生物技术通报 ›› 2026, Vol. 42 ›› Issue (4): 345-356.doi: 10.13560/j.cnki.biotech.bull.1985.2025-0879

• 研究报告 • 上一篇    

基于甜橙肌醇磷酸合酶基因Csino3的肌醇生物合成及发酵优化

颜鑫(), 吴筱, 何思宇, 段玉欢, 仇伍霞, 袁晓琴, 毛新芳, 刘忠渊()   

  1. 四川轻化工大学化学工程学院,自贡 643000
  • 收稿日期:2025-08-12 出版日期:2026-04-26 发布日期:2026-04-30
  • 通讯作者: 刘忠渊,男,博士,教授,研究方向 :重组蛋白及合成生物学;E-mail: lzy1168@163.com
  • 作者简介:颜鑫,男,硕士,研究方向 :合成生物学;E-mail: 1992334217@qq.com
  • 基金资助:
    国家自然科学基金项目(32260072);四川轻化工大学人才引进项目(2022RC01)

Inositol Biosynthesis and Fermentation Optimization of an Inositol Biosynthesis Pathway Using Citrus sinensis Inositol Phosphate Synthase Gene Csino3

YAN Xin(), WU Xiao, HE Si-yu, DUAN Yu-huan, QIU Wu-xia, YUAN Xiao-qin, MAO Xin-fang, LIU Zhong-yuan()   

  1. College of Chemical Engineering, Sichuan University of Science & Engineering, Zigong 643000
  • Received:2025-08-12 Published:2026-04-26 Online:2026-04-30

摘要:

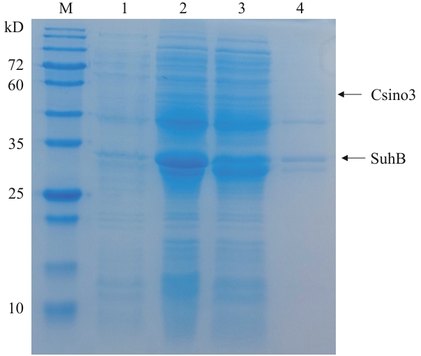
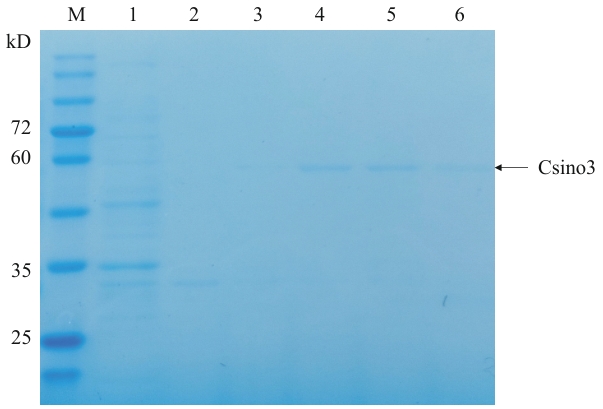
目的 原核共表达甜橙(Citrus sinensis)肌醇磷酸合酶(myo-inositol phosphate synthase)基因Csino3与大肠杆菌MG1655(Escherichia coli MG1655)肌醇-1-单磷酸酶(inositol-1-monophosphatas)基因suhB,构建高效的肌醇生物合成途径,并通过优化发酵条件和敲除大肠杆菌的pgigldA基因以提高肌醇产量。 方法 构建原核表达载体pETDuet-1-Csino3-suhB,将其转化至大肠杆菌E. coli BL21(DE3)进行异源表达。通过IPTG诱导表达,并采用SDS-PAGE鉴定可溶性蛋白表达情况。对葡萄糖浓度、IPTG浓度、接种量和初始pH值4个发酵参数进行优化,在单因素实验基础上,通过响应面法进一步优化发酵条件。随后通过敲除pgi(葡萄糖-6-磷酸异构酶)、gldA(甘油脱氢酶)改造大肠杆菌代谢途径,进一步提高肌醇产量。 结果 通过在E.coli BL21(DE3)中异源共表达重组质粒pETDuet-1-Csino3-suhB,证实Csino3和SuhB蛋白在25 ℃下均以可溶性形式存在。采用单因素实验和响应面分析法对目的菌株优化发酵条件,得出最佳发酵条件为:葡萄糖浓度9.7 g/L、IPTG浓度0.5 mmol/L、接种量8%、初始pH值8.1,此时肌醇发酵产量为309 mg/L。在上述发酵条件的基础上对敲除菌株ΔgldAΔpgi-pETDuet-1-Csino3-suhB/E. coli BL21(DE3)进行发酵优化,在添加20 g/L的初始甘油下,肌醇产量达到最大值3.97 g/L,比敲除前提高了12.8倍左右。 结论 重组菌株pETDuet-1-Csino3-suhB /E.coli BL21(DE3)能够有效产生肌醇,通过敲除pgi、gldA基因改变大肠杆菌代谢通路能极大提高肌醇产量。

关键词: 甜橙, 肌醇合成途径, 原核共表达, 基因敲除, 发酵条件优化, 响应面实验

Abstract:

Objective To establish an efficient myo-inositol biosynthetic pathway through prokaryotic co-expression of Citrus sinensis myo-inositol phosphate synthase gene Csino3 and Escherichia coli MG1655 inositol-1-monophosphatase gene suhB. To increase the inositol yield by optimizing fermentation conditions and knocking out pgi and gldA genes in E. coli. Method The prokaryotic co-expression vector pETDuet-1-Csino3-suhB was constructed and transformed into E. coli BL21(DE3) for heterologous expression. Protein expression was induced with IPTG and the expression of soluble protein was identified via SDS-PAGE analysis. Four fermenting parameters, glucose concentration, IPTG concentration, inoculum size, and initial pH were optimized through single-factor experiments. Further fermentation condition was optimized using response surface methodology. Then myo-inositol yield was enhanced by knocking out the pgi gene (encoding glucose-6-phosphate isomerase) and the gene gldA (glycerol dehydrogenase) to modify the metabolic pathway of E. coli . Result Successful heterologous co-expression of the recombinant plasmid pETDuet-1-Csino3-suhB in E. coli BL21(DE3) confirmed that both Csino3 and SuhB proteins were expressed in soluble forms under 25 ℃ induction. The fermentation conditions for the target strain were optimized using single-factor experiments and response surface methodology (RSM). The optimal conditions were determined as follows: Glucose concentration 9.7 g/L, IPTG concentration 0.5 mmol/L, inoculum size 8%, and initial pH 8.1. Under these conditions, myo-inositol production reached 309 mg/L. Based on the above mentioned fermentation conditions, further optimization was performed for the knockout strain △gldAΔpgi-pETDuet-1-CSino3-suhB/E.coli BL21(DE3). Under an initial glycerol concentration of 20 g/L, the myo-inositol production reached 3.97 g/L, representing an approximately 12.8-fold increase compared to the pre-knockout strain. Conclusion The recombinant strain pETDuet-1-CSino3-suhB /E.coli BL21(DE3) can efficiently produce inositol. Knocking out the pgi and gldA gene to redirect the metabolic pathway of E. coli significantly enhances inositol yield.

Key words: Citrus sinensis, inositol biosynthesis pathway, prokaryotic co-expression, gene knockout, optimization of fermentation condition, response surface experiment