Biotechnology Bulletin ›› 2025, Vol. 41 ›› Issue (8): 137-145.doi: 10.13560/j.cnki.biotech.bull.1985.2025-0046
ZHAI Ying(
), JI Jun-jie, CHEN Jiong-xin, YU Hai-wei, LI Shan-shan, ZHAO Yan, MA Tian-yi
Received:2025-01-12
Online:2025-08-26
Published:2025-08-14
Contact:
ZHAI Ying
E-mail:fairy39809079@126.com
ZHAI Ying, JI Jun-jie, CHEN Jiong-xin, YU Hai-wei, LI Shan-shan, ZHAO Yan, MA Tian-yi. Heterologous Overexpression of Soybean GmNF-YB24 Improves the Resistance of Transgenic Tobacco to Drought[J]. Biotechnology Bulletin, 2025, 41(8): 137-145.
基因(GenBank登录号) Gene (GenBank accession no.) | 引物序列 Primer sequences (5′‒3′) |
|---|---|
| GmNF-YB24 (XM003546151) | F-AGACAGGTTCCTTCCGATAGCG R-TTATGAAGCTGATGAACTCCGACAC |
| Gmβ-Tubulin (GMU12286) | F-GGAAGGCT TTCTTGCATTGGTA R-AGTGGCATCCTGGTACTGC |
| NtActin (AB158612) | F-TTGCTGGTCGTGATCTTACTGATTG R-CAGTCTCCAACTCTTGCTCATAGTC |
| NtOsmotin (M29279) | F-CTCCTTGCCTTGGTGACTT R-ACCGCCTATGGGTGTCG |
| NtERD10B (AB049336) | F-TCCCATTCGTCAAACCG R-CCCACCAAGTATGCCAGT |
| NtP5CS (HM854026) | F-GACACGGACTGATGGAAGATTAG R-TTCATAGCCTTGCGAGTTAAGC |
Table 1 Primer sequences for RT-qPCR
基因(GenBank登录号) Gene (GenBank accession no.) | 引物序列 Primer sequences (5′‒3′) |
|---|---|
| GmNF-YB24 (XM003546151) | F-AGACAGGTTCCTTCCGATAGCG R-TTATGAAGCTGATGAACTCCGACAC |
| Gmβ-Tubulin (GMU12286) | F-GGAAGGCT TTCTTGCATTGGTA R-AGTGGCATCCTGGTACTGC |
| NtActin (AB158612) | F-TTGCTGGTCGTGATCTTACTGATTG R-CAGTCTCCAACTCTTGCTCATAGTC |
| NtOsmotin (M29279) | F-CTCCTTGCCTTGGTGACTT R-ACCGCCTATGGGTGTCG |
| NtERD10B (AB049336) | F-TCCCATTCGTCAAACCG R-CCCACCAAGTATGCCAGT |
| NtP5CS (HM854026) | F-GACACGGACTGATGGAAGATTAG R-TTCATAGCCTTGCGAGTTAAGC |
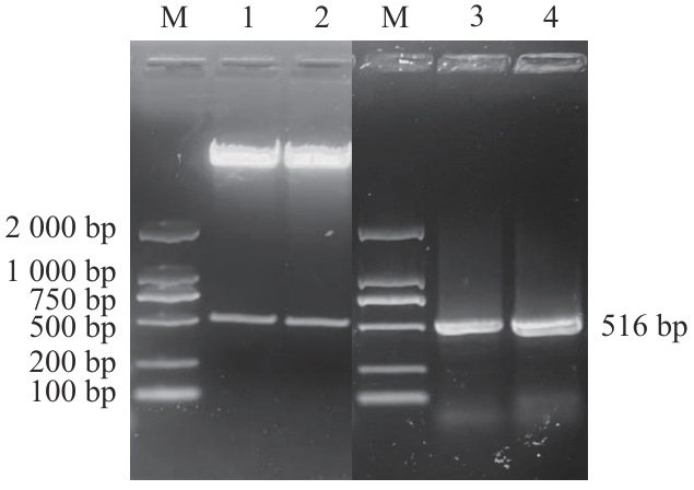
Fig. 4 Construction of GmNF-YB24 plant expression vector and A. tumefaciens transformationM: DL2000 marker. 1-2: Double enzyme digestion of pRI101-GmNF-YB24 plasmid. 3‒4: PCR of Agrobacterium tumefaciens
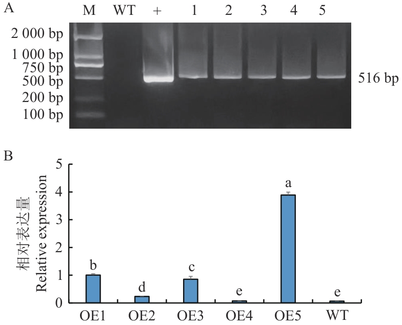
Fig. 5 Identification of GmNF-YB24 transgenic tobaccoA: Genomic DNA PCR detection of GmNF-YB24 transgenic tobacco; B: RT-qPCR detection of GmNF-YB24 transgenic tobacco; M: DL2000 marker for molecular weight; +: pRI101-GmNF-YB24 plasmid; WT: wild-type tobacco; 1-5: GmNF-YB24 transgenic tobacco; OE1-OE5: GmNF-YB24 transgenic tobacco. The same below
Fig. 6 Phenotype of GmNF-YB24 transgenic tobacco under drought and rewater treatmentA: Before stop watering; B: stop watering for 10 d; C: stop watering for 20 d; D: rewater for 3 d
Fig. 7 Proline content, soluble carbohydrate content, relative electrolyte leakage,and malondialdehyde content of GmNF-YB24 transgenic tobacco under drought stress
| [11] | Sorin C, Declerck M, Christ A, et al. A miR169 isoform regulates specific NF-YA targets and root architecture in Arabidopsis [J]. New Phytol, 2014, 202(4): 1197-1211. |
| [12] | Swain S, Myers ZA, Siriwardana CL, et al. The multifaceted roles of NUCLEAR FACTOR-Y in Arabidopsis thaliana development and stress responses [J]. Biochim Biophys Acta Gene Regul Mech, 2017, 1860(5): 636-644. |
| [13] | Bhattacharjee B, Hallan V. NF-YB family transcription factors in Arabidopsis: Structure, phylogeny, and expression analysis in biotic and abiotic stresses [J]. Front Microbiol, 2023, 13: 1067427. |
| [14] | Nelson DE, Repetti PP, Adams TR, et al. Plant nuclear factor Y (NF-Y) B subunits confer drought tolerance and lead to improved corn yields on water-limited acres [J]. Proc Natl Acad Sci USA, 2007, 104(42): 16450-16455. |
| [15] | Han X, Tang S, An Y, et al. Overexpression of the poplar NF-YB7 transcription factor confers drought tolerance and improves water-use efficiency in Arabidopsis [J]. J Exp Bot, 2013, 64(14): 4589-4601. |
| [16] | Wang BM, Li ZX, Ran QJ, et al. ZmNF-YB16 overexpression improves drought resistance and yield by enhancing photosynthesis and the antioxidant capacity of maize plants [J]. Front Plant Sci, 2018, 9: 709. |
| [17] | Yadav D, Shavrukov Y, Bazanova N, et al. Constitutive overexpression of the TaNF-YB4 gene in transgenic wheat significantly improves grain yield [J]. J Exp Bot, 2015, 66(21): 6635-6650. |
| [18] | Wang TL, Wei Q, Wang ZL, et al. CmNF-YB8 affects drought resistance in Chrysanthemum by altering stomatal status and leaf cuticle thickness [J]. J Integr Plant Biol, 2022, 64(3): 741-755. |
| [19] | Quach TN, Nguyen HTM, Valliyodan B, et al. Genome-wide expression analysis of soybean NF-Y genes reveals potential function in development and drought response [J]. Mol Genet Genomics, 2015, 290(3): 1095-1115. |
| [20] | Li W, Mallano AI, Bo L, et al. Soybean transcription factor GmNFYB1 confers abiotic stress tolerance to transgenic Arabidopsis plants [J]. Can J Plant Sci, 2017, 97(3): 501-515. |
| [21] | Yu TF, Liu Y, Fu JD, et al. The NF-Y-PYR module integrates the abscisic acid signal pathway to regulate plant stress tolerance [J]. Plant Biotechnol J, 2021, 19(12): 2589-2605. |
| [22] | Sun ML, Li Y, Zheng JQ, et al. A nuclear factor Y-B transcription factor, GmNFYB17, regulates resistance to drought stress in soybean [J]. Int J Mol Sci, 2022, 23(13): 7242. |
| [23] | Qiu S, Zhang J, He JQ, et al. Overexpression of GmGolS2-1, a soybean galactinol synthase gene, enhances transgenic tobacco drought tolerance [J]. Plant Cell Tissue Organ Cult, 2020, 143(3): 507-516. |
| [24] | Hoekema A, Hirsch PR, Hooykaas PJJ, et al. A binary plant vector strategy based on separation of Vir- and T-region of the Agrobacterium tumefaciens Ti-plasmid [J]. Nature, 1983, 303: 179-180. |
| [25] | 翟莹, 李铭杨, 张军, 等. 异源表达大豆转录因子GmNF-YA19提高转基因烟草抗旱性 [J]. 生物技术通报, 2023, 39(5): 224-232. |
| Zhai Y, Li MY, Zhang J, et al. Heterologous expression of soybean transcription factor GmNF-YA19 improves drought resistance of transgenic tobacco [J]. Biotechnol Bull, 2023, 39(5): 224-232. | |
| [26] | Sun XD, Lian HF, Liu XC, et al. The garlic NF-YC gene, AsNF-YC8 positively regulates non-ionic hyperosmotic stress tolerance in tobacco [J]. Protoplasma, 2017, 254(3): 1353-1366. |
| [27] | Giacomelli L, Masi A, Ripoll DR, et al. Arabidopsis thaliana deficient in two chloroplast ascorbate peroxidases shows accelerated light-induced necrosis when levels of cellular ascorbate are low [J]. Plant Mol Biol, 2007, 65(5): 627-644. |
| [28] | Sinha S, Kim IS, Sohn KY, et al. Three classes of mutations in the A subunit of the CCAAT-binding factor CBF delineate functional domains involved in the three-step assembly of the CBF-DNA complex [J]. Mol Cell Biol, 1996, 16(1): 328-337. |
| [29] | Maheshwari P, Kummari D, Palakolanu SR, et al. Genome-wide identification and expression profile analysis of nuclear factor Y family genes in Sorghum bicolor L. (Moench) [J]. PLoS One, 2019, 14(9): e0222203. |
| [30] | Du WX, Yang JF, Li Q, et al. Identification and characterization of abiotic stress-responsive NF-YB family genes in Medicago [J]. Int J Mol Sci, 2022, 23(13): 6906. |
| [31] | Demidchik V, Straltsova D, Medvedev SS, et al. Stress-induced electrolyte leakage: the role of K+-permeable channels and involvement in programmed cell death and metabolic adjustment [J]. J Exp Bot, 2014, 65(5): 1259-1270. |
| [32] | Weber H, Chételat A, Reymond P, et al. Selective and powerful stress gene expression in Arabidopsis in response to malondialdehyde [J]. Plant J, 2004, 37(6): 877-888. |
| [33] | Gill SS, Tuteja N. Reactive oxygen species and antioxidant machinery in abiotic stress tolerance in crop plants [J]. Plant Physiol Biochem, 2010, 48(12): 909-930. |
| [34] | Mittler R. Oxidative stress, antioxidants and stress tolerance [J]. Trends Plant Sci, 2002, 7(9): 405-410. |
| [35] | 尚姝婷. 桑树OSM及PLA1-ⅡDelta基因克隆及其在干旱胁迫下的功能研究 [D]. 杨凌: 西北农林科技大学, 2020. |
| Shang ST. Cloning of OSM and PLA1-ⅡDelta genes in mulberry and their functions under drought stress [D]. Yangling: Northwest A & F University, 2020. | |
| [36] | 李冬鹏, 李宛鸿, 吴浩, 等. 水稻ERD15基因家族成员鉴定及表达分析[J/OL]. 分子植物育种, 2025. . |
| Li DP, Li YH, Wu H, et al. Identification and expression analysis of rice ERD15 gene family members [J/OL]. Mol Plant Breed, 2025. . | |
| [37] | 王玲, 张艳萍, 齐燕妮, 等. 胡麻P5CS基因家族进化模式分析及LusP5CS1基因耐旱能力验证 [J]. 作物学报, 2024, 50(10): 2515-2527. |
| Wang L, Zhang YP, Qi YN, et al. Divergent evolutionary pattern of P5CS gene family and drought tolerance verification of LusP5CS1 in linseed [J]. Acta Agron Sin, 2024, 50(10): 2515-2527. | |
| [1] | 胡雅丹, 伍国强, 刘晨, 等. MYB转录因子在调控植物响应逆境胁迫中的作用 [J]. 生物技术通报, 2024, 40(6): 5-22. |
| Hu YD, Wu GQ, Liu C, et al. Roles of MYB transcription factor in regulating the responses of plants to stress [J]. Biotechnol Bull, 2024, 40(6): 5-22. | |
| [2] | Maity SN, de Crombrugghe B. Role of the CCAAT-binding protein CBF/NF-Y in transcription [J]. Trends Biochem Sci, 1998, 23(5): 174-178. |
| [3] | Mantovani R. The molecular biology of the CCAAT-binding factor NF-Y [J]. Gene, 1999, 239(1): 15-27. |
| [4] | Kahle J, Baake M, Doenecke D, et al. Subunits of the heterotrimeric transcription factor NF-Y are imported into the nucleus by distinct pathways involving importin beta and importin 13 [J]. Mol Cell Biol, 2005, 25(13): 5339-5354. |
| [5] | Li GL, Zhao H, Wang LJ, et al. The animal nuclear factor Y: an enigmatic and important heterotrimeric transcription factor [J]. Am J Cancer Res, 2018, 8(7): 1106-1125. |
| [6] | Siefers N, Dang KK, Kumimoto RW, et al. Tissue-specific expression patterns of Arabidopsis NF-Y transcription factors suggest potential for extensive combinatorial complexity[J]. Plant Physiol, 2009, 149(2): 625-641. |
| [7] | Yang WJ, Lu ZH, Xiong YF, et al. Genome-wide identification and co-expression network analysis of the OsNF-Y gene family in rice [J]. Crop J, 2017, 5(1): 21-31. |
| [8] | Pelletier JM, Kwong RW, Park S, et al. LEC1 sequentially regulates the transcription of genes involved in diverse developmental processes during seed development [J]. Proc Natl Acad Sci USA, 2017, 114(32): E6710-E6719. |
| [9] | Niu BX, Zhang ZY, Zhang J, et al. The rice LEC1-like transcription factor OsNF-YB9 interacts with SPK, an endosperm-specific sucrose synthase protein kinase, and functions in seed development [J]. Plant J, 2021, 106(5): 1233-1246. |
| [10] | Stephenson TJ, Lynne McIntyre C, Collet C, et al. TaNF-YC11 one of the light-upregulated NF-YC members in Triticum aestivum, is co-regulated with photosynthesis-related genes [J]. Funct Integr Genomics, 2010, 10(2): 265-276. |
| [1] | ZHU Li-juan, ZHANG Kai, WEN Xiao-lei, CHU Jia-hao, SHI Feng-yu, WANG Yan-li. Mining the Core Genes Being Tolerant to Cadmium in Wild Soybean by WGCNA [J]. Biotechnology Bulletin, 2025, 41(8): 124-136. |
| [2] | NIU Jing-ping, ZHAO Jing, GUO Qian, WANG Shu-hong, ZHAO Jin-zhong, DU Wei-jun, YIN Cong-cong, YUE Ai-qin. Identification and Induced Expression Analysis of Transcription Factors NAC in Soybean Resistance to Soybean Mosaic Virus Based on WGCNA [J]. Biotechnology Bulletin, 2025, 41(7): 95-105. |
| [3] | ZHAO Qiang, CHEN Si-yu, PENG Fang-li, WANG Can, GAO Jie, ZHOU Ling-bo, ZHANG Guo-bing, JIANG Yu-wen, SHAO Ming-bo. Effects of Intercropping and Nitrogen Application on the Diversity and Functions of Soil Bacteria around Sorghum Rhizosphere [J]. Biotechnology Bulletin, 2025, 41(6): 307-316. |
| [4] | TAN Yu-rong, CHEN Dong-liang, YANG Shou-zhen, LAI Zhen-guang, TANG Xiang-min, SUN Zu-dong, ZENG Wei-ying. Functioal Analysis on GmKTI1-like Gene of Soybean Resistance to Bean Pyralid (Lamprosema indicata) [J]. Biotechnology Bulletin, 2025, 41(6): 99-108. |
| [5] | ZHAO Jing, GUO Qian, LI Rui-qi, LEI Ying-yang, YUE Ai-qin, ZHAO Jin-zhong, YIN Cong-cong, DU Wei-jun, NIU Jing-ping. Sequence Analysis and Induced Expression Analysis of GmGST Gene Cluster Genes in Soybean [J]. Biotechnology Bulletin, 2025, 41(5): 129-140. |
| [6] | TIAN Qin, LIU Kui, WU Xiang-wei, JI Yuan-yuan, CAO Yi-bo, ZHANG Ling-yun. Functional Study of Transcription Factor VcMYB17 in Regulating Drought Tolerance in Blueberry [J]. Biotechnology Bulletin, 2025, 41(4): 198-210. |
| [7] | LIN Zi-yi, WU Yi-zhou, YE Fang-xian, ZHU Shu-ying, LIU Yan-min, LIU Su-shuang. Functional Analysis of Soybean GmPM31 Gene Promoter Involvement in Response to High Temperature and Humidity Stress [J]. Biotechnology Bulletin, 2025, 41(3): 90-97. |
| [8] | SONG Ying-pei, WANG Can, ZHOU Hui-wen, KONG Ke-ke, XU Meng-ge, WANG Rui-kai. Analysis of Soybean Pod Dehiscence Habit Based on Whole Genome Association Analysis and Genetic Diversity [J]. Biotechnology Bulletin, 2025, 41(2): 97-106. |
| [9] | LIU Ke-han, YANG Sheng-hui, HUANG Qiao-yun, CUI Wen-jing. Isolation and Application of Soybean Rhizobia and Symbiosis-promoting Rhizobacteria from Heilongjiang Province [J]. Biotechnology Bulletin, 2025, 41(1): 252-262. |
| [10] | WU Shuai, XIN Yan-ni, MAI Chun-hai, MU Xiao-ya, WANG Min, YUE Ai-qin, ZHAO Jin-zhong, WU Shen-jie, DU Wei-jun, WANG Li-xiang. Genome-wide Identification and Stress Response Analysis of Soybean GS Gene Family [J]. Biotechnology Bulletin, 2024, 40(8): 63-73. |
| [11] | GAO Meng-meng, ZHAO Tian-yu, JIAO Xin-yue, LIN Chun-jing, GUAN Zhe-yun, DING Xiao-yang, SUN Yan-yan, ZHANG Chun-bao. Comparative Transcriptome Analysis of Cytoplasmic Male Sterile Line and Its Restorer Line in Soybean [J]. Biotechnology Bulletin, 2024, 40(7): 137-149. |
| [12] | WANG Fang, YU Lu, QI Ze-zheng, ZHOU Chang-jun, YU Ji-dong. Screening and Biocontrol Effect of Antagonistic Bacteria against Soybean Root Rot [J]. Biotechnology Bulletin, 2024, 40(7): 216-225. |
| [13] | BAI Zhi-yuan, XU Fei, YANG Wu, WANG Ming-gui, YANG Yu-hua, ZHANG Hai-ping, ZHANG Rui-jun. Transcriptome Analysis of Fertility Transformation in Weakly Restoring Hybrid F1 of Soybean Cytoplasmic Male Sterility [J]. Biotechnology Bulletin, 2024, 40(6): 134-142. |
| [14] | LOU Yin, GAO Hao-jun, WANG Xi, NIU Jing-ping, WANG Min, DU Wei-jun, YUE Ai-qin. Identification and Expression Pattern Analysis of GmHMGS Gene in Soybean [J]. Biotechnology Bulletin, 2024, 40(4): 110-121. |
| [15] | LI Can, JIANG Xiang-ning, GAI Ying. Cloning of the LkF3H2 Gene in Larix kaempferi and Its Function in Regulating Flavonoid Metabolism [J]. Biotechnology Bulletin, 2024, 40(2): 245-252. |
| Viewed | ||||||
|
Full text |
|
|||||
|
Abstract |
|
|||||