Biotechnology Bulletin ›› 2025, Vol. 41 ›› Issue (6): 155-166.doi: 10.13560/j.cnki.biotech.bull.1985.2024-1144
WANG Bin1,2,3(
), LI Jian-rong2, ZHAN Zhao-xia2, YUAN Xiao2,3(
)
Received:2024-11-26
Online:2025-06-26
Published:2025-06-30
Contact:
YUAN Xiao
E-mail:b_wang@sgu.edu.cn;yxiao@sgu.edu.cn
WANG Bin, LI Jian-rong, ZHAN Zhao-xia, YUAN Xiao. Cloning of CsGR-RBP3 and Its Functional Roles in Cold Tolerance of Harvested Cucumber[J]. Biotechnology Bulletin, 2025, 41(6): 155-166.
基因 Gene | 正向序列 Forward sequence (5′‒3′) | 反向序列 Reverse sequence (5′‒3′) | 用途 Usage |
|---|---|---|---|
| GR-RBP3 | ATGCAATTATTCCCCACACGA | TCAGTTTTTGTCACCACCACCA | TA克隆 TA cloning |
| GR-RBP3 | atttggagaggacagggtaccATGCAATTATTCCCCACACGA | tctagaggatccccgggtaccGTTTTTGTCACCACCACCATAGC | 亚细胞定位载体构建 Construction of subcellular localization vectors |
| GR-RBP3 | agaaggcctccatggggatccTTCCAAGCTGTCTATCTTTCGAAC | cgtgagctcggtaccggatccGTTTTTGTCACCACCACCATAGC | VIGS实验载体构建 Vector construction of VIGS experiment |
| GR-RBP3 | GCAGCCTTCCAAGCTGTCTA | ACTTGCTGAACGCTACCCTC | 荧光定量PCR RT-qPCR |
| LEA5 | CTCCATTCTCTTCAGGCGGG | GTAACCGGTAACGGGGTCTG | |
| DREB1D | GCAGCTCACACGCTCTAAGT | GCGTTTGAGGAGGAGGTGTT | |
| ERD15 | CAAAGCTAAACCCGAACGCC | CCATGTCGAGGTTGTCACCA | |
| DLP4 | CTGAGGATGCGGGTTCAAGT | AGCTTTCTTGCACAGCTCCA | |
| NAA3 | GGAGAGGCTCAAACTTGGCT | ATGCCTCCAACCAGTGATGG | |
| CAT1 | GATCCTTACAGGCACCGACC | CCAACGGTCAACGAGGAGTT | |
| CAT3 | GAGAAGCTTTGCGTATGCGG | GGTGAGGACATTTGGGAGCA | |
| APX3 | TGGCCCAAAGGATGAGCTTT | GGGAGGGCGTTTGATTCGTA | |
| APX4 | TCCAGACCTGAAAACGCCAA | TTAACGCCACTTTGTGCTGC | |
| APX6 | GCCAAACTCAGCAACCTTGG | TCTGATAGCTCTCTCTTTCCGT | |
| POD41 | TTGCTTAGTGGGAGGCTGTG | GAGGTTGATTTCCGCATCGC | |
| POD42 | GTAGACCCTGTGCTGAACCC | CGTACTGTACAGCCTTGGGG | |
| POD64 | CTGTCAGGGCTGCAGCTTAT | GCCACGTTGTTCCCTACTGA | |
| Actin | AGGCCGTTCTGTCCCTCTAC | AGCAAGGTCCAAACGGAGAA |
Table 1 Primer sequence
基因 Gene | 正向序列 Forward sequence (5′‒3′) | 反向序列 Reverse sequence (5′‒3′) | 用途 Usage |
|---|---|---|---|
| GR-RBP3 | ATGCAATTATTCCCCACACGA | TCAGTTTTTGTCACCACCACCA | TA克隆 TA cloning |
| GR-RBP3 | atttggagaggacagggtaccATGCAATTATTCCCCACACGA | tctagaggatccccgggtaccGTTTTTGTCACCACCACCATAGC | 亚细胞定位载体构建 Construction of subcellular localization vectors |
| GR-RBP3 | agaaggcctccatggggatccTTCCAAGCTGTCTATCTTTCGAAC | cgtgagctcggtaccggatccGTTTTTGTCACCACCACCATAGC | VIGS实验载体构建 Vector construction of VIGS experiment |
| GR-RBP3 | GCAGCCTTCCAAGCTGTCTA | ACTTGCTGAACGCTACCCTC | 荧光定量PCR RT-qPCR |
| LEA5 | CTCCATTCTCTTCAGGCGGG | GTAACCGGTAACGGGGTCTG | |
| DREB1D | GCAGCTCACACGCTCTAAGT | GCGTTTGAGGAGGAGGTGTT | |
| ERD15 | CAAAGCTAAACCCGAACGCC | CCATGTCGAGGTTGTCACCA | |
| DLP4 | CTGAGGATGCGGGTTCAAGT | AGCTTTCTTGCACAGCTCCA | |
| NAA3 | GGAGAGGCTCAAACTTGGCT | ATGCCTCCAACCAGTGATGG | |
| CAT1 | GATCCTTACAGGCACCGACC | CCAACGGTCAACGAGGAGTT | |
| CAT3 | GAGAAGCTTTGCGTATGCGG | GGTGAGGACATTTGGGAGCA | |
| APX3 | TGGCCCAAAGGATGAGCTTT | GGGAGGGCGTTTGATTCGTA | |
| APX4 | TCCAGACCTGAAAACGCCAA | TTAACGCCACTTTGTGCTGC | |
| APX6 | GCCAAACTCAGCAACCTTGG | TCTGATAGCTCTCTCTTTCCGT | |
| POD41 | TTGCTTAGTGGGAGGCTGTG | GAGGTTGATTTCCGCATCGC | |
| POD42 | GTAGACCCTGTGCTGAACCC | CGTACTGTACAGCCTTGGGG | |
| POD64 | CTGTCAGGGCTGCAGCTTAT | GCCACGTTGTTCCCTACTGA | |
| Actin | AGGCCGTTCTGTCCCTCTAC | AGCAAGGTCCAAACGGAGAA |
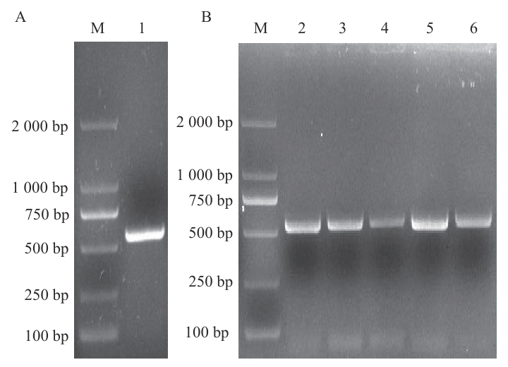
Fig. 1 Electrophoresis images of PCR products of CsGR-RBP3 coding sequencesA: The PCR product amplified by cucumber cDNA as template. B: The PCR product amplified by recombinant plasmid as template. M: DNA marker; 1‒6: PCR products
Fig. 2 Multi sequence comparison (A) and RRM domain conservation analysis (B) of CsGR-RBP3 and Arabidopsis AtGR-RBP proteinsRRM conserved domain is indicated in blue box
Fig. 4 Effects of reducing cold-inducible CsGR-RBP3 expression on the chilling injury of cold-stored cucumber fruitA: Chlorophyll fluorescence of cucumber fruit. B: Chlorophyll fluorescence parameter, Fv/Fm. C: Chlorophyll fluorescence parameter, Y(NO). D: Relative electrical conductivity. * indicates significant difference at P<0.05 level. The same below
Fig. 6 Effects of reducing cold-inducible CsGR-RBP3 expressions on mitochondrial antioxidant enzyme activity and gene expression in cold-stored cucumber fruit
Fig. 7 Functional enrichment and expression pattern analysis of differentially expressed genes caused by reducing cold-inducible CsGR-RBP3 expressionA: Venn diagram of differentially expressed genes (DEGs). B: KEGG enrichment of overlapped DEGs from two comparison groups. C: Expression patterns of DEGs in the phenylalanine metabolism pathway. D: Expression patterns of DEGs in the plant-pathogen interaction pathway. E: Expression patterns of DEGs in the phenylpropanoid biosynthesis pathway
Fig. 8 GSEA analysis of differentially expressed genes caused by reducing cold-inducible CsGR-RBP3 expressionA: Phenylalanine metabolism pathway. B: Phenylpropanoid biosynthesis pathway. C: Plant-pathogen interaction pathway
| 1 | Franzoni G, Spadafora ND, Sirangelo TM, et al. Biochemical and molecular changes in peach fruit exposed to cold stress conditions [J]. Mol Hortic, 2023, 3(1): 24. |
| 2 | Rodrigues M, Ordoñez-Trejo EJ, Rasori A, et al. Dissecting postharvest chilling injuries in pome and stone fruit through integrated omics [J]. Front Plant Sci, 2024, 14: 1272986. |
| 3 | Zhang YP, Lin D, Yan RY, et al. Amelioration of chilling injury by fucoidan in cold-stored cucumber via membrane lipid metabolism regulation [J]. Foods, 2023, 12(2): 301. |
| 4 | 王斌, 杨盼迪, 王玉昆, 等. 采后黄瓜在冷驯化处理过程中的转录组变化 [J]. 西北农业学报, 2024, 33(2): 256-270. |
| Wang B, Yang PD, Wang YK, et al. Transcriptomic changes of postharvest cucumber during cold acclimation [J]. Acta Agric Boreali Occidentalis Sin, 2024, 33(2): 256-270. | |
| 5 | Wang JD, Zhao YQ, Ma ZQ, et al. Hydrogen sulfide treatment alleviates chilling injury in cucumber fruit by regulating antioxidant capacity, energy metabolism and proline metabolism [J]. Foods, 2022, 11(18): 2749. |
| 6 | 王斌, 袁晓, 蒋园园, 等. 采后黄瓜冷害及耐冷性调控研究进展 [J]. 江苏农业学报, 2023, 39(2): 596-608. |
| Wang B, Yuan X, Jiang YY, et al. Research advances in chilling injury and the regulation of chilling tolerance of postharvest cucumber fruit [J]. Jiangsu J Agric Sci, 2023, 39(2): 596-608. | |
| 7 | Shan YX, Zhang DD, Luo ZS, et al. Advances in chilling injury of postharvest fruit and vegetable: Extracellular ATP aspects [J]. Compr Rev Food Sci Food Saf, 2022, 21(5): 4251-4273. |
| 8 | Min DD, Li FJ, Ali M, et al. Application of methyl jasmonate to control chilling tolerance of postharvest fruit and vegetables: a meta-analysis and eliciting metabolism review [J]. Crit Rev Food Sci Nutr, 2024, 64(33): 12878-12891. |
| 9 | 张瑞平, 杨峰, 陈乐章, 等. 交替呼吸途径在油菜素内酯调控本氏烟响应高温胁迫中的作用研究 [J]. 生物技术通报, 2020, 36(10): 8-14. |
| Zhang RP, Yang F, Chen LZ, et al. Role of alternative respiratory pathway in brassinosteroids inducing heat stress response in Nicotiana benthamiana [J]. Biotechnol Bull, 2020, 36(10): 8-14. | |
| 10 | Zu XF, Luo LL, Wang Z, et al. A mitochondrial pentatricopeptide repeat protein enhances cold tolerance by modulating mitochondrial superoxide in rice [J]. Nat Commun, 2023, 14(1): 6789. |
| 11 | Erdal S, Genisel M, Turk H, et al. Modulation of alternative oxidase to enhance tolerance against cold stress of chickpea by chemical treatments [J]. J Plant Physiol, 2015, 175: 95-101. |
| 12 | Ma LQ, Cheng K, Li JY, et al. Roles of plant glycine-rich RNA-binding proteins in development and stress responses [J]. Int J Mol Sci, 2021, 22(11): 5849. |
| 13 | Kim JY, Park SJ, Jang B, et al. Functional characterization of a glycine-rich RNA-binding protein 2 in Arabidopsis thaliana under abiotic stress conditions [J]. Plant J, 2007, 50(3): 439-451. |
| 14 | Kim MK, Jung HJ, Kim DH, et al. Characterization of glycine-rich RNA-binding proteins in Brassica napus under stress conditions [J]. Physiol Plant, 2012, 146(3): 297-307. |
| 15 | 王斌, 武春爽, 汤冰琳, 等. 黄瓜果实CsMYB62克隆及其对CsGR-RBP3表达的调控 [J]. 核农学报, 2022, 36(5): 907-917. |
| Wang B, Wu CS, Tang BL, et al. Cloning of CsMYB62 and its regulations on CsGR-RBP3 expression in cucumber fruit [J]. J Nucl Agric Sci, 2022, 36(5): 907-917. | |
| 16 | 王斌, 黄泳谚, 易景怡, 等. 黄瓜GR-RBP3启动子克隆及低温对其活性的诱导 [J]. 山东农业科学, 2022, 54(7): 15-23. |
| Wang B, Huang YY, Yi JY, et al. Molecular cloning of cucumber GR-RBP3 promoter and induction of low temperature on its activity [J]. Shandong Agric Sci, 2022, 54(7): 15-23. | |
| 17 | Wang YK, Ye H, Lin W, et al. Cinnamic acid application inhibits the browning of cold-stored taro slices by maintaining membrane function, reducing flavonoid biosynthesis and enhancing glutathione metabolism [J]. Postharvest Biol Technol, 2024, 218: 113180. |
| 18 | Crooks GE, Hon G, Chandonia JM, et al. WebLogo: a sequence logo generator [J]. Genome Res, 2004, 14(6): 1188-1190. |
| 19 | Teufel F, Almagro Armenteros JJ, Johansen AR, et al. SignalP 6.0 predicts all five types of signal peptides using protein language models [J]. Nat Biotechnol, 2022, 40(7): 1023-1025. |
| 20 | Wang B, Wang G, Wang YK, et al. A cold-inducible MYB like transcription factor, CsHHO2, positively regulates chilling tolerance of cucumber fruit by enhancing CsGR-RBP3 expression [J]. Postharvest Biol Technol, 2024, 218: 113172. |
| 21 | Wang B, Wang G, Zhu SJ. DNA damage inducible protein 1 is involved in cold adaption of harvested cucumber fruit [J]. Front Plant Sci, 2020, 10: 1723. |
| 22 | 井广琴. 一氧化氮对冷藏肥城桃果实线粒体抗氧化防御和膜脂代谢的调控作用 [D]. 泰安: 山东农业大学, 2015. |
| Jing GQ. Effects of nitric oxide on mitochondrial antioxidant defense and membrane lipid metabolism of frozen Feicheng peach fruit [D]. Tai'an: Shandong Agricultural University, 2015. | |
| 23 | Schmittgen TD, Livak KJ. Analyzing real-time PCR data by the comparative C(T) method [J]. Nat Protoc, 2008, 3(6): 1101-1108. |
| 24 | Cheng K, Zhang CJ, Lu Y, et al. The Glycine-rich RNA-binding protein is a vital post-transcriptional regulator in crops [J]. Plants, 2023, 12(19): 3504. |
| 25 | Czolpinska M, Rurek M. Plant Glycine-rich proteins in stress response: an emerging, still prospective story [J]. Front Plant Sci, 2018, 9: 302. |
| 26 | 王斌, 林薇, 肖艳辉, 等. 植物富含甘氨酸蛋白家族功能研究进展 [J]. 生物技术通报, 2025, 41(2): 1-17. |
| Wang B, Lin W, Xiao YH, et al. Research progress in the function of glycine-rich protein family in plants [J]. Biotechnol Bull, 2025, 41(2): 1-17. | |
| 27 | Ciuzan O, Hancock J, Pamfil D, et al. The evolutionarily conserved multifunctional glycine-rich RNA-binding proteins play key roles in development and stress adaptation [J]. Physiol Plant, 2015, 153(1): 1-11. |
| 28 | Saha B, Borovskii G, Panda SK. Alternative oxidase and plant stress tolerance [J]. Plant Signal Behav, 2016, 11(12): e1256530. |
| 29 | Wang B, Wang G, Shen F, et al. A Glycine-rich RNA-binding protein, CsGR-RBP3, is involved in defense responses against cold stress in harvested cucumber (Cucumis sativus L.) fruit [J]. Front Plant Sci, 2018, 9: 540. |
| 30 | Zhang YJ, Mo YJ, Li JY, et al. Divergence in regulatory mechanisms of GR-RBP genes in different plants under abiotic stress [J]. Sci Rep, 2024, 14(1): 8743. |
| 31 | Shi XW, Germain A, Hanson MR, et al. RNA recognition motif-containing protein ORRM4 broadly affects mitochondrial RNA editing and impacts plant development and flowering [J]. Plant Physiol, 2016, 170(1): 294-309. |
| 32 | Shi XW, Castandet B, Germain A, et al. ORRM5, an RNA recognition motif-containing protein, has a unique effect on mitochondrial RNA editing [J]. J Exp Bot, 2017, 68(11): 2833-2847. |
| 33 | 刘传和, 贺涵, 何秀古, 等. 转录组与代谢组联合分析菠萝网纱覆盖防寒机制 [J]. 生物技术通报, 2022, 38(11): 58-69. |
| Liu CH, He H, He XG, et al. Unveiling the mechanisms of pineapple responding to anti-chilling by gauze covering in winter via transcriptome and metabolome profiling [J]. Biotechnol Bull, 2022, 38(11): 58-69. | |
| 34 | Wang B, Wu CS, Wang G, et al. Transcriptomic analysis reveals a role of phenylpropanoid pathway in the enhancement of chilling tolerance by pre-storage cold acclimation in cucumber fruit [J]. Sci Hortic, 2021, 288: 110282. |
| 35 | Gusain S, Joshi S, Joshi R. Sensing, signalling, and regulatory mechanism of cold-stress tolerance in plants [J]. Plant Physiol Biochem, 2023, 197: 107646. |
| 36 | Gao H, Wu FZ. Physiological and transcriptomic analysis of tomato in response to sub-optimal temperature stress [J]. Plant Signal Behav, 2024, 19(1): 2332018. |
| 37 | 黄泳谚, 易景怡, 王斌. 采后黄瓜响应低温胁迫的转录组学分析 [J]. 热带作物学报, 2023, 44(1): 35-48. |
| Huang YY, Yi JY, Wang B. Transcriptomic analysis of harvested cucumber in response to cold stress [J]. Chin J Trop Crops, 2023, 44(1): 35-48. |
| [1] | FAN Zong-qiang, FENG Jing-han, ZHENG Li-xue, WANG Shuo, PENG Xiang-qian, CHEN Fang. Study on the Control and Induced Resistance in Cucumber with Bacillus subtilis B579 against Cucumber Fusarium Wilt [J]. Biotechnology Bulletin, 2024, 40(7): 226-234. |
| [2] | XIAO Ya-ru, JIA Ting-ting, LUO Dan, WU Zhe, LI Li-xia. Cloning and Expression Analysis of CsERF025L Transcription Factor in Cucumber [J]. Biotechnology Bulletin, 2024, 40(4): 159-166. |
| [3] | CHU Rui, LI Zhao-xuan, ZHANG Xue-qing, YANG Dong-ya, CAO Hang-hang, ZHANG Xue-yan. Screening and Identification of Antagonistic Bacillus spp. Against Cucumber Fusarium wilt and Its Biocontrol Effect [J]. Biotechnology Bulletin, 2023, 39(8): 262-271. |
| [4] | XIE Yang, XING Yu-meng, ZHOU Guo-yan, LIU Mei-yan, YIN Shan-shan, YAN Li-ying. Transcriptome Analysis of Diploid and Autotetraploid in Cucumber Fruit [J]. Biotechnology Bulletin, 2023, 39(3): 152-162. |
| [5] | WANG Qi, HU Zhe, FU Wei, LI Guang-zhe, HAO Lin. Regulation of Burkholderia sp. GD17 on the Drought Tolerance of Cucumber Seedlings [J]. Biotechnology Bulletin, 2023, 39(3): 163-175. |
| [6] | YANG Dong-ya, QI Rui-xue LI, Zhao-xuan , LIN Wei, MA Hui, ZHANG Xue-yan. Screening, Identification and Growth-promoting Effect of Antagonistic Bacillus spp. Against Cucumber Fusarium solani [J]. Biotechnology Bulletin, 2023, 39(2): 211-220. |
| [7] | XIE Yang, ZHOU Guo-yan, SU Hang, XING Yu-meng, YAN Li-ying. Transcriptome Analysis of Cucumber Seeds Early and Late Germination Under PEG Drought Simulation [J]. Biotechnology Bulletin, 2023, 39(12): 148-157. |
| [8] | YANG Yan, MO Yu-xing, ZHOU Yi, CHEN Hui-ming, XIAO Lang-tao, WANG Ruo-zhong. Effects of Cucumber Endocarp Juice on Seed Germination [J]. Biotechnology Bulletin, 2023, 39(12): 158-168. |
| [9] | ZHANG Lin-lin, SHEN Hu-sheng, YANG Bing, HE Meng-han, PIAO Feng-zhi, SHEN Shun-shan. Control Ability and Identification of Biocontrol Agent HK11-9 Against Corynespora Leaf Spot of Cucumber [J]. Biotechnology Bulletin, 2023, 39(12): 209-218. |
| [10] | WANG Dan-dan, CHI Chun-ning, BAI Jing, CHEN Chong, CHI Chun-yu, DING Guo-hua. Expression Analysis of Mitochondria-related Genes During PCD Induced by Salicylic Acid and Downy Mildew in Cucumber [J]. Biotechnology Bulletin, 2018, 34(7): 85-91. |
| [11] | QIU Yan-hong,WANG Chao-nan,ZHU Shui-fang. Research Advances on the Pathogenicity of Cucumber Mosaic Virus [J]. Biotechnology Bulletin, 2017, 33(9): 10-16. |
| [12] | ZHOU Dong, LIU Zhen, LIU Li, XU Peng-cheng, ZHENG Yin-ying. Genome Sequencing of CMV Isolated from Pepper in Xinjiang and Polyclonal Antibody Preparation of CP Gene [J]. Biotechnology Bulletin, 2017, 33(8): 88-94. |
| [13] | YANG Shuang-long, DENG Feng-fei, DU Chao-kun, CHENG Yun-xiu, GONG Ming. Effect of Exogenous Abscisic Acid on Chilling Tolerance and Glycine Betaine Accumulation in Jatropha curcas Seedlings Under Chilling Stress [J]. Biotechnology Bulletin, 2016, 32(9): 100-106. |
| [14] | WANG Jun-qiang, WANG Jing-jing, WANG Qi, MA Gui-zhen, BAO Zeng-hai, WANG Shu-fang, ZHOU Xiang-hong. Colonization of Double-resistance Strain of Marine Bacterium L1-9 and Its Biocontrol Effect on Fusarium Wilt of Cucumber [J]. Biotechnology Bulletin, 2016, 32(6): 193-198. |
| [15] | KONG Wei-wen, LI Yun-long, WANG Jing-qi, LIU Ting-ting, CHEN Nan, JIN Yi, HE Xiao-qing. The Establishment of PMA-qPCR for Detecting Bacterial Angular Leaf Spot on Cucumber and Its Preliminary Application [J]. Biotechnology Bulletin, 2016, 32(2): 70-75. |
| Viewed | ||||||
|
Full text |
|
|||||
|
Abstract |
|
|||||