M, Honda I, Shinoda S, et al. Field studies on the regulation of abscisic acid content and germinability during grain development of barley: molecular and chemical analysis of pre-harvest sprouting [J]. J Exp Bot, 2006, 57(10): 2421-2434. |
| 14 | Saika H, Okamoto M, Miyoshi K, et al. Ethylene promotes submergence-induced expression of OsABA8ox1, a gene that encodes ABA 8'-hydroxylase in rice [J]. Plant Cell Physiol, 2007, 48(2): 287-298. |
| 15 | Vallabhaneni R, Wurtzel ET. From epoxycarotenoids to ABA: the role of ABA 8'-hydroxylases in drought-stressed maize roots [J]. Arch Biochem Biophys, 2010, 504(1): 112-117. |
| 16 | Dai SJ, Li P, Chen P, et al. Transcriptional regulation of genes encoding ABA metabolism enzymes during the fruit development and dehydration stress of pear 'Gold Nijisseiki' [J]. Plant Physiol Biochem, 2014, 82: 299-308. |
| 17 | Shen JC, Liu J, Yuan YG, et al. The mechanism of abscisic acid regulation of wild Fragaria species in response to cold stress [J]. BMC Genomics, 2022, 23(1): 670. |
| 18 | Long HT, Zheng Z, Zhang YJ, et al. An abscisic acid (ABA) homeostasis regulated by its production, catabolism and transport in peanut leaves in response to drought stress [J]. PLoS One, 2019, 14(6): e0213963. |
| 19 | Baek D, Shin G, Kim MC, et al. Histone deacetylase HDA9 with ABI4 contributes to abscisic acid homeostasis in drought stress response [J]. Front Plant Sci, 2020, 11: 143. |
| 20 | 蔡淑钰, 刘建新, 王国夫, 等. 褪黑素促进镉胁迫下番茄种子萌发的调控机理 [J]. 植物学报, 2023, 58(5): 720-732. |
| Cai SY, Liu JX, Wang GF, et al. Regulatory mechanism of melatonin on tomato seed germination under Cd2+ stress [J]. Chin Bull Bot, 2023, 58(5): 720-732. | |
| 21 | Gonzalez HCB, Galli V. The CYP707A gene family in strawberry (Fragaria × Ananassa) [J]. Braz Arch Biol Technol, 2021, 64: e21200133. |
| 22 | 李敬蕊, 王育博, 解紫薇, 等. 甜瓜PIN基因家族的鉴定及高温胁迫表达分析 [J]. 生物技术通报, 2023, 39(5): 192-204. |
| Li JR, Wang YB, Xie ZW, et al. Identification and expression analysis of PIN gene family in melon under high temperature stress [J]. Biotechnol Bull, 2023, 39(5): 192-204. | |
| 23 | 高真真, 徐功勋, 王东岭, 等. 桃ABA 8′-羟化酶基因PpeCYP707As在拟南芥中过表达的功能分析 [J]. 园艺学报, 2018, 45(2): 239-249. |
| Gao ZZ, Xu GX, Wang DL, et al. Functional analysis of peach PpeCYP707As gene in Arabidopsis thaliana overexpressing plants [J]. Acta Hortic Sin, 2018, 45(2): 239-249. | |
| 24 | Kushiro T, Okamoto M, Nakabayashi K, et al. The Arabidopsis cytochrome P450 CYP707A encodes ABA 8'-hydroxylases: key enzymes in ABA catabolism [J]. EMBO J, 2004, 23(7): 1647-1656. |
| 25 | 康苗苗. 花生胚发育相关家族基因AhCYP707A4s的表达与功能分析 [D]. 福州: 福建农林大学, 2016. |
| Kang MM. Expression and functional analysis of peanut embryo development related family gene AhCYP707A4s [D]. Fuzhou: Fujian Agriculture and Forestry University, 2016. | |
| 26 | Xu ZG, Ge Y, Zhang W, et al. The walnut JrVHAG1 gene is involved in cadmium stress response through ABA-signal pathway and MYB transcription regulation [J]. BMC Plant Biol, 2018, 18(1): 19. |
| 27 | 王帅, 冯宇梅, 白苗, 等. 大豆GmHMGR基因响应外源激素及非生物胁迫功能研究 [J]. 生物技术通报, 2023, 39(7): 131-142. |
| Wang S, Feng YM, Bai M, et al. Functional analysis of soybean gene GmHMGR responding to exogenous hormones and abiotic stresses [J]. Biotechnol Bull, 2023, 39(7): 131-142. | |
| 28 | 王媛媛, 刘百超, 姜波, 等. Th2CysPrx基因提高酿酒酵母多种胁迫耐受性研究 [J]. 南京林业大学学报: 自然科学版, 2022, 46(4): 87-94. |
| Wang YY, Liu BC, Jiang B, et al. Th2CysPrx gene enhanced abiotic stress tolerances of Saccharomyces cerevisiae [J]. J Nanjing For Univ Nat Sci Ed, 2022, 46(4): 87-94. | |
| 29 | 朱华, 张子君, 王涛, 等. 番茄黄化曲叶病毒病抗病育种研究进展 [J]. 园艺与种苗, 2022, 42(4): 5-6, 71. |
| Zhu H, Zhang ZJ, Wang T, et al. Research advance of disease resistance breeding on tomato yellow leaf curl virus disease [J]. Hortic Seed, 2022, 42(4): 5-6, 71. | |
| 30 | Peretz Y, Mozes-Koch R, Akad F, et al. A universal expression/silencing vector in plants [J]. Plant Physiol, 2007, 145(4): 1251-1263. |
| 31 | Cao J, Jin QJ, Kuang JY, et al. Regulation of flowering timing by ABA-NnSnRK1 signaling pathway in Lotus [J]. Int J Mol Sci, 2021, 22(8): 3932. |
| 32 | Galal TM, Al-Sodany YM, Al-Yasi HM, et al. Health risks of heavy metals uptake by the curds of cauliflower (Brassica oleracea var. botrytis) grown in contaminated agricultural lands [J]. Appl Ecol Env Res, 2023, 21(2): 975-991. |
| 33 | Nazir F, Hussain A, Fariduddin Q. Hydrogen peroxide modulate photosynthesis and antioxidant systems in tomato (Solanum lycopersicum L.) plants under copper stress [J]. Chemosphere, 2019, 230: 544-558. |
| 34 | 王钰超. 铜胁迫对茶树光合作用及品质指标的影响 [J]. 现代农业科技, 2021(14): 9-12, 14. |
| Wang YC. Effect of copper stress on photosynthesis and quality index of tea trees [J]. Mod Agric Sci Technol, 2021(14): 9-12, 14. | |
| 35 | 鲜靖苹. 盐及重金属胁迫对龟背竹生理抗性的影响 [J]. 江苏农业科学, 2016, 44(11): 241-244. |
| Xian JP. Effects of salt and heavy metal stress on physiological resistance of Phyllostachys pubescens [J]. Jiangsu Agric Sci, 2016, 44(11): 241-244. | |
| 36 | Souza Junior JC, Nogueirol RC, Monteiro FA. Nitrate and ammonium proportion plays a key role in copper phytoextraction, improving the antioxidant defense in Tanzania Guinea grass [J]. Ecotoxicol Environ Saf, 2019, 171: 823-832. |
| 37 | Mocquot B, Vangronsveld J, Clijsters H, et al. Copper toxicity in young maize (Zea mays L.) plants: effects on growth, mineral and chlorophyll contents, and enzyme activities [J]. Plant Soil, 1996, 182(2): 287-300. |
| 38 | Geng AJ, Wang X, Wu LS, et al. Silicon improves growth and alleviates oxidative stress in rice seedlings (Oryza sativa L.) by strengthening antioxidant defense and enhancing protein metabolism under arsanilic acid exposure [J]. Ecotoxicol Environ Saf, 2018, 158: 266-273. |
| 39 | 韩淑敏, 杨立科, 布和, 等. 重金属镉及盐胁迫对白榆幼苗生理特性的影响 [J]. 森林工程, 2022, 38(6): 19-26. |
| Han SM, Yang LK, Bu H, et al. Effects of heavy metal Cd and salt stress on physiological characteristics of Ulmus pumila seedlings [J]. For Eng, 2022, 38(6): 19-26. |
| [1] | TIAN Qin, LIU Kui, WU Xiang-wei, JI Yuan-yuan, CAO Yi-bo, ZHANG Ling-yun. Functional Study of Transcription Factor VcMYB17 in Regulating Drought Tolerance in Blueberry [J]. Biotechnology Bulletin, 2025, 41(4): 198-210. |
| [2] | KUANG Jian-hua, CHENG Zhi-peng, ZHAO Yong-jing, YANG Jie, CHEN Run-qiao, CHEN Long-qing, HU Hui-zhen. Expression Analysis of the GH3 Gene Family in Nelumbo nucifera underHormonal and Abiotic Stresses [J]. Biotechnology Bulletin, 2025, 41(2): 221-233. |
| [3] | WU Ding-jie, CHEN Ying-ying, XU Jing, LIU Yuan, ZHANG Hang, LI Rui-li. Research Progress in Plant Gibberellin Oxidase and Its Functions [J]. Biotechnology Bulletin, 2024, 40(7): 43-54. |
| [4] | CHEN Ying-e, LIANG Qiao-lan. Research Progress in the Effects of Plant Abscisic Acid and Its Receptor Gene PYL9 [J]. Biotechnology Bulletin, 2024, 40(12): 1-11. |
| [5] | HOU Ying-xiang, FEI Si-tian, SONG Song-quan, LUO Yong, ZHANG Chao. Research Progress in MADS-box Family in Rice [J]. Biotechnology Bulletin, 2024, 40(11): 103-112. |
| [6] | LIU Hui, LU Yang, YE Xi-miao, ZHOU Shuai, LI Jun, TANG Jian-bo, CHEN En-fa. Comparative Transcriptome Analysis of Cadmium Stress Response Induced by Exogenous Sulfur in Tartary Buckwheat [J]. Biotechnology Bulletin, 2023, 39(5): 177-191. |
| [7] | HU Ming-yue, YANG Yu, GUO Yang-dong, ZHANG Xi-chun. Functional Analysis of SlMYB96 Gene in Tomato Under Cold Stress [J]. Biotechnology Bulletin, 2023, 39(4): 236-245. |
| [8] | ZHANG Hao, LI Zhe, GUO Kai, HUANG Yan-hua, HAO Yong-ren. Functional Analysis of TvGCN5 Gene Encoding Histone Acetylase from Trichoderma viride Tv-1511 [J]. Biotechnology Bulletin, 2022, 38(5): 136-148. |
| [9] | PENG Guo-ying, HU Liang, HUANG Chao, YANG Kun, WAN Wei, HUANG Chang-gan. Transcriptome Analysis of Response to Heavy Metal Copper Stress in Setcreasea purpurea Root Tissue [J]. Biotechnology Bulletin, 2022, 38(2): 83-94. |
| [10] | ZHANG Ze-ying, FAN Qing-feng, DENG Yun-feng, WEI Ting-zhou, ZHOU Zheng-fu, ZHOU Jian, WANG Jin, JIANG Shi-jie. Whole Genome Sequencing and Comparative Genomic Analysis of a High-yield Lipase-producing Strain WCO-9 [J]. Biotechnology Bulletin, 2022, 38(10): 216-225. |
| [11] | LIU Sha-yu, CAO Jian, LI Meng, LIU Zhi-qiang, LI Xiao-yu. Biological Function of a Zn2Cys6 Transcription Factor CgAswA in Colletotrichum gloeosporioides [J]. Biotechnology Bulletin, 2021, 37(9): 161-170. |
| [12] | CHEN Ti-qiang, XU Xiao-lan, SHI Lin-chun, ZHONG Li-Yi. Sequencing and Analysis of the Whole Genome of Zizhi Cultivar ‘Wuzhi No.2’(Ganoderma sp. strain Zizhi S2) [J]. Biotechnology Bulletin, 2021, 37(11): 42-56. |
| [13] | ZHONG Yu-qing, CHEN Jia-jia. Regulation of Lanthanum on Rice Transcriptome Patterns Under Copper Stress [J]. Biotechnology Bulletin, 2020, 36(8): 8-14. |
| [14] | CUI Ya-quan, FENG Shou-shuai, HUANG Xing, CHEN Jin-cai, YANG Hai-lin. Directed Domestication of Copper Tolerance for Enhancing Low-grade Chalcopyrite Bioleaching by Acidithiobacillus caldus [J]. Biotechnology Bulletin, 2019, 35(8): 95-102. |
| [15] | YIN Chao-min, FAN Xiu-zhi, SHI De-fang, GAO Hong. CRISPR/Cas Genome Editing Technology and Its Application in Fungi [J]. Biotechnology Bulletin, 2017, 33(3): 58-65. |
| Viewed | ||||||
|
Full text |
|
|||||
|
Abstract |
|
|||||