Biotechnology Bulletin ›› 2026, Vol. 42 ›› Issue (1): 262-270.doi: 10.13560/j.cnki.biotech.bull.1985.2025-0741
Previous Articles Next Articles
MA Ru-qing1,2(
), FENG Xue-qi1,2, YANG Qing-lan1,2, WANG Jun-cheng1,2, MENG Ya-xiong1,2, MA Xiao-le1,2, LI Bao-chun1,3, YAO Li-rong1,2, WANG Hua-jun1,2, SI Er-jing1,2(
)
Received:2025-07-10
Online:2026-01-26
Published:2026-02-04
Contact:
SI Er-jing
E-mail:2454840317@qq.com;siej@gsau.edu.cn
MA Ru-qing, FENG Xue-qi, YANG Qing-lan, WANG Jun-cheng, MENG Ya-xiong, MA Xiao-le, LI Bao-chun, YAO Li-rong, WANG Hua-jun, SI Er-jing. Functional Analysis of Pg03852 Gene in Pyrenophora graminea[J]. Biotechnology Bulletin, 2026, 42(1): 262-270.
| 引物 Primer | 序列 Sequence(5'-3') | 用途 Purpose |
|---|---|---|
| Pg03852-pSuC2-F | AATTCATGAAGGTCTCACAGTTTCTCACCTGCCTCATTGCCGCGCAAGCAATCACCGCCC | 构建酵母表达载体 |
| Pg03852-pSuC2-R | TCGAGGGCGGTGATTGCTTGCGCGGCAATGAGGCAGGTGAGAAACTGTGAGACCTTCATG | |
| Pg03852-Cal I-F | CCCATCGATATGAAGGTCTCACAGTTTCT | 干扰片段克隆 |
| Pg03852-Sma I-R | TCCCCCGGGCATGAACACACCAGCAAGAA | |
| Pg03852-Kpn I-F | GGGGTACCTCCTCTCATCGGACAACACA | |
| Pg03852-Bgl II-R | GAAGATCTGTTCTCGTCACAGCCACAGA | |
| Pg03852-Xho I-F | CCGCTCGAGTCCTCTCATCGGACAACACA | |
| Pg03852-Hind III-R | CCCAAGCTTGTTCTCGTCACAGCCACAGA | |
| HygB-F | ATGAAAAAGCCTGAACTCAC | 潮霉素鉴定 |
| HygB-R | CTATTCCTTTGCCCTCGGA | |
| Pg03852-qPCR-F | AGCAACACCATACAGAGCCG | 实时荧光定量PCR |
| Pg03852-qPCR-R | GAAGCGGTAGGGGTTGTTGT | |
| PgActin-F | TGTTGACATGGCTGGTCGTGATC | 内参基因 |
| PgActin-R | TCGGCGGTGGTGGAGAAGG |
Table 1 Primer list
| 引物 Primer | 序列 Sequence(5'-3') | 用途 Purpose |
|---|---|---|
| Pg03852-pSuC2-F | AATTCATGAAGGTCTCACAGTTTCTCACCTGCCTCATTGCCGCGCAAGCAATCACCGCCC | 构建酵母表达载体 |
| Pg03852-pSuC2-R | TCGAGGGCGGTGATTGCTTGCGCGGCAATGAGGCAGGTGAGAAACTGTGAGACCTTCATG | |
| Pg03852-Cal I-F | CCCATCGATATGAAGGTCTCACAGTTTCT | 干扰片段克隆 |
| Pg03852-Sma I-R | TCCCCCGGGCATGAACACACCAGCAAGAA | |
| Pg03852-Kpn I-F | GGGGTACCTCCTCTCATCGGACAACACA | |
| Pg03852-Bgl II-R | GAAGATCTGTTCTCGTCACAGCCACAGA | |
| Pg03852-Xho I-F | CCGCTCGAGTCCTCTCATCGGACAACACA | |
| Pg03852-Hind III-R | CCCAAGCTTGTTCTCGTCACAGCCACAGA | |
| HygB-F | ATGAAAAAGCCTGAACTCAC | 潮霉素鉴定 |
| HygB-R | CTATTCCTTTGCCCTCGGA | |
| Pg03852-qPCR-F | AGCAACACCATACAGAGCCG | 实时荧光定量PCR |
| Pg03852-qPCR-R | GAAGCGGTAGGGGTTGTTGT | |
| PgActin-F | TGTTGACATGGCTGGTCGTGATC | 内参基因 |
| PgActin-R | TCGGCGGTGGTGGAGAAGG |
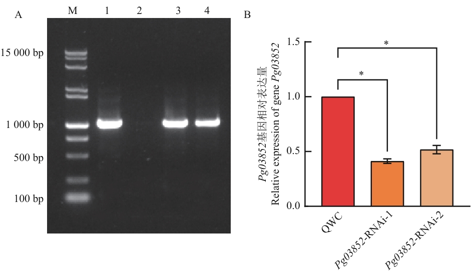
Fig. 3 Identification of thaumatin resistance in interfering strains (A) and detection of relative expression of the Pg03852 gene (B)A: DL 15000+2 000 DNA marker; lane 1 is the empty vector (pSilent-1); lane 2 is the wild strain QWC; lane 3-4 are the mutants Pg03852-RNAi-1 and Pg03852-RNAi-2. B. Relative expression of Pg03852. A t-test was used, and * indicates significant differences at the 0.05 levelA: Pg03852 effector protein alone was identified in this tobacco, BAX and INF1 were used as positive control, and GFP was used as negative control; B: Pg03852 effector protein co-expressed with BAX was identified in this tobacco, PVX: BAX+PVX:Avh240 injected tobacco leaves were used as positive control, and PVX: BAX+GFP was used as negative control
Fig. 4 Growth morphology, growth rate, and hyphal morphology observed after 7 d of inoculation on PDA mediumA: Growth morphology of wild-type QWC, interference mutant strains Pg03852-RNAi-1, and Pg03852-RNAi-2 after 7 d of inoculation on PDA medium. B: Observation of mycelium morphology. C: Strain growth rate
Fig. 5 Pathogenicity analysis and stainingA: Statistics of QWC and interference mutant incidence (P<0.05). B: Relative chlorophyll content of QWC and interference mutants (P<0.05). C: Staining results of QWC and interference mutants
| [1] | 祁天涛, 司二静, 郭铭, 等. 大麦条纹病菌基因Pgr03902致病功能研究 [J]. 植物保护, 2023, 49(6): 16-22, 54. |
| Qi TT, Si EJ, Guo M, et al. Study on pathogenic function of gene Pgr03902 of barley stripe disease [J]. Plant Prot, 2023, 49(6): 16-22, 54. | |
| [2] | 朱靖环, 华为, 吴宽然, 等. 大麦条纹病菌致病性分析及抗性种质精细鉴定 [J]. 植物保护学报, 2020, 47(3): 553-561. |
| Zhu JH, Hua W, Wu KR, et al. Analysis of the pathogenicity of Pyrenophora graminea isolates and precision identification of barley resistant germplasms [J]. J Plant Prot, 2020, 47(3): 553-561. | |
| [3] | 郭铭, 孙莉莎, 司二静, 等. 大麦条纹病病菌对大麦叶片防御酶活性的影响 [J]. 西北农业学报, 2021, 30(2): 295-303. |
| Guo M, Sun LS, Si EJ, et al. Effect of Pyrenophora graminea stress to defensive enzymes activity in barley leaves [J]. Acta Agric Boreali Occidentalis Sin, 2021, 30(2): 295-303. | |
| [4] | 吴宽然, 杨建明, 朱靖环, 等. 大麦条纹病抗性及防治研究进展 [J]. 浙江农业学报, 2013, 25(4): 903-907. |
| Wu KR, Yang JM, Zhu JH, et al. Advances of research on control of barley leaf stripe disease [J]. Acta Agric Zhejiangensis, 2013, 25(4): 903-907. | |
| [5] | 高芬, 褚建梅, 李静虹, 等. 植物病原真菌致病机理研究进展 [J]. 江苏农业学报, 2014, 30(5): 1174-1179. |
| Gao F, Chu JM, Li JH, et al. Research progress in the pathogenesis of plant pathogenic fungi [J]. Jiangsu J Agric Sci, 2014, 30(5): 1174-1179. | |
| [6] | Jia HG, Zhang YZ, Orbović V, et al. Genome editing of the disease susceptibility gene CsLOB1 in Citrus confers resistance to Citrus canker [J]. Plant Biotechnol J, 2017, 15(7): 817-823. |
| [7] | 王晓东. 条锈菌三类效应蛋白通过不同策略调控寄主免疫的机理研究 [D]. 杨凌: 西北农林科技大学, 2021. |
| Wang XD. Study on the mechanism of three kinds of effector proteins of stripe rust fungus regulating host immunity through different strategies [D]. Yangling: Northwest A & F University, 2021. | |
| [8] | 杨明王, 张红雪, 霍超, 等. 植物病原真菌及卵菌SNAREs基因功能研究进展 [J]. 江苏农业科学, 2024, 52(1): 1-10. |
| Yang MW, Zhang HX, Huo C, et al. Research progress of SNAREs gene function in plant pathogenic fungi and oomycetes [J]. Jiangsu Agric Sci, 2024, 52(1): 1-10. | |
| [9] | Deslandes L, Rivas S. Catch me if you can: bacterial effectors and plant targets [J]. Trends Plant Sci, 2012, 17(11): 644-655. |
| [10] | Choi S, Prokchorchik M, Lee H, et al. Direct acetylation of a conserved threonine of RIN4 by the bacterial effector HopZ5 or AvrBsT activates RPM1-dependent immunity in Arabidopsis [J]. Mol Plant, 2021, 14(11): 1951-1960. |
| [11] | 刘鑫雨, 何礼娟, 殷金瑶, 等. 橡胶树白粉菌保守效应蛋白致病机制研究 [J]. 热带作物学报, 2024, 45(9): 1886-1894. |
| Liu XY, He LJ, Yin JY, et al. Study on the pathogenic mechanism of a conservative effector protein in rubber tree powdery mildew [J]. Chin J Trop Crops, 2024, 45(9): 1886-1894. | |
| [12] | El Kasmi F, Horvath D, Lahaye T. Microbial effectors and the role of water and sugar in the infection battle ground [J]. Curr Opin Plant Biol, 2018, 44: 98-107. |
| [13] | Qiu XF, Kong L, Chen H, et al. The Phytophthora sojae nuclear effector PsAvh110 targets a host transcriptional complex to modulate plant immunity [J]. Plant Cell, 2023, 35(1): 574-597. |
| [14] | Si E, Meng Y, Ma X, et al. Genome resource for barley leaf stripe pathogen Pyrenophora graminea [J]. Plant Disease, 2020, 104(2): 320-322. |
| [15] | 孙媛, 李梅蓉, 卢建霖, 等. RNA干扰构建载体在防治植物病毒病中的研究 [J]. 农业与技术, 2025, 45(1): 35-39. |
| Sun Y, Li MR, Lu JL, et al. Study on RNA interference construction vector in prevention and treatment of plant virus diseases [J]. Agric Technol, 2025, 45(1): 35-39. | |
| [16] | Liang QQ, Li BC, Wang JC, et al. PGPBS, a mitogen-activated protein kinase kinase, is required for vegetative differentiation, cell wall integrity, and pathogenicity of the barley leaf stripe fungus Pyrenophora graminea [J]. Gene, 2019, 696: 95-104. |
| [17] | 郭铭. 大麦条纹病菌基因Pgr07060的功能研究 [D]. 兰州: 甘肃农业大学, 2021. |
| Guo M. Functional study of the Pgr07060 gene in Pyrenophora graminea [D]. Lanzhou: Gansu Agricultural University, 2021. | |
| [18] | 侯静静. 大麦条纹病菌致病性候选基因Pgmiox功能研究 [D]. 兰州: 甘肃农业大学, 2020. |
| Hou JJ. Functional analysis of pathogenic candidate gene Pgmiox in Pyrenophora graminea [D]. Lanzhou: Gansu Agricultural University, 2020. | |
| [19] | 徐容, 邓智英, 邵陈禹, 等. 茶树DREB基因的生信分析及其调控CsPOD3的抗旱机制 [J]. 茶叶科学, 2025, 45(1): 29-42. |
| Xu R, Deng ZY, Shao CY, et al. Bioinformatic analysis of DREB genes and regulation of CsPOD3 on drought tolerance mechanisms in Camellia sinensis [J]. J Tea Sci, 2025, 45(1): 29-42. | |
| [20] | 郜江菲, 郑婉怡, 刘建明, 等. 应用SPSS27.0软件计算药物半数效应浓度的实现方法 [J]. 世界临床药物, 2025, 46(4): 401-406. |
| Gao JF, Zheng WY, Liu JM, et al. The implementation method of the calculation of 50% effective concentration by SPSS27.0 [J]. World Clin Drug, 2025, 46(4): 401-406. | |
| [21] | Wang QQ, Han CZ, Ferreira AO, et al. Transcriptional programming and functional interactions within the Phytophthora sojae RXLR effector repertoire [J]. Plant Cell, 2011, 23(6): 2064-2086. |
| [22] | Fang AF, Han YQ, Zhang N, et al. Identification and characterization of plant cell death-inducing secreted proteins from Ustilaginoidea virens [J]. Mol Plant Microbe Interactions, 2016, 29(5): 405-416. |
| [23] | 李重阳. 稻曲病菌候选效应蛋白的功能研究 [D]. 武汉: 华中农业大学, 2018. |
| Li CY. Functional study of candidate effector proteins in Ustilaginoidea virens [D]. Wuhan: Huazhong Agricultural University, 2018. | |
| [24] | 高馨梅, 邵晨曦, 梁英梅, 等. 山田胶锈菌效应蛋白GyHGSRE1的功能初探 [J]. 南京林业大学学报: 自然科学版, 2025, 49(5): 209-216. |
| Gao XM, Shao CX, Liang YM, et al. Preliminary study on the function of Gymnosporangium yamadae effector GyHGSRE1 [J]. J Nanjing For Univ Nat Sci Ed, 2025, 49(5): 209-216. | |
| [25] | 汤敬诚, 李睿, 刘文波, 等. Neopestalotiopsis thailandica全基因组分泌蛋白及其效应因子的预测分析 [J/OL]. 分子植物育种,2024:1-11. |
| Tang JC, Li R, Liu WB, et al. Genome-wide prediction and analysis of secreted proteins and effectors in Neopestalotiopsis thailandica [J/OL]. Mol Plant Breed, 2024: 1-11. | |
| [26] | 吴佳椰露, 傅艺炜, 包崇来, 等. 茄腐镰孢菌分泌蛋白与效应子的预测分析 [J]. 植物病理学报, 2025, 55(1): 32-46. |
| Wu J, Fu YW, Bao CL, et al. Genome-wide prediction and analysis of secreted proteins and effectors in Fusarium solani [J]. Acta Phytopathol Sin, 2025, 55(1): 32-46. | |
| [27] | 夏杨, 苏初连, 叶子, 等. 基于RNAi和蛋白质组学研究胶孢炭疽菌CgCDC2基因的功能 [J]. 果树学报, 2019, 36(11): 1483-1493. |
| Xia Y, Su CL, Ye Z, et al. Research on the function of CgCDC2 gene in Colletotrichum gloeosporioides with RNAi and TMT-based proteomic analysis [J]. J Fruit Sci, 2019, 36(11): 1483-1493. | |
| [28] | Si EJ, Guo M, Liu HY, et al. The essentials of PgPG1, a polygalacturonase-encoding gene for the invasion of Pyrenophora graminea to Hordeum vulgare [J]. Int J Mol Sci, 2025, 26(6): 2401. |
| [29] | Guo M, Si EJ, Hou JJ, et al. Pgmiox mediates stress response and plays a critical role for pathogenicity in Pyrenophora graminea, the agent of barley leaf stripe [J]. Plant Sci, 2025, 350: 112308. |
| [30] | Stergiopoulos I, de Wit PJGM. Fungal effector proteins [J]. Annu Rev Phytopathol, 2009, 47: 233-263. |
| [31] | Petre B, Kamoun S. How do filamentous pathogens deliver effector proteins into plant cells? [J]. PLoS Biol, 2014, 12(2): e1001801. |
| [32] | Win J, Chaparro-Garcia A, Belhaj K, et al. Effector biology of plant-associated organisms: concepts and perspectives [J]. Cold Spring Harb Symp Quant Biol, 2012, 77: 235-247. |
| [33] | Valent B, Hyun K. Recent advances in rice blast effector research [J]. Curr Opin Plant Biol, 2010, 13(4): 434-441. |
| [34] | Godfrey D, Böhlenius H, Pedersen C, et al. Powdery mildew fungal effector candidates share N-terminal Y/F/WxC-motif [J]. BMC Genom, 2010, 11(1): 317. |
| [35] | Xu WH, Meng Y, Wise RP. Mla- and Rom1-mediated control of microRNA398 and chloroplast copper/zinc superoxide dismutase regulates cell death in response to the barley powdery mildew fungus [J]. New Phytol, 2014, 201(4): 1396-1412. |
| [36] | Liu ZH, Gao YY, Kim YM, et al. SnTox1, a Parastagonospora nodorum necrotrophic effector, is a dual-function protein that facilitates infection while protecting from wheat-produced chitinases [J]. New Phytol, 2016, 211(3): 1052-1064. |
| [37] | Ye WZ, Hossain R, Pröbsting M, et al. Knock-out of BnHva22c reduces the susceptibility of Brassica napus to infection with the fungal pathogen Verticillium longisporum [J]. Crop J, 2024, 12(2): 503-514. |
| [38] | Liu SJ, Liu H, Guo MJ, et al. Knockout of GRAIN WIDTH2 has a dual effect on enhancing leaf rust resistance and increasing grain weight in wheat [J]. Plant Biotechnol J, 2024, 22(7): 2007-2009. |
| [1] | HUANG Wen-jing, REN Si-chao, LIN Li, WANG You-ping, WU Jian. Advances in RNA Interference Technology for Plant Functional Genomics and Crop Improvement [J]. Biotechnology Bulletin, 2025, 41(9): 1-21. |
| [2] | REN Rui-bin, SI Er-jing, WAN Guang-you, WANG Jun-cheng, YAO Li-rong, ZHANG Hong, MA Xiao-le, LI Bao-chun, WANG Hua-jun, MENG Ya-xiong. Identification and Expression Analysis of GH17 Gene Family of Pyrenophora graminea [J]. Biotechnology Bulletin, 2025, 41(8): 146-154. |
| [3] | WANG Ting, WANG Yi-dan, REN Shu-jin, MA Ting, JIN Meng-jun, YANG Cheng-de. Cloning and Expression Analysis of Pectate Lyase Gene CcPL20552 from Colletotrichum coccodes [J]. Biotechnology Bulletin, 2025, 41(5): 290-299. |
| [4] | LIANG Ying-yi, ZHAO An-su, WANG Rui-xi, SHEN Tian-hong, MA Xin-rong, WANG Min, LUO Jian-mei. Mining and Analysis of Proteins Associated with Neoxanthin Biosynthesis in Chlamydomonas reinhardtii [J]. Biotechnology Bulletin, 2025, 41(11): 190-200. |
| [5] | WEN Jing, LI Qian-qian, ZHANG Ming-da, TAN Ming-yue, JIN Bo-yang, SHEN XIU-li, DU Zhi-qiang. Molecular Mechanism of Duox 2 Regulating Innate Immunity against Bacteria in Procambarus clarkii Intestine [J]. Biotechnology Bulletin, 2025, 41(1): 324-332. |
| [6] | WANG Ke-ran, YAN Jun-jie, LIU Jian-feng, GAO Yu-lin. Application and Risk of RNAi Technology in Potato Insect Pest Management [J]. Biotechnology Bulletin, 2024, 40(9): 4-10. |
| [7] | JIN Bo-yang, QIN Shi-yu, ZHANG Ming-da, LI Qian-qian, WEN Jing, SHEN Xiu-li, DU Zhi-qiang. Research on the Molecular Mechanism of Crayfish prx 6 in the Process of Defending against Staphylococcus aureus Infection [J]. Biotechnology Bulletin, 2024, 40(7): 314-322. |
| [8] | ZHANG Zhen, LI Qing, XU Jing, CHEN Kai-yuan, ZHANG Chun-zhi, ZHU Guang-tao. Construction and Application of Potato Mitochondrial Targeted Expression Vector [J]. Biotechnology Bulletin, 2024, 40(5): 66-73. |
| [9] | PAN Guo-qiang, WU Si-yuan, LIU Lu, GUO Hui-ming, CHENG Hong-mei, SU Xiao-feng. Construction and Preliminary Analysis of Verticillim dahliae Mutant Library [J]. Biotechnology Bulletin, 2023, 39(5): 112-119. |
| [10] | ZHANG Long-xi, LYU Lin, ZHANG Huan-huan, ZHOU Jin-cheng, CHE Wu-nan, DONG Hui. Research Progress in the Application of RNAi Technology in Parasitoid Wasps [J]. Biotechnology Bulletin, 2023, 39(12): 99-108. |
| [11] | LIU Li-hui, CHU Jin-hua, SUI Yu-xin, CHEN Yang, CHENG Gu-yue. Research Progress of Main Virulence Factors in Salmonella [J]. Biotechnology Bulletin, 2022, 38(9): 72-83. |
| [12] | ZHAO Jing-ya, PENG Meng-ya, ZHANG Shi-yu, SHAN Yi-xuan, XING Xiao-ping, SHI Yan, LI Hai-yang, YANG Xue, LI Hong-lian, CHEN Lin-lin. Role of C2H2 Zinc Finger Transcription Factor FpCzf7 in the Growth and Pathogenicity of Fusarium pseudograminearum [J]. Biotechnology Bulletin, 2022, 38(8): 216-224. |
| [13] | CHEN Fu-nuan, HUANG Yu, CAI Jia, WANG Zhong-liang, JIAN Ji-chang, WANG Bei. Structure of ABC Transporter and Research Progress of It in Bacterial Pathogenicity [J]. Biotechnology Bulletin, 2022, 38(6): 43-52. |
| [14] | LIU Xiao-mei, WANG Dong-xin, ZHANG Chun, WEI Shuang-shi. Inhibition of AAV-mediated RNAi to SARS-CoV-2 S Gene Expression [J]. Biotechnology Bulletin, 2022, 38(3): 188-193. |
| [15] | ZHENG Xiang, DUAN Zuo-ping, ZHANG Jie, PAN Su-jun, DAI Liang-ying, LIU Shi-ming, LI Wei. Research Progress on Effector of Phytophthora sojae [J]. Biotechnology Bulletin, 2022, 38(11): 10-20. |
| Viewed | ||||||
|
Full text |
|
|||||
|
Abstract |
|
|||||