生物技术通报 ›› 2026, Vol. 42 ›› Issue (1): 329-337.doi: 10.13560/j.cnki.biotech.bull.1985.2025-0794
收稿日期:2025-07-24
出版日期:2026-01-26
发布日期:2026-02-04
通讯作者:
赵筱,女,博士,研究方向 :微生物改造及发酵;E-mail: zhaoxiao1@hbut.edu.cn作者简介:李正,男,硕士研究生,研究方向 :生物与医药;E-mail: 2826290073@qq.com
基金资助:
LI Zheng1(
), QIU Wei-yue1, SUN Rui-xue1, ZHAO Xiao1,2,3(
)
Received:2025-07-24
Published:2026-01-26
Online:2026-02-04
摘要:
目的 为削弱碳代谢抑制效应(carbon catabolite repression, CCR),提高大肠杆菌对葡萄糖-木糖共利用能力。 方法 以产D-乳酸的大肠杆菌工程菌JH15为出发菌,利用带有4种启动子(PcysG、PrrsA、PJ23119和PpflBp6)的pBR322质粒过表达木糖调控因子的编码基因xylR,构建重组菌株CX-A15、RX-A15、JX-A15和PX-A15。通过qPCR检测和发酵实验比较各菌株在30 g/L葡萄糖+20 g/L木糖的碳源条件下木糖转运与代谢基因的转录水平与发酵性能的变化。 结果 过表达xylR后,各重组菌株的木糖代谢关键基因xylA和xylB,以及木糖转运相关基因xylF、xylG和xylH的转录水平均有提高。相较于出发菌株JH15,重组菌株CX-A15、RX-A15、JX-A15、PX-A15木糖消耗速率分别提高了22%、84%、206%、209%;D-乳酸生产速率分别提高了8%、27%、97%、98%;其中JX-A15,PX-A15菌株在48 h内可完全消耗完碳源,D-乳酸产量达到最大,发酵周期较JH15的84 h缩短了43%。 结论 通过启动子PJ23119和PpflBp6过表达基因xylR,能有效降低CCR效应,在保证D-乳酸产量的同时,显著提高D-乳酸工程菌对葡萄糖和木糖的共利用,提高生产强度,缩短发酵周期,为促进利用木质纤维素等廉价发酵原料进行工业化发酵提供技术支持。
李正, 邱炜玥, 孙瑞雪, 赵筱. 不同启动子过表达xylR基因提高大肠杆菌的葡萄糖-木糖共利用能力[J]. 生物技术通报, 2026, 42(1): 329-337.
LI Zheng, QIU Wei-yue, SUN Rui-xue, ZHAO Xiao. Overexpression of the xylR Gene Driven by Different Promoters Enhances Glucose-xylose Co-utilization Capability in Escherichia coli[J]. Biotechnology Bulletin, 2026, 42(1): 329-337.
引物名称 Primer name | 序列 Sequence (5´-3´) |
|---|---|
| P1 | AGGCCCTTTCGTCTTCAAGACGCATATGCTGGATCCTT |
| P2 | CATACACGGTGCCTGACTGCGCTACAACATGACCTCGCTATTTA |
| P3 | TCTTGAAGACGAAAGGGCCTC |
| P4 | GCAGTCAGGCACCGTGTA |
| P5 | ATGTTTACTAAACGTCACCGCA |
| P6 | CAGGATAACCAACGGTTAATCG |
| P7 | CTGATTCTGTGGATAACCGT |
| P8 | CGGTGACGTTTAGTAAACATACTAGTATTATACCTAGGACTGAGC |
| P9 | AGGCCCTTTCGTCTTCAAGACTGCAGTCCTGAAGCTTG |
| P10 | CATACACGGTGCCTGACTGCCATCGTCAGTATTGACTGCAG |
| P11 | AGTGTGAAAGCTGACAACC |
| P12 | GCACTCGAAGATACGGAT |
| P13 | TGCCGGTTAATTACTAAGGG |
| P14 | GACAGCTAGCTCAGTCCTA |
| P15 | TATAGCGCTAGCAGCACG |
| QxylA-F | GAAACCGCCTGCTTTGAGAA |
| QxylA-R | CATTGAAGCTAACCACGCGA |
| QxylB-F | GATTATTGTGTGGCGTACGC |
| QxylB-R | TACATAGCTTTTGCCATGCG |
| QxylR-F | TGGGGATTATTGTGTGGCGT |
| QxylR-R | CATAGCTTTTGCCATGCGCT |
| QxylF-F | GGTGTCGATGTTCTTGTCAT |
| QxylF-R | CTTGGCGTTGTTATCTACCG |
| QxylG-F | TATGACCTGATGACGCTACG |
| QxylG-R | TGCTCAGTTAATGAGGCTGT |
| QxylH-F | TTGCAGCTATCATCGCAATC |
| QxylH-R | CACAATGATGGTAAGTGGCA |
| PcysG-F | TGGGCCAGGTAGCGAAATAC |
| PcysG-R | TAGGCAGAGCAACCAGAAGC |
表1 所用引物及序列
Table 1 Primers used and their sequences
引物名称 Primer name | 序列 Sequence (5´-3´) |
|---|---|
| P1 | AGGCCCTTTCGTCTTCAAGACGCATATGCTGGATCCTT |
| P2 | CATACACGGTGCCTGACTGCGCTACAACATGACCTCGCTATTTA |
| P3 | TCTTGAAGACGAAAGGGCCTC |
| P4 | GCAGTCAGGCACCGTGTA |
| P5 | ATGTTTACTAAACGTCACCGCA |
| P6 | CAGGATAACCAACGGTTAATCG |
| P7 | CTGATTCTGTGGATAACCGT |
| P8 | CGGTGACGTTTAGTAAACATACTAGTATTATACCTAGGACTGAGC |
| P9 | AGGCCCTTTCGTCTTCAAGACTGCAGTCCTGAAGCTTG |
| P10 | CATACACGGTGCCTGACTGCCATCGTCAGTATTGACTGCAG |
| P11 | AGTGTGAAAGCTGACAACC |
| P12 | GCACTCGAAGATACGGAT |
| P13 | TGCCGGTTAATTACTAAGGG |
| P14 | GACAGCTAGCTCAGTCCTA |
| P15 | TATAGCGCTAGCAGCACG |
| QxylA-F | GAAACCGCCTGCTTTGAGAA |
| QxylA-R | CATTGAAGCTAACCACGCGA |
| QxylB-F | GATTATTGTGTGGCGTACGC |
| QxylB-R | TACATAGCTTTTGCCATGCG |
| QxylR-F | TGGGGATTATTGTGTGGCGT |
| QxylR-R | CATAGCTTTTGCCATGCGCT |
| QxylF-F | GGTGTCGATGTTCTTGTCAT |
| QxylF-R | CTTGGCGTTGTTATCTACCG |
| QxylG-F | TATGACCTGATGACGCTACG |
| QxylG-R | TGCTCAGTTAATGAGGCTGT |
| QxylH-F | TTGCAGCTATCATCGCAATC |
| QxylH-R | CACAATGATGGTAAGTGGCA |
| PcysG-F | TGGGCCAGGTAGCGAAATAC |
| PcysG-R | TAGGCAGAGCAACCAGAAGC |
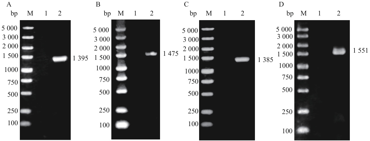
图1 表达质粒的验证电泳图A:质粒CX-322的电泳图(1: JH15; 2:CX-322);B:质粒RX-322的电泳图(1:JH15;2:RX-322);C:质粒JX-322的电泳图(1:JH15;2:JX-322);D:质粒PX-322的电泳图(1:JH15;2:PX-322)。 M:DL5000DNA marker
Fig. 1 Verification electrophoresis profile of the expressing plasmidsA: Electrophoretogram of plasmid CX-322 (1: JH15; 2: CX-322). B: Electrophoretogram of plasmid RX-322 (1: JH15; 2: RX-322). C: Electrophoretogram of plasmid JX-322 (1: JH15; 2: JX-322). D: Electrophoretogram of plasmid PX-322 (1: JH15; 2: PX-322). M: DL5000 DNA marker
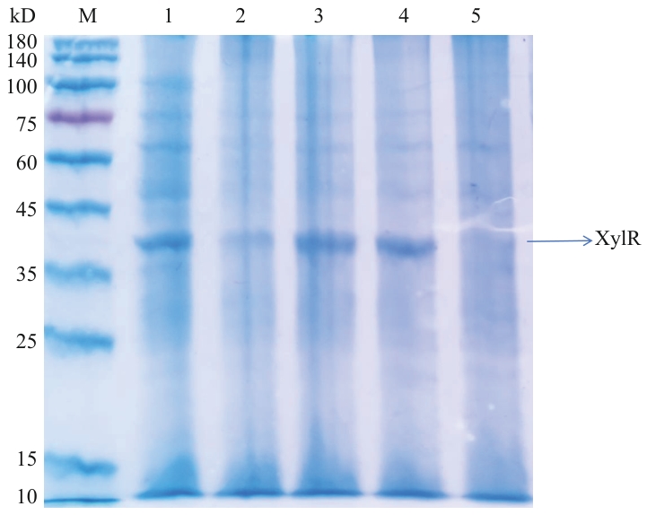
图2 重组菌株及出发菌的SDS-PAGE验证电泳图M: 180 protein marker; 1: RX-A15; 2: CX-A15; 3: JX-A15; 4: PX-A15; 5: JH15
Fig. 2 Electrophoretogram of SDS-PAGE verification of recombinant strains and the original strain
图3 木糖转运及代谢基因转录水平差异分析FC>2,视为显著性差异
Fig. 3 Differential analysis of the transcription levels of xylose transport and metabolism genesA: Fold change (FC)>2 is considered as significant difference
图4 出发菌株JH15及重组菌株CX-A15、RX-A15、JX-A15、PX-A15混糖(3%葡萄糖+2%木糖)发酵结果曲线A:不同菌株生长曲线;B:不同菌株葡萄糖消耗曲线;C:不同菌株木糖消耗曲线;D:不同菌株D-乳酸生产曲线
Fig. 4 Fermentation result curves of starting strain JH15 and recombinant strains CX-A15, RX-A15, JX-A15, and PX-A15 in mixed sugars (3% glucose+2% xylose)A: Growth curves of different strains. B: Glucose consumption curves of different strains. C: Xylose consumption curves of different strains. D: D-lactic acid production curves of different strains
发酵菌株 Fermentative strain | 葡萄糖消耗速率 Glucose consumption rate (g/(L·h)) | 木糖消耗速率Xylose consumption rate (g/(L·h)) | D-乳酸生产速率 D-lactic acid production rate (g/(L·h)) | 糖酸转化率 Sugar-acid conversion rate (%) | 最大OD600 nm Maximum OD600 nm | 发酵周期 Fermentation cycle (h) |
|---|---|---|---|---|---|---|
| JH15 | 0.369±0.01c | 0.129±0.01c | 0.368±0c | 64b | 3.77c | 84 |
| CX-A15 | 0.424±0c | 0.158±0c | 0.399±0c | 64b | 4.18bc | 84 |
| RX-A15 | 0.493±0.02b | 0.238±0.02b | 0.468±0.02b | 63b | 4.43b | 72 |
| JX-A15 | 0.630±0.01a | 0.396±0.01a | 0.726±0.01a | 66a | 5.34a | 48 |
| PX-A15 | 0.624±0.03a | 0.398±0.02a | 0.729±0.03a | 66a | 5.44a | 48 |
表2 出发菌株JH15及重组菌株CX-A15、RX-A15、JX-A15和PX-A15混合糖(3%葡萄糖+2%木糖)发酵结果
Table 2 Fermentation results of the original strain JH15 and recombinant strain CX-A15, RX-A15, JX-A15, PX-A15 in fermentation with mixed-sugars (3% glucose + 2% xylose)
发酵菌株 Fermentative strain | 葡萄糖消耗速率 Glucose consumption rate (g/(L·h)) | 木糖消耗速率Xylose consumption rate (g/(L·h)) | D-乳酸生产速率 D-lactic acid production rate (g/(L·h)) | 糖酸转化率 Sugar-acid conversion rate (%) | 最大OD600 nm Maximum OD600 nm | 发酵周期 Fermentation cycle (h) |
|---|---|---|---|---|---|---|
| JH15 | 0.369±0.01c | 0.129±0.01c | 0.368±0c | 64b | 3.77c | 84 |
| CX-A15 | 0.424±0c | 0.158±0c | 0.399±0c | 64b | 4.18bc | 84 |
| RX-A15 | 0.493±0.02b | 0.238±0.02b | 0.468±0.02b | 63b | 4.43b | 72 |
| JX-A15 | 0.630±0.01a | 0.396±0.01a | 0.726±0.01a | 66a | 5.34a | 48 |
| PX-A15 | 0.624±0.03a | 0.398±0.02a | 0.729±0.03a | 66a | 5.44a | 48 |
| [1] | 赵烁, 李莹, 王震, 等. 木质纤维素预处理方法的研究进展 [J]. 中国造纸, 2024, 43(8): 29-38. |
| Zhao S, Li Y, Wang Z, et al. Research progress of lignocellulose pretreatment methods [J]. China Pulp Pap, 2024, 43(8): 29-38. | |
| [2] | Zuroff TR, Curtis WR. Developing symbiotic consortia for lignocellulosic biofuel production [J]. Appl Microbiol Biotechnol, 2012, 93(4): 1423-1435. |
| [3] | Gao BY, Sun CR, Yang T, et al. Biphasic solvent systems enabled lignocellulosic biomass fractionation: a pathway towards comprehensive biomass utilization [J]. Ind Crops Prod, 2023, 202: 117036. |
| [4] | Kim JH, Block DE, Mills DA. Simultaneous consumption of pentose and hexose sugars: an optimal microbial phenotype for efficient fermentation of lignocellulosic biomass [J]. Appl Microbiol Biotechnol, 2010, 88(5): 1077-1085. |
| [5] | Luo YE, Zhang T, Wu H. The transport and mediation mechanisms of the common sugars in Escherichia coli [J]. Biotechnol Adv, 2014, 32(5): 905-919. |
| [6] | 刘倩钰, 吴丽雯, 牛建军, 等. 细菌磷酸转移酶系统(PTS)的组成与功能研究进展 [J]. 微生物学通报, 2020, 47(7): 2266-2277. |
| Liu QY, Wu LW, Niu JJ, et al. Research progress of the composition and function of bacterial phosphotransferase system [J]. Microbiol China, 2020, 47(7): 2266-2277. | |
| [7] | Wang YX, Cao LF, Bi MY, et al. Wobble editing of cre-box by unspecific CRISPR/Cas9 causes CCR release and phenotypic changes in Bacillus pumilus [J]. Front Chem, 2021, 9: 717609. |
| [8] | Kaplan NA, Islam KN, Kanis FC, et al. Simultaneous glucose and xylose utilization by an Escherichia coli catabolite repression mutant [J]. Appl Environ Microbiol, 2024, 90(2): e02169-23. |
| [9] | Song S, Park C. Organization and regulation of the D-xylose operons in Escherichia coli K-12: XylR acts as a transcriptional activator [J]. J Bacteriol, 1997, 179(22): 7025-7032. |
| [10] | Ni LS, Tonthat NK, Chinnam N, et al. Structures of the Escherichia coli transcription activator and regulator of diauxie, XylR: an AraC DNA-binding family member with a LacI/GalR ligand-binding domain [J]. Nucleic Acids Res, 2013, 41(3): 1998-2008. |
| [11] | Fu HX, Zhang HH, Guo XL, et al. Elimination of carbon catabolite repression in Clostridium tyrobutyricum for enhanced butyric acid production from lignocellulosic hydrolysates [J]. Bioresour Technol, 2022, 357: 127320. |
| [12] | Heo JM, Kim HJ, Lee SJ. Efficient anaerobic consumption of D-xylose by E. coli BL21(DE3) via xylR adaptive mutation [J]. BMC Microbiol, 2021, 21(1): 332. |
| [13] | Yuan DX, Liu BB, Jiang L, et al. XylR overexpression in Escherichia coli alleviated transcriptional repression by Arabinose and enhanced xylitol bioproduction from xylose mother liquor [J]. Appl Biochem Biotechnol, 2024, 196(10): 6624-6637. |
| [14] | 沐万孟, 朱莺莺, 孟佳炜, 等. 一种高产L-岩藻糖的重组大肠杆菌的构建方法及应用: CN115960812A [P]. 2023-04-14. |
| Mu WM, Zhu YY, Meng JW, et al. A method for constructing and application of recombinant Escherichia coli for high-yield production of L-fucose: CN115960812A [P]. 2023-04-14. | |
| [15] | Doi Y, Ikegami Y. Pyruvate formate-lyase is essential for fumarate-independent anaerobic glycerol utilization in the Enterococcus faecalis strain W11 [J]. J Bacteriol, 2014, 196(13): 2472-2480. |
| [16] | Lu HY, Zhao X, Wang YZ, et al. Enhancement of D-lactic acid production from a mixed glucose and xylose substrate by the Escherichia coli strain JH15 devoid of the glucose effect [J]. BMC Biotechnol, 2016, 16(1): 19. |
| [17] | 彭雷, 赵艳, 马银花. 基于巢式PCR的重叠延伸PCR优化 [J]. 安徽农业科学, 2016, 44(20): 126-127. |
| Peng L, Zhao Y, Ma YH. Optimization of splicing by overlap extension PCR using nested PCR [J]. J Anhui Agric Sci, 2016, 44(20): 126-127. | |
| [18] | Kragl U, Kruse W, Hummel W, et al. Enzyme engineering aspects of biocatalysis: Cofactor regeneration as example [J]. Biotechnol Bioeng, 1996, 52(2): 309-319. |
| [19] | Zhou K, Zhou LH, Lim Q, et al. Novel reference genes for quantifying transcriptional responses of Escherichia coli to protein overexpression by quantitative PCR [J]. BMC Mol Biol, 2011, 12(1): 18. |
| [20] | 朱捷, 葛奉娟, 王欲晓. 改进的双波长法测定二元混合体系中葡萄糖和木糖含量 [J]. 安徽农业科学, 2016, 44(3): 9-12. |
| Zhu J, Ge FJ, Wang YX. Detection of glucose and xylose in duplex mixture by improved dual-wavelength spectrophotometry [J]. J Anhui Agric Sci, 2016, 44(3): 9-12. | |
| [21] | 谢莹莹, 张悦, 刘雁鸣, 等. HPLC法同时测定乳酸中L-乳酸及6种有机酸杂质的含量 [J]. 中南药学, 2022, 20(10): 2390-2393. |
| Xie YY, Zhang Y, Liu YM, et al. Simultaneous determination of L-lactic acid and 6 organic acid impurities in lactic acid with HPLC [J]. Cent South Pharm, 2022, 20(10): 2390-2393. | |
| [22] | Sievert C, Nieves LM, Panyon LA, et al. Experimental evolution reveals an effective avenue to release catabolite repression via mutations in XylR [J]. Proc Natl Acad Sci U S A, 2017, 114(28): 7349-7354. |
| [23] | Barthe M, Tchouanti J, Gomes PH, et al. Availability of the molecular switch XylR controls phenotypic heterogeneity and lag duration during Escherichia coli adaptation from glucose to xylose [J]. mBio, 2020, 11(6) |
| [24] | Oh SJ, Lee HJ, Hwang JH, et al. Validating a xylose regulator to increase polyhydroxybutyrate production for utilizing mixed sugars from lignocellulosic biomass using Escherichia coli [J]. J Microbiol Biotechnol, 2024, 34(3): 700-709. |
| [25] | Molina-Vázquez ER, Caspeta L, Gosset G, et al. Tailoring Escherichia coli BL21 (DE3) for preferential xylose utilization via metabolic and regulatory engineering [J]. Appl Microbiol Biotechnol, 2025, 109(1): 54. |
| [26] | 丁小云, 顾健健, 王永泽, 等. 产D-乳酸重组大肠杆菌ptsG基因的敲除及其混合糖同步发酵 [J]. 生物技术通报, 2015, 31(12): 221-226. |
| Ding XY, Gu JJ, Wang YZ, et al. The knockout of gene ptsG of recombinant Escherichia coli producing D-lactic acid and the simultaneous fermentation of mixed sugars [J]. Biotechnol Bull, 2015, 31(12): 221-226. | |
| [27] | Maeda M, Shimada T, Ishihama A. Strength and regulation of seven rRNA promoters in Escherichia coli [J]. PLoS One, 2015, 10(12): e0144697. |
| [28] | Peng S, Stephan R, Hummerjohann J, et al. Evaluation of three reference genes of Escherichia coli for mRNA expression level normalization in view of salt and organic acid stress exposure in food [J]. FEMS Microbiol Lett, 2014, 355(1): 78-82. |
| [29] | Teh MY, Ooi KH, Danny Teo SX, et al. An expanded synthetic biology toolkit for gene expression control in Acetobacteraceae [J]. ACS Synth Biol, 2019, 8(4): 708-723. |
| [30] | Zhou SD, Iverson AG, Grayburn WS. Doubling the catabolic reducing power (NADH) output of Escherichia coli fermentation for production of reduced products [J]. Biotechnol Prog, 2010, 26(1): 45-51. |
| [31] | Fox KJ, Prather KL. Carbon catabolite repression relaxation in Escherichia coli: global and sugar-specific methods for glucose and secondary sugar co-utilization [J]. Curr Opin Chem Eng, 2020, 30: 9-16. |
| [1] | 张驰昊, 刘晋囡, 晁跃辉. 蒺藜苜蓿bZIP转录因子MtbZIP29的克隆及功能分析[J]. 生物技术通报, 2026, 42(1): 241-250. |
| [2] | 闫梦阳, 梁晓阳, 戴君昂, 张妍, 关团, 张辉, 刘良波, 孙志华. 阿莫西林降解菌的筛选及降解机制研究[J]. 生物技术通报, 2025, 41(9): 314-325. |
| [3] | 付博晗, 毛华, 赵薪程, 陆虹, 欧庸彬, 姚银安. 不同杨树SOS1基因启动子的克隆及盐胁迫响应分析[J]. 生物技术通报, 2025, 41(7): 205-213. |
| [4] | 张泽, 杨秀丽, 宁东贤. 花生4CL基因家族鉴定及对干旱与盐胁迫响应分析[J]. 生物技术通报, 2025, 41(7): 117-127. |
| [5] | 黄旭升, 周雅莉, 柴旭东, 闻婧, 王计平, 贾小云, 李润植. 紫苏质体型PfLPAT1B基因的克隆及其在油脂合成中的功能分析[J]. 生物技术通报, 2025, 41(7): 226-236. |
| [6] | 吴浩, 董伟峰, 贺子天, 李艳肖, 谢辉, 孙明哲, 沈阳, 孙晓丽. 水稻BXL基因家族的全基因组鉴定及表达分析[J]. 生物技术通报, 2025, 41(6): 87-98. |
| [7] | 梁丽存, 王克芬, 宋祖洹, 刘梦婷, 李佳玉, 罗会颖, 姚斌, 杨浩萌. 优化sgRNA提高塔宾曲霉基因编辑效率[J]. 生物技术通报, 2025, 41(3): 62-70. |
| [8] | 林紫依, 吴一舟, 叶芳贤, 朱淑颖, 刘燕敏, 刘骕骦. 大豆GmPM31基因启动子响应高温高湿胁迫的功能分析[J]. 生物技术通报, 2025, 41(3): 90-97. |
| [9] | 薛晓斌, 宁琳, 周鱼, 刘虹君, 高照祖, 王振平, 李栋梅. 酿酒葡萄VvOMTs基因家族鉴定及启动子功能分析[J]. 生物技术通报, 2025, 41(12): 168-176. |
| [10] | 毛李晶, 金晓萱, 施婉婷, 胡飞杨, 张苑蓉, 熊亮斌, 任璐. 代谢工程改造益生菌E. coli Nissle 1917合成靛玉红[J]. 生物技术通报, 2025, 41(12): 74-81. |
| [11] | 周思延, 丁炜权, 董平, 翁含之, 胥睿睿, 康振. 大肠杆菌Nissle 1917的合成生物学平台开发及应用进展[J]. 生物技术通报, 2025, 41(11): 47-61. |
| [12] | 魏敏华, 李晓童, 姜亚文, 周飘飘, 汪凯, 孙浩, 芦楠, 张成林. |
| [13] | 杨熠辰, 朱宏宇, 苏小运, 王苑, 罗会颖, 田健, 姚斌, 黄火清, 张杰. 以果葡糖浆为底物高效合成肌醇细胞工厂的构建[J]. 生物技术通报, 2025, 41(11): 121-133. |
| [14] | 何听雨, 逄雨, 张远洋, 孙雪, 李玉, 路福平, 李庆刚. 高产乳酰-N-三糖Ⅱ大肠杆菌菌株的构建[J]. 生物技术通报, 2025, 41(11): 143-152. |
| [15] | 饶峻, 赵晨, 李端华, 廖豪, 黄加雨, 王辂. 自诱导策略在麦角硫因生物合成中的应用[J]. 生物技术通报, 2025, 41(1): 333-346. |
| 阅读次数 | ||||||
|
全文 |
|
|||||
|
摘要 |
|
|||||